Telefon:
+49 (0)241 95 163 153
Fax:
+49 (0)241 95 163 155
E-Mail:
orders@antikoerper-online.de

GPR61 Antikörper (Cytoplasmic Domain)

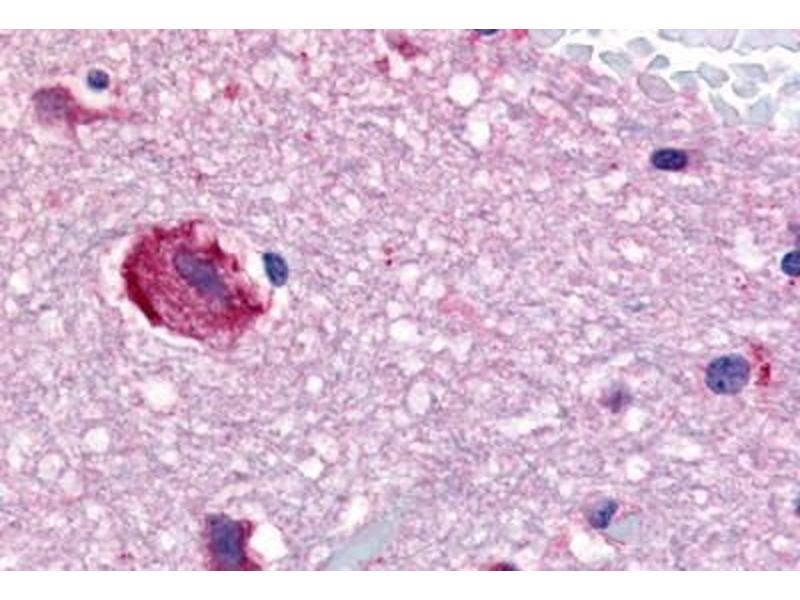
Der Kaninchen Polyklonal anti-GPR61 Antikörper wird verwendet zum Nachweis von GPR61 in Proben von Human, Maus, Affe, Schwein, Fledermaus, Rind (Kuh), Pferd und Ratte. Er wurde validiert für ELISA, IHC (p) und IHC.
Produktnummer ABIN213521
534,81 €
Zzgl. Versandkosten 20,00 € und MwSt
50 μg
Lieferung nach: Deutschland
Lieferung in 15 bis 20 Werktagen

Kurzübersicht für GPR61 Antikörper (Cytoplasmic Domain) (ABIN213521)

Target

Alle GPR61 Antikörper anzeigen
GPR61 (G Protein-Coupled Receptor 61 (GPR61))

Reaktivität

  • 21
  • 12
  • 2
  • 2
  • 1
  • 1
  • 1
  • 1
  • 1
  • 1
Human, Maus, Affe, Schwein, Fledermaus, Rind (Kuh), Pferd, Ratte

Wirt

  • 19
  • 2
Kaninchen

Klonalität

  • 21
Polyklonal

Konjugat

  • 14
  • 1
  • 1
  • 1
  • 1
  • 1
  • 1
  • 1
Dieser GPR61 Antikörper ist unkonjugiert

Applikation

  • 9
  • 7
  • 6
  • 4
ELISA, Immunohistochemistry (Paraffin-embedded Sections) (IHC (p)), Immunohistochemistry (IHC)
  • Bindungsspezifität

    • 2
    • 2
    • 2
    • 2
    • 2
    • 1
    • 1
    • 1
    Cytoplasmic Domain

    Spezifität

    Human GPR61. BLAST analysis of the peptide immunogen showed no homology with other human proteins.

    Homologie

    Percent identity with other species by BLAST analysis: Human, Gorilla, Gibbon, Monkey, Marmoset, Mouse, Rat, Bat, Bovine, Elephant, Panda, Horse, Pig, Opossum (100%) Hamster (94%) Lizard, Pufferfish, Zebrafish (89%) Xenopus (83%).

    Aufreinigung

    Immunoaffinity purified

    Immunogen

    Synthetic 18 amino acid peptide from 2nd cytoplasmic domain of human GPR61. Percent identity with other species by BLAST analysis: Human, Gorilla, Gibbon, Monkey, Marmoset, Mouse, Rat, Bat, Bovine, Elephant, Panda, Horse, Pig, Opossum (100%), Hamster (94%), Lizard, Pufferfish, Zebrafish (89%), Xenopus (83%).

    Type of Immunogen: Synthetic peptide
  • Applikationshinweise

    Approved: ELISA, IHC, IHC-P (20 μg/mL)

    Usage: Immunohistochemistry: This antibody was validated for use in immunohistochemistry on a panel of 21 formalin-fixed, paraffin-embedded (FFPE) human tissues after heat induced antigen retrieval in  pH 6.0 citrate buffer. After incubation with the primary antibody, slides were incubated with biotinylated secondary antibody, followed by alkaline phosphatase-streptavidin and chromogen. The stained slides were evaluated by a pathologist to confirm staining specificity. The optimal working concentration for this antibody was determined to be 20 μg/mL.

    Kommentare

    Target Species of Antibody: Human

    Beschränkungen

    Nur für Forschungszwecke einsetzbar
  • Format

    Liquid

    Konzentration

    Lot specific

    Buffer

    PBS, less than 0.1 % sodium azide.

    Konservierungsmittel

    Sodium azide

    Vorsichtsmaßnahmen

    This product contains Sodium azide: a POISONOUS AND HAZARDOUS SUBSTANCE which should be handled by trained staff only.

    Lagerung

    4 °C,-20 °C

    Informationen zur Lagerung

    Aliquot and store undiluted at -20°C or below for up to 1 year. Can be stored undiluted at 4°C for up to 1 month. Avoid freeze-thaw cycles.

    Haltbarkeit

    12 months
  • Target

    GPR61 (G Protein-Coupled Receptor 61 (GPR61))

    Andere Bezeichnung

    GPR61

    Hintergrund

    Name/Gene ID: GPR61
    Subfamily: Orphan-A
    Family: GPCR

    Synonyms: GPR61, BALGR, GPCR3, G protein-coupled receptor 61

    Gen-ID

    83873
Sie sind hier:
Chat with us!