Telefon:
+49 (0)241 95 163 153
Fax:
+49 (0)241 95 163 155
E-Mail:
orders@antikoerper-online.de

P2RY8 Antikörper (C-Term)

Der Kaninchen Polyklonal anti-P2RY8 Antikörper wird verwendet zum Nachweis von P2RY8 in Proben von Human. Er wurde validiert für ELISA, IHC (p) und IHC.
Produktnummer ABIN213464
534,81 €
Zzgl. Versandkosten 20,00 € und MwSt
50 μg
Lieferung nach: Deutschland
Lieferung in 15 bis 20 Werktagen

Kurzübersicht für P2RY8 Antikörper (C-Term) (ABIN213464)

Target

Alle P2RY8 Antikörper anzeigen
P2RY8 (Purinergic Receptor P2Y, G-Protein Coupled, 8 (P2RY8))

Reaktivität

  • 28
  • 1
  • 1
Human

Wirt

  • 25
  • 3
Kaninchen

Klonalität

  • 27
  • 1
Polyklonal

Konjugat

  • 10
  • 1
  • 1
  • 1
  • 1
  • 1
  • 1
  • 1
  • 1
  • 1
  • 1
  • 1
  • 1
  • 1
  • 1
  • 1
  • 1
  • 1
  • 1
Dieser P2RY8 Antikörper ist unkonjugiert

Applikation

  • 25
  • 20
  • 13
  • 13
  • 7
  • 5
  • 3
  • 2
  • 2
  • 2
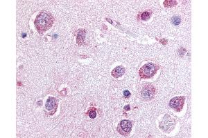
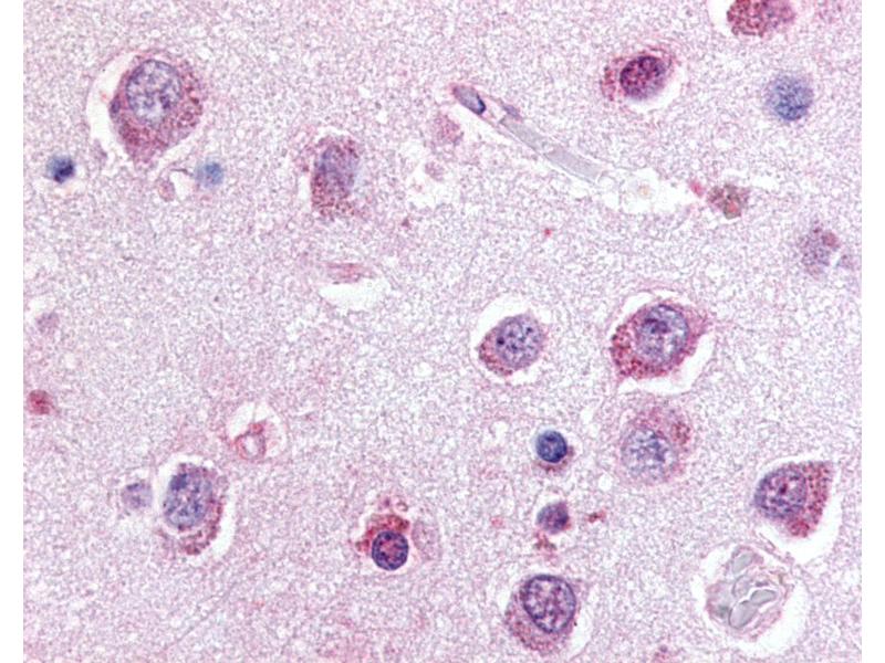
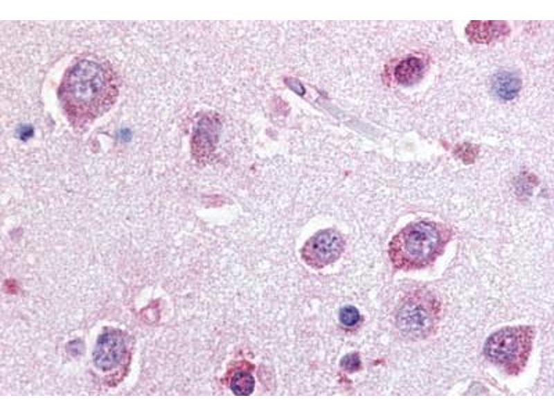
ELISA, Immunohistochemistry (Paraffin-embedded Sections) (IHC (p)), Immunohistochemistry (IHC)
  • Bindungsspezifität

    • 16
    • 2
    • 1
    • 1
    • 1
    • 1
    • 1
    • 1
    C-Term

    Spezifität

    Human P2RY8 / P2Y8. BLAST analysis of the peptide immunogen showed no homology with other human proteins.

    Homologie

    Percent identity with other species by BLAST analysis: Human (100%) Gorilla (94%).

    Aufreinigung

    Immunoaffinity purified

    Immunogen

    Synthetic 18 amino acid peptide from C-terminal cytoplasmic domain of human P2RY8 / P2Y8. Percent identity with other species by BLAST analysis: Human (100%), Gorilla (94%).

    Type of Immunogen: Synthetic peptide
  • Applikationshinweise

    Approved: ELISA, IHC, IHC-P (20 μg/mL)

    Usage: Immunohistochemistry: This antibody was validated for use in immunohistochemistry on a panel of 21 formalin-fixed, paraffin-embedded (FFPE) human tissues after heat induced antigen retrieval in  pH 6.0 citrate buffer. After incubation with the primary antibody, slides were incubated with biotinylated secondary antibody, followed by alkaline phosphatase-streptavidin and chromogen. The stained slides were evaluated by a pathologist to confirm staining specificity. The optimal working concentration for this antibody was determined to be 20 μg/mL.

    Kommentare

    Target Species of Antibody: Human

    Beschränkungen

    Nur für Forschungszwecke einsetzbar
  • Format

    Liquid

    Konzentration

    Lot specific

    Buffer

    PBS, less than 0.1 % sodium azide.

    Konservierungsmittel

    Sodium azide

    Vorsichtsmaßnahmen

    This product contains Sodium azide: a POISONOUS AND HAZARDOUS SUBSTANCE which should be handled by trained staff only.

    Lagerung

    4 °C,-20 °C

    Informationen zur Lagerung

    Aliquot and store undiluted at -20°C or below for up to 1 year. Can be stored undiluted at 4°C for up to 1 month. Avoid freeze-thaw cycles.

    Haltbarkeit

    12 months
  • Target

    P2RY8 (Purinergic Receptor P2Y, G-Protein Coupled, 8 (P2RY8))

    Andere Bezeichnung

    P2RY8 / P2Y8

    Hintergrund

    Name/Gene ID: P2RY8
    Subfamily: Orphan-A
    Family: GPCR

    Synonyms: P2RY8, p2RY8, p2Y purinoceptor 8, p2Y8

    Gen-ID

    286530
Sie sind hier:
Chat with us!