Telefon:
+49 (0)241 95 163 153
Fax:
+49 (0)241 95 163 155
E-Mail:
orders@antikoerper-online.de

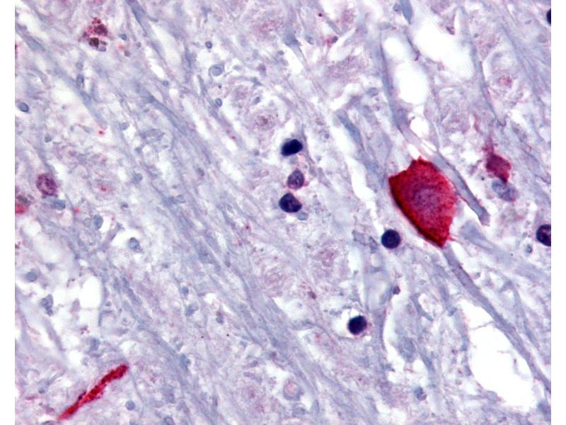
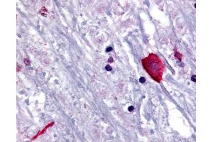
BRS3 Antikörper (N-Term)

Der Kaninchen Polyklonal anti-BRS3 Antikörper (ABIN213381) detektiert spezifisch BRS3 in ELISA, IHC und IHC (p). Dieser Antikörper reagiert spezifisch mit Proben aus Human und Affe.
Produktnummer ABIN213381
575,06 €
Zzgl. Versandkosten 20,00 € und MwSt
50 μg
Lieferung nach: Deutschland
Lieferung in 15 bis 20 Werktagen

Kurzübersicht für BRS3 Antikörper (N-Term) (ABIN213381)

Target

Alle BRS3 Antikörper anzeigen
BRS3 (Bombesin-Like Receptor 3 (BRS3))

Reaktivität

  • 40
  • 17
  • 11
  • 2
  • 2
  • 2
  • 2
  • 2
  • 1
  • 1
  • 1
  • 1
  • 1
  • 1
Human, Affe

Wirt

  • 39
  • 1
Kaninchen

Klonalität

  • 40
Polyklonal

Konjugat

  • 26
  • 2
  • 2
  • 1
  • 1
  • 1
  • 1
  • 1
  • 1
  • 1
  • 1
  • 1
  • 1
Dieser BRS3 Antikörper ist unkonjugiert

Applikation

  • 20
  • 19
  • 9
  • 6
  • 5
  • 1
  • 1
  • 1
  • 1
  • 1
  • 1
  • 1
ELISA, Immunohistochemistry (IHC), Immunohistochemistry (Paraffin-embedded Sections) (IHC (p))
  • Bindungsspezifität

    • 6
    • 6
    • 3
    • 2
    • 2
    • 2
    • 2
    • 2
    • 1
    • 1
    • 1
    • 1
    • 1
    • 1
    • 1
    • 1
    • 1
    • 1
    • 1
    • 1
    • 1
    N-Term

    Spezifität

    Human BRS3. BLAST analysis of the peptide immunogen showed no homology with other human proteins.

    Homologie

    Percent identity with other species by BLAST analysis: Human, Gorilla, Gibbon, Monkey (100%) Rat, Rabbit (95%) Marmoset, Mouse, Sheep, Bovine, Bat, Horse, Guinea pig (89%) Dog, Panda (84%).

    Aufreinigung

    Immunoaffinity purified

    Immunogen

    Synthetic 19 amino acid peptide from N-terminal extracellular domain of human BRS3. Percent identity with other species by BLAST analysis: Human, Gorilla, Gibbon, Monkey (100%), Rat, Rabbit (95%), Marmoset, Mouse, Sheep, Bovine, Bat, Horse, Guinea pig (89%), Dog, Panda (84%).

    Type of Immunogen: Synthetic peptide
  • Applikationshinweise

    Approved: ELISA, IHC, IHC-P (10 μg/mL)

    Usage: Immunohistochemistry: This antibody was validated for use in immunohistochemistry on a panel of 21 formalin-fixed, paraffin-embedded (FFPE) human tissues after heat induced antigen retrieval in  pH 6.0 citrate buffer. After incubation with the primary antibody, slides were incubated with biotinylated secondary antibody, followed by alkaline phosphatase-streptavidin and chromogen. The stained slides were evaluated by a pathologist to confirm staining specificity. The optimal working concentration for this antibody was determined to be 10 μg/mL.

    Kommentare

    Target Species of Antibody: Human

    Beschränkungen

    Nur für Forschungszwecke einsetzbar
  • Format

    Liquid

    Konzentration

    Lot specific

    Buffer

    PBS, less than 0.1 % sodium azide.

    Konservierungsmittel

    Sodium azide

    Vorsichtsmaßnahmen

    This product contains Sodium azide: a POISONOUS AND HAZARDOUS SUBSTANCE which should be handled by trained staff only.

    Lagerung

    4 °C,-20 °C

    Informationen zur Lagerung

    Aliquot and store undiluted at -20°C or below for up to 1 year. Can be stored undiluted at 4°C for up to 1 month. Avoid freeze-thaw cycles.

    Haltbarkeit

    12 months
  • Target

    BRS3 (Bombesin-Like Receptor 3 (BRS3))

    Andere Bezeichnung

    BRS3 / BRS-3

    Hintergrund

    Name/Gene ID: BRS3
    Subfamily: Orphan-A
    Family: GPCR

    Synonyms: BRS3, BB3 receptor, Bombesin-like receptor 3, Bombesin receptor subtype 3, Bombesin receptor subtype-3, BRS-3, BLP receptor subtype 3, Bombesin receptor 3

    Gen-ID

    680

    Pathways

    Feeding Behaviour
Sie sind hier:
Chat with us!