Telefon:
+49 (0)241 95 163 153
Fax:
+49 (0)241 95 163 155
E-Mail:
orders@antikoerper-online.de

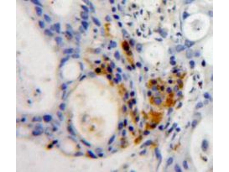
MNDA Antikörper (AA 189-405)

Der Kaninchen Polyklonal anti-MNDA Antikörper wird verwendet zum Nachweis von MNDA in Proben von Human. Er wurde validiert für WB, IHC, IP und ICC.
Produktnummer ABIN2117495
278,40 €
Zzgl. Versandkosten 20,00 € und MwSt
Lieferung nach: Deutschland
Lieferung in 13 bis 17 Werktagen

Kurzübersicht für MNDA Antikörper (AA 189-405) (ABIN2117495)

Target

Alle MNDA Antikörper anzeigen
MNDA (Myeloid Cell Nuclear Differentiation Antigen (MNDA))

Reaktivität

  • 36
  • 3
  • 1
Human

Wirt

  • 33
  • 4
Kaninchen

Klonalität

  • 35
  • 2
Polyklonal

Konjugat

  • 22
  • 3
  • 2
  • 2
  • 1
  • 1
  • 1
  • 1
  • 1
  • 1
  • 1
  • 1
Dieser MNDA Antikörper ist unkonjugiert

Applikation

  • 24
  • 20
  • 18
  • 10
  • 7
  • 4
  • 2
  • 1
  • 1
  • 1
Western Blotting (WB), Immunohistochemistry (IHC), Immunoprecipitation (IP), Immunocytochemistry (ICC)
  • Bindungsspezifität

    • 8
    • 6
    • 3
    • 2
    • 2
    • 2
    • 1
    • 1
    • 1
    • 1
    • 1
    • 1
    • 1
    • 1
    AA 189-405

    Verwendungszweck

    Polyclonal Antibody to Myeloid Cell Nuclear Differentiation Antigen (MNDA)

    Spezifität

    The antibody is a rabbit polyclonal antibody raised against MNDA. It has been selected for its ability to recognize MNDA in immunohistochemical staining and western blotting.

    Produktmerkmale

    The antibody is a rabbit polyclonal antibody raised against MNDA. It has been selected for its ability to recognize MNDA in immunohistochemical staining and western blotting.

    Aufreinigung

    Antigen-specific affinity chromatography followed by Protein A affinity chromatography

    Immunogen

    RPB775Hu01Recombinant Myeloid Cell Nuclear Differentiation Antigen (MNDA)

    Isotyp

    IgG
  • Applikationshinweise

    Western blotting: 0.2-2 μg/mL,1:250-2500 Immunohistochemistry: 5-20 μg/mL,1:25-100 Immunocytochemistry: 5-20 μg/mL,1:25-100 Optimal working dilutions must be determined by end user.

    Kommentare

    The thermal stability is described by the loss rate. The loss rate was determined by accelerated thermal degradation test, that is, incubate the protein at 37°C for 48h, and no obvious degradation and precipitation were observed. The loss rate is less than 5% within the expiration date under appropriate storage condition.

    Beschränkungen

    Nur für Forschungszwecke einsetzbar
  • Format

    Liquid

    Konzentration

    0.5 mg/mL

    Buffer

    PBS, pH 7.4, containing 0.02 % Sodium azide, 50 % glycerol.

    Konservierungsmittel

    Sodium azide

    Vorsichtsmaßnahmen

    This product contains Sodium azide: a POISONOUS AND HAZARDOUS SUBSTANCE which should be handled by trained staff only.

    Handhabung

    Avoid repeated freeze-thaw cycles.

    Lagerung

    4 °C,-20 °C

    Informationen zur Lagerung

    Store at 4°C for frequent use. Stored at -20°C in a manual defrost freezer for two year without detectable loss of activity. Avoid repeated freeze-thaw cycles.

    Haltbarkeit

    12 months
  • Target

    MNDA (Myeloid Cell Nuclear Differentiation Antigen (MNDA))

    Andere Bezeichnung

    MNDA

    Hintergrund

    PYHIN3
Sie sind hier:
Chat with us!