Telefon:
+49 (0)241 95 163 153
Fax:
+49 (0)241 95 163 155
E-Mail:
orders@antikoerper-online.de

LOR Antikörper (AA 58-107)

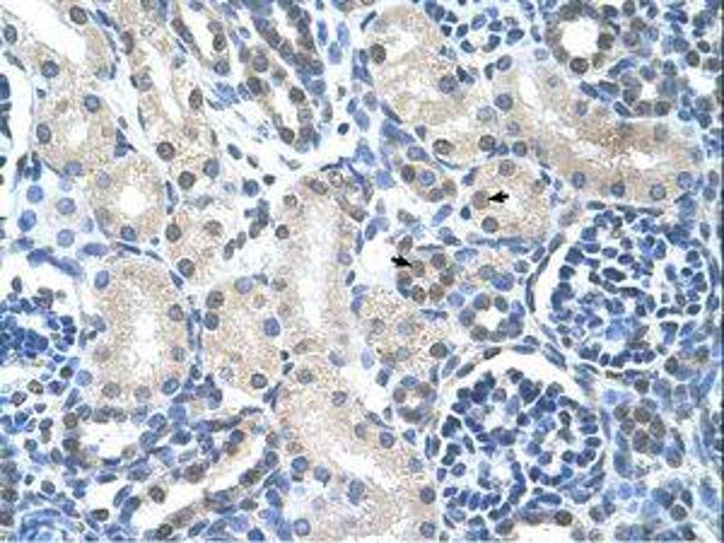
Der Kaninchen Polyklonal anti-LOR Antikörper (ABIN203388) detektiert spezifisch LOR in WB, IHC und IHC (p).
Produktnummer ABIN203388
741,67 €
Zzgl. Versandkosten 20,00 € und MwSt
100 μL
Lieferung nach: Deutschland
Lieferung in 15 bis 20 Werktagen

Kurzübersicht für LOR Antikörper (AA 58-107) (ABIN203388)

Target

Alle LOR Antikörper anzeigen
LOR (Loricrin (LOR))

Reaktivität

Bitte anfragen

Wirt

  • 33
  • 3
Kaninchen

Klonalität

  • 24
  • 12
Polyklonal

Konjugat

  • 13
  • 2
  • 1
  • 1
  • 1
  • 1
  • 1
  • 1
  • 1
  • 1
  • 1
  • 1
  • 1
  • 1
  • 1
  • 1
  • 1
  • 1
  • 1
  • 1
  • 1
  • 1
  • 1
Dieser LOR Antikörper ist unkonjugiert

Applikation

  • 36
  • 16
  • 13
  • 13
  • 6
  • 5
  • 4
  • 4
  • 3
  • 2
  • 1
Western Blotting (WB), Immunohistochemistry (IHC), Immunohistochemistry (Paraffin-embedded Sections) (IHC (p))
  • Bindungsspezifität

    • 15
    • 2
    • 2
    • 1
    • 1
    • 1
    AA 58-107

    Spezifität

    Human LOR / Loricrin

    Homologie

    Percent identity by BLAST analysis: Human (100%) Bovine (92%) Mouse (85%) Rat (81%).

    Aufreinigung

    Protein A purified

    Immunogen

    Synthetic peptide located between aa58-107 of human LOR (P23490, NP_000418). Percent identity by BLAST analysis: Human, Gorilla (100%), Bovine (92%), Mouse (85%), Rat (81%).

    Type of Immunogen: Synthetic peptide

    Isotyp

    IgG
  • Applikationshinweise

    Approved: IHC, IHC-P, WB (5 μg/mL)

    Kommentare

    Target Species of Antibody: Human

    Beschränkungen

    Nur für Forschungszwecke einsetzbar
  • Format

    Lyophilized

    Rekonstitution

    After adding water, will consist of PBS buffer with 2 % sucrose

    Konzentration

    Lot specific

    Buffer

    Lyophilized from PBS with 2 % sucrose

    Handhabung

    Avoid repeat freeze-thaw cycles.

    Lagerung

    4 °C,-20 °C

    Informationen zur Lagerung

    Long term: -20°C, the use of 50% glycerol is recommended if storing aliquots in -20°C for long term use (up to 1 year)
    Short term (less than 1 week): 4°C. Avoid freeze-thaw cycles.
  • Target

    LOR (Loricrin (LOR))

    Andere Bezeichnung

    Loricrin

    Substanzklasse

    Chemical

    Hintergrund

    Name/Gene ID: LOR

    Synonyms: LOR, Loricrin, LRN

    Gen-ID

    4014

    NCBI Accession

    NP_000418
Sie sind hier:
Chat with us!