Telefon:
+49 (0)241 95 163 153
Fax:
+49 (0)241 95 163 155
E-Mail:
orders@antikoerper-online.de

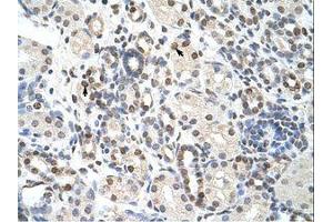
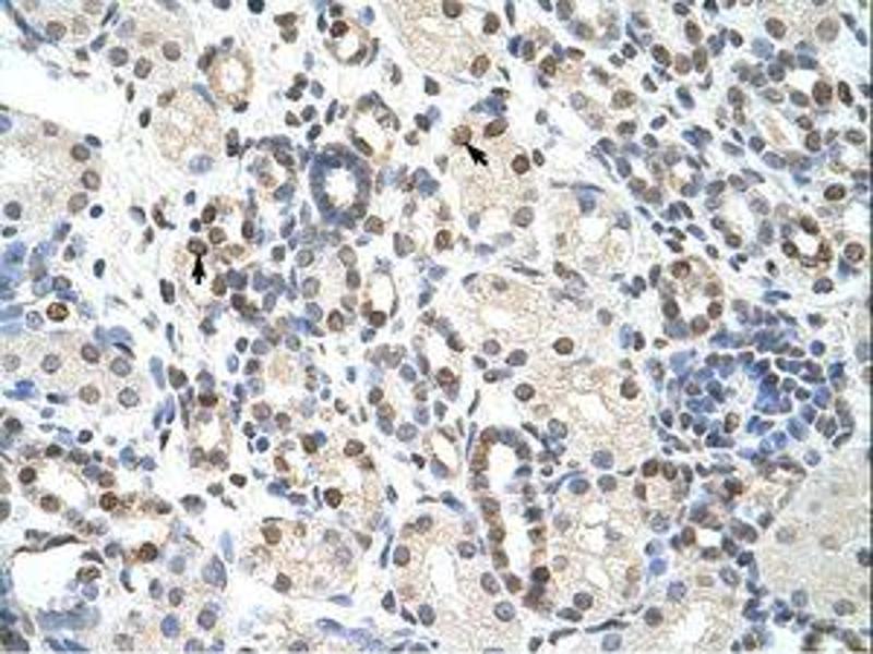
NXF3 Antikörper (AA 435-484)

Der Kaninchen Polyklonal anti-NXF3 Antikörper wird verwendet zum Nachweis von NXF3 in Proben von Human und Affe. Er wurde validiert für WB und IHC.
Produktnummer ABIN203198
741,67 €
Zzgl. Versandkosten 20,00 € und MwSt
100 μL
Lieferung nach: Deutschland
Lieferung in 15 bis 20 Werktagen

Kurzübersicht für NXF3 Antikörper (AA 435-484) (ABIN203198)

Target

Alle NXF3 Antikörper anzeigen
NXF3 (Nuclear RNA Export Factor 3 (NXF3))

Reaktivität

  • 24
  • 1
  • 1
  • 1
  • 1
  • 1
  • 1
  • 1
Human, Affe

Wirt

  • 21
  • 3
Kaninchen

Klonalität

  • 21
  • 3
Polyklonal

Konjugat

  • 14
  • 2
  • 1
  • 1
  • 1
  • 1
  • 1
  • 1
  • 1
  • 1
Dieser NXF3 Antikörper ist unkonjugiert

Applikation

  • 13
  • 11
  • 4
  • 4
  • 3
  • 2
Western Blotting (WB), Immunohistochemistry (IHC)
  • Bindungsspezifität

    • 6
    • 2
    • 2
    • 1
    • 1
    • 1
    • 1
    • 1
    • 1
    • 1
    AA 435-484

    Spezifität

    Human NXF3

    Homologie

    Percent identity by BLAST analysis: Human (100%) Rabbit (92%) Bovine (91%).

    Aufreinigung

    Protein A purified

    Immunogen

    Synthetic peptide located between aa435-484 of human NXF3 (Q9H4D5, NP_071335). Percent identity by BLAST analysis: Human, Chimpanzee, Gorilla, Gibbon, Monkey, Marmoset (100%), Rabbit, Pig (92%), Dog, Bovine (91%), Xenopus (90%), Bat (81%).

    Type of Immunogen: Synthetic peptide

    Isotyp

    IgG
  • Applikationshinweise

    Approved: IHC, WB (1.25 μg/mL)

    Kommentare

    Target Species of Antibody: Human

    Beschränkungen

    Nur für Forschungszwecke einsetzbar
  • Format

    Lyophilized

    Rekonstitution

    After adding water, will consist of PBS buffer with 2 % sucrose

    Konzentration

    Lot specific

    Buffer

    Lyophilized from PBS with 2 % sucrose

    Handhabung

    Avoid repeat freeze-thaw cycles.

    Lagerung

    4 °C,-20 °C

    Informationen zur Lagerung

    Long term: -20°C, the use of 50% glycerol is recommended if storing aliquots in -20°C for long term use (up to 1 year)
    Short term (less than 1 week): 4°C. Avoid freeze-thaw cycles.
  • Target

    NXF3 (Nuclear RNA Export Factor 3 (NXF3))

    Andere Bezeichnung

    NXF3

    Hintergrund

    Name/Gene ID: NXF3

    Synonyms: NXF3, Nuclear RNA export factor 3, TAPL-3, TAP-like protein 3, TAPL3

    Gen-ID

    56000

    NCBI Accession

    NP_071335

    UniProt

    Q9H4D5
Sie sind hier:
Chat with us!