Telefon:
+49 (0)241 95 163 153
Fax:
+49 (0)241 95 163 155
E-Mail:
orders@antikoerper-online.de

RNF14 Antikörper (C-Term)

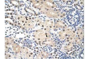
Der Kaninchen Polyklonal anti-RNF14 Antikörper wird verwendet zum Nachweis von RNF14 in Proben von Human, Ratte, Rind (Kuh), Hund, Kaninchen und Affe. Er wurde validiert für WB, IHC und IHC (p).
Produktnummer ABIN203171
741,67 €
Zzgl. Versandkosten 20,00 € und MwSt
100 μL
Lieferung nach: Deutschland
Lieferung in 15 bis 20 Werktagen

Kurzübersicht für RNF14 Antikörper (C-Term) (ABIN203171)

Target

Alle RNF14 Antikörper anzeigen
RNF14 (Ring Finger Protein 14 (RNF14))

Reaktivität

  • 51
  • 28
  • 25
  • 4
  • 4
  • 3
  • 3
  • 3
  • 2
  • 1
  • 1
  • 1
Human, Ratte, Rind (Kuh), Hund, Kaninchen, Affe

Wirt

  • 49
  • 2
Kaninchen

Klonalität

  • 46
  • 5
Polyklonal

Konjugat

  • 26
  • 2
  • 2
  • 2
  • 1
  • 1
  • 1
  • 1
  • 1
  • 1
  • 1
  • 1
  • 1
  • 1
  • 1
  • 1
  • 1
  • 1
  • 1
  • 1
  • 1
  • 1
  • 1
Dieser RNF14 Antikörper ist unkonjugiert

Applikation

  • 45
  • 13
  • 13
  • 6
  • 3
  • 2
  • 2
  • 1
  • 1
Western Blotting (WB), Immunohistochemistry (IHC), Immunohistochemistry (Paraffin-embedded Sections) (IHC (p))
  • Bindungsspezifität

    • 8
    • 5
    • 4
    • 3
    • 1
    • 1
    • 1
    • 1
    • 1
    C-Term

    Spezifität

    Human RNF14

    Homologie

    Percent identity by BLAST analysis: Human (100%).

    Aufreinigung

    Protein A purified

    Immunogen

    Synthetic peptide from C-Terminus of human RNF14 (Q9UBS8, NP_899648). Percent identity by BLAST analysis: Human, Chimpanzee, Orangutan, Monkey (100%), Gorilla (92%), Gibbon, Opossum, Platypus (85%), Rat (78%).

    Type of Immunogen: Synthetic peptide

    Isotyp

    IgG
  • Applikationshinweise

    Approved: IHC, IHC-P, WB (2.5 μg/mL)

    Kommentare

    Target Species of Antibody: Human

    Beschränkungen

    Nur für Forschungszwecke einsetzbar
  • Format

    Lyophilized

    Rekonstitution

    After adding water, will consist of PBS buffer with 2 % sucrose

    Konzentration

    Lot specific

    Buffer

    Lyophilized from PBS with 2 % sucrose

    Handhabung

    Avoid repeat freeze-thaw cycles.

    Lagerung

    4 °C,-20 °C

    Informationen zur Lagerung

    Long term: -20°C, the use of 50% glycerol is recommended if storing aliquots in -20°C for long term use (up to 1 year)
    Short term (less than 1 week): 4°C. Avoid freeze-thaw cycles.
  • Target

    RNF14 (Ring Finger Protein 14 (RNF14))

    Andere Bezeichnung

    RNF14 / ARA54

    Hintergrund

    Name/Gene ID: RNF14

    Synonyms: RNF14, HRIHFB2038, HFB30, Triad2 protein, ARA54, Ring finger protein 14, TRIAD2

    Gen-ID

    9604

    NCBI Accession

    NP_899648

    UniProt

    Q9UBS8

    Pathways

    Intracellular Steroid Hormone Receptor Signaling Pathway, Regulation of Intracellular Steroid Hormone Receptor Signaling
Sie sind hier:
Chat with us!