Telefon:
+49 (0)241 95 163 153
Fax:
+49 (0)241 95 163 155
E-Mail:
orders@antikoerper-online.de

TRIM3 Antikörper (AA 225-274)

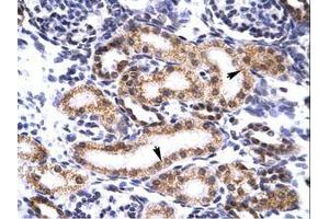
Der Kaninchen Polyklonal anti-TRIM3 Antikörper (ABIN202896) detektiert spezifisch TRIM3 in WB, IHC und IHC (p). Dieser Antikörper reagiert spezifisch mit Proben aus Human und Kaninchen.
Produktnummer ABIN202896
797,50 €
Zzgl. Versandkosten 20,00 € und MwSt
100 μL
Lieferung nach: Deutschland
Lieferung in 15 bis 20 Werktagen

Kurzübersicht für TRIM3 Antikörper (AA 225-274) (ABIN202896)

Target

Alle TRIM3 Antikörper anzeigen
TRIM3 (Tripartite Motif Containing 3 (TRIM3))

Reaktivität

  • 48
  • 36
  • 35
  • 6
  • 6
  • 6
  • 5
  • 4
  • 2
  • 1
  • 1
  • 1
  • 1
Human, Kaninchen

Wirt

  • 47
  • 1
Kaninchen

Klonalität

  • 48
Polyklonal

Konjugat

  • 24
  • 3
  • 2
  • 2
  • 1
  • 1
  • 1
  • 1
  • 1
  • 1
  • 1
  • 1
  • 1
  • 1
  • 1
  • 1
  • 1
  • 1
  • 1
  • 1
  • 1
Dieser TRIM3 Antikörper ist unkonjugiert

Applikation

  • 30
  • 13
  • 13
  • 13
  • 8
  • 7
  • 5
  • 3
  • 1
  • 1
Western Blotting (WB), Immunohistochemistry (IHC), Immunohistochemistry (Paraffin-embedded Sections) (IHC (p))
  • Bindungsspezifität

    • 5
    • 5
    • 4
    • 2
    • 2
    • 1
    • 1
    • 1
    • 1
    • 1
    • 1
    • 1
    AA 225-274

    Spezifität

    Human TRIM3

    Homologie

    Percent identity by BLAST analysis: Human (100%) Mouse, Rat, Dog, Bovine, Horse (92%).

    Aufreinigung

    Protein A purified

    Immunogen

    Synthetic peptide located between aa225-274 of human TRIM3 (Q6ZTE7, NP_006449). Percent identity by BLAST analysis: Human, Chimpanzee, Elephant, Rabbit (100%), Gorilla, Gibbon, Monkey, Galago, Marmoset, Mouse, Rat, Hamster, Panda, Dog, Bovine, Horse, Guinea pig, Platypus (92%), Bat, Pig, Zebrafish (91%), Opossum (85%), Turkey, Zebra finch, Chicken, Lizard, Xenopus (83%).

    Type of Immunogen: Synthetic peptide

    Isotyp

    IgG
  • Applikationshinweise

    Approved: IHC, IHC-P, WB (1 μg/mL)

    Kommentare

    Target Species of Antibody: Human

    Beschränkungen

    Nur für Forschungszwecke einsetzbar
  • Format

    Lyophilized

    Rekonstitution

    After adding water, will consist of PBS buffer with 2 % sucrose

    Konzentration

    Lot specific

    Buffer

    Lyophilized from PBS with 2 % sucrose

    Handhabung

    Avoid repeat freeze-thaw cycles.

    Lagerung

    4 °C,-20 °C

    Informationen zur Lagerung

    Long term: -20°C, the use of 50% glycerol is recommended if storing aliquots in -20°C for long term use (up to 1 year)
    Short term (less than 1 week): 4°C. Avoid freeze-thaw cycles.
  • Target

    TRIM3 (Tripartite Motif Containing 3 (TRIM3))

    Andere Bezeichnung

    TRIM3

    Hintergrund

    Name/Gene ID: TRIM3
    Family: Tripartite Motif

    Synonyms: TRIM3, BERP, Brain expressed ring finger, Tripartite motif containing 3, Tripartite motif protein TRIM3, RING finger protein 97, RNF22, RNF97, HAC1, RING finger protein 22, Tripartite motif-containing 3

    Gen-ID

    10612

    NCBI Accession

    NP_006449

    UniProt

    O75382
Sie sind hier:
Chat with us!