ETS1 Antikörper (AA 52-101)
Kurzübersicht für ETS1 Antikörper (AA 52-101) (ABIN202532)
Target
Alle ETS1 Antikörper anzeigenReaktivität
Wirt
Klonalität
Konjugat
Applikation
-
-
Bindungsspezifität
- AA 52-101
-
Spezifität
- Human ETS1
-
Homologie
- Percent identity by BLAST analysis: Human, Mouse, Rat, Dog, Bovine, Goat, Rabbit, Horse, Pig, Guinea pig (100%) Chicken (92%) Zebrafish (84%).
-
Aufreinigung
- Protein A purified
-
Immunogen
-
Synthetic peptide located between aa52-101 of human ETS1 (P14921, NP_005229). Percent identity by BLAST analysis: Human, Chimpanzee, Gorilla, Gibbon, Monkey, Galago, Marmoset, Mouse, Rat, Goat, Elephant, Dog, Bovine, Rabbit, Horse, Pig, Opossum, Guinea pig, Platypus, Stickleback (100%), Bat (93%), Turkey, Zebra finch, Chicken (92%), Zebrafish (84%).
Type of Immunogen: Synthetic peptide -
Isotyp
- IgG
-
-
-
-
Applikationshinweise
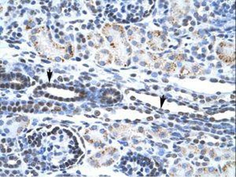
- Approved: IHC, IHC-P, WB (1 μg/mL)
-
Kommentare
-
Target Species of Antibody: Human
-
Beschränkungen
- Nur für Forschungszwecke einsetzbar
-
-
-
Format
- Lyophilized
-
Rekonstitution
- After adding water, will consist of PBS buffer with 2 % sucrose
-
Konzentration
- Lot specific
-
Buffer
- Lyophilized.
-
Handhabung
- Avoid repeat freeze-thaw cycles.
-
Lagerung
- 4 °C,-20 °C
-
Informationen zur Lagerung
-
Long term: -20°C, the use of 50% glycerol is recommended if storing aliquots in -20°C for long term use (up to 1 year)
Short term (less than 1 week): 4°C. Avoid freeze-thaw cycles.
-
-
- ETS1 (V-Ets erythroblastosis Virus E26 Oncogene Homolog 1 (Avian) (ETS1))
-
Andere Bezeichnung
- ETS1 / ETS-1
-
Hintergrund
-
Name/Gene ID: ETS1
Subfamily: ETS
Family: Transcription factor
Synonyms: ETS1, Ets protein, ETS-1, EWSR2, p54, Protein C-ets-1 -
Gen-ID
- 2113
-
NCBI Accession
- NP_005229
-
UniProt
- P14921
Target
-