RIMS3 Antikörper (C-Term)
Kurzübersicht für RIMS3 Antikörper (C-Term) (ABIN202211)
Target
Alle RIMS3 Antikörper anzeigenReaktivität
Wirt
Klonalität
Konjugat
Applikation
-
-
Bindungsspezifität
- C-Term
-
Spezifität
- Human RIMS3
-
Homologie
- Percent identity by BLAST analysis: Human, Mouse, Rat, Dog, Bovine, Rabbit, Pig, Zebrafish (100%) Chicken (92%).
-
Aufreinigung
- Protein A purified
-
Immunogen
-
Synthetic peptide from C-Terminus of human RIMS3 (Q9UJD0, NP_055562). Percent identity by BLAST analysis: Human, Chimpanzee, Gorilla, Gibbon, Monkey, Galago, Marmoset, Mouse, Rat, Elephant, Panda, Dog, Bovine, Bat, Rabbit, Horse, Pig, Guinea pig, Stickleback, Zebrafish (100%), Opossum, Chicken, Platypus, Xenopus (92%), Zebra finch, Lizard (84%).
Type of Immunogen: Synthetic peptide -
Isotyp
- IgG
-
-
-
-
Applikationshinweise
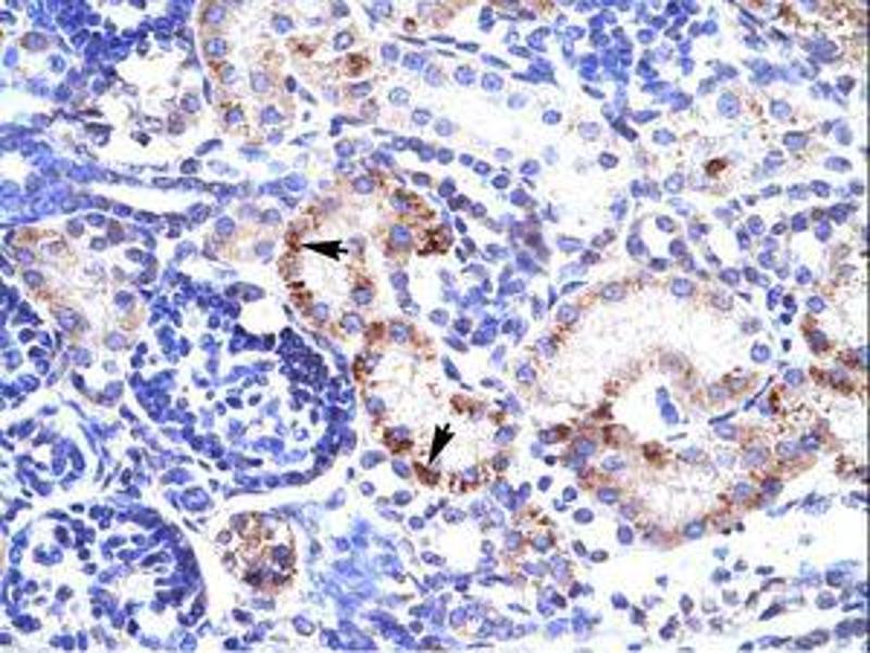
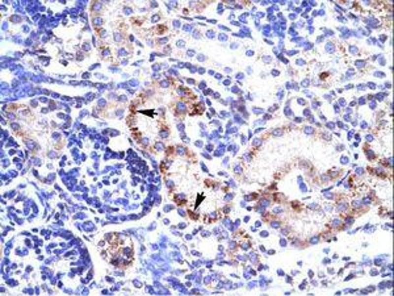
- Approved: IHC, IHC-P, WB (1.25 μg/mL)
-
Kommentare
-
Target Species of Antibody: Human
-
Beschränkungen
- Nur für Forschungszwecke einsetzbar
-
-
-
Format
- Lyophilized
-
Rekonstitution
- After adding water, will consist of PBS buffer with 2 % sucrose
-
Konzentration
- Lot specific
-
Buffer
- Lyophilized from PBS with 2 % sucrose
-
Handhabung
- Avoid repeat freeze-thaw cycles.
-
Lagerung
- 4 °C,-20 °C
-
Informationen zur Lagerung
-
Long term: -20°C, the use of 50% glycerol is recommended if storing aliquots in -20°C for long term use (up to 1 year)
Short term (less than 1 week): 4°C. Avoid freeze-thaw cycles.
-
-
- RIMS3 (Regulating Synaptic Membrane Exocytosis 3 (RIMS3))
-
Andere Bezeichnung
- RIMS3
-
Hintergrund
-
Name/Gene ID: RIMS3
Synonyms: RIMS3, KIAA0137, Rab-3-interacting molecule 3, NIM3, Rab-3 interacting molecule 3, RIM3, RIM3 gamma, KIAA0237, RIM 3 -
Gen-ID
- 9783
-
NCBI Accession
- NP_055562
-
UniProt
- Q9UJD0
-
Pathways
- Stem Cell Maintenance, Synaptic Vesicle Exocytosis
Target
-