Telefon:
+49 (0)241 95 163 153
Fax:
+49 (0)241 95 163 155
E-Mail:
orders@antikoerper-online.de

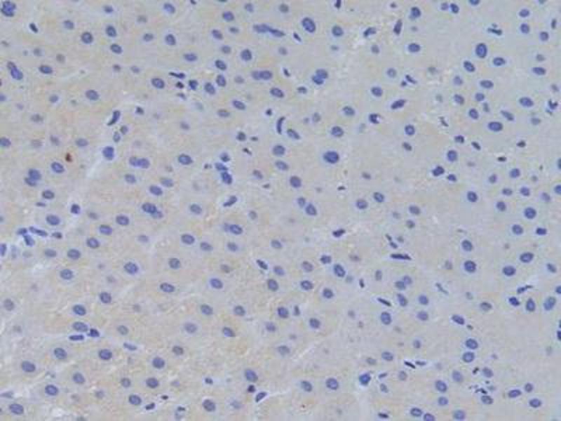
RFTN1 Antikörper (AA 288-520)

Der Kaninchen Polyklonal anti-RFTN1 Antikörper (ABIN1980498) detektiert spezifisch RFTN1 in WB, IHC, IP und ICC. Dieser Antikörper reagiert spezifisch mit Proben aus Human.
Produktnummer ABIN1980498
269,00 €
Zzgl. Versandkosten 20,00 € und MwSt
Lieferung nach: Deutschland
Lieferung in 13 bis 17 Werktagen

Kurzübersicht für RFTN1 Antikörper (AA 288-520) (ABIN1980498)

Target

Alle RFTN1 Antikörper anzeigen
RFTN1 (Raftlin, Lipid Raft Linker 1 (RFTN1))

Reaktivität

  • 11
  • 6
  • 3
  • 1
Human

Wirt

  • 12
Kaninchen

Klonalität

  • 12
Polyklonal

Konjugat

  • 12
Dieser RFTN1 Antikörper ist unkonjugiert

Applikation

  • 12
  • 5
  • 4
  • 4
  • 2
  • 2
  • 1
Western Blotting (WB), Immunohistochemistry (IHC), Immunoprecipitation (IP), Immunocytochemistry (ICC)
  • Bindungsspezifität

    • 2
    • 1
    • 1
    • 1
    • 1
    • 1
    • 1
    • 1
    • 1
    • 1
    AA 288-520

    Verwendungszweck

    Polyclonal Antibody to Raft Linking Protein (Raftlin)

    Spezifität

    The antibody is a rabbit polyclonal antibody raised against Raftlin. It has been selected for its ability to recognize Raftlin in immunohistochemical staining and western blotting.

    Aufreinigung

    Antigen-specific affinity chromatography followed by Protein A affinity chromatography

    Immunogen

    Recombinant Raft Linking Protein (Raftlin) corresdonding to Ser288~Leu520 (Accession # Q14699)

    Isotyp

    IgG
  • Applikationshinweise

    Western blotting: 0.01-2 μg/mL,Immunohistochemistry: 5-20 μg/mL,Immunocytochemistry: 5-20 μg/mL,Optimal working dilutions must be determined by end user.

    Kommentare

    The thermal stability is described by the loss rate. The loss rate was determined by accelerated thermal degradation test, that is, incubate the protein at 37°C for 48h, and no obvious degradation and precipitation were observed. The loss rate is less than 5% within the expiration date under appropriate storage condition.

    Beschränkungen

    Nur für Forschungszwecke einsetzbar
  • Format

    Liquid

    Konzentration

    500 μg/mL

    Buffer

    PBS, pH 7.4, containing 0.02 % Sodium azide, 50 % glycerol.

    Konservierungsmittel

    Sodium azide

    Handhabung

    Avoid repeated freeze-thaw cycles.

    Lagerung

    4 °C,-20 °C

    Informationen zur Lagerung

    Store at 4°C for frequent use. Stored at -20°C in a manual defrost freezer for two year without detectable loss of activity. Avoid repeated freeze-thaw cycles.

    Haltbarkeit

    24 months
  • Target

    RFTN1 (Raftlin, Lipid Raft Linker 1 (RFTN1))

    Andere Bezeichnung

    Raftlin

    Hintergrund

    RFTN1, MIG2, Raftlin, Lipid Raft Linker 1, Cell migration-inducing gene 2 protein
Sie sind hier:
Chat with us!