Telefon:
+49 (0)241 95 163 153
Fax:
+49 (0)241 95 163 155
E-Mail:
orders@antikoerper-online.de

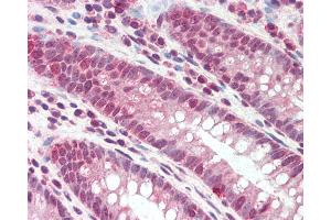
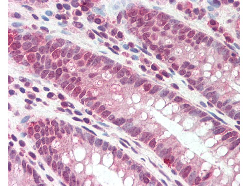
DEFB107A Antikörper (AA 29-42)

Der Ziege Polyklonal anti-DEFB107A Antikörper (ABIN1978380) detektiert spezifisch DEFB107A in ELISA, IHC und IHC (p). Dieser Antikörper reagiert spezifisch mit Proben aus Human.
Produktnummer ABIN1978380
512,07 €
Zzgl. Versandkosten 20,00 € und MwSt
50 μg
Lieferung nach: Deutschland
Lieferung in 15 bis 20 Werktagen

Kurzübersicht für DEFB107A Antikörper (AA 29-42) (ABIN1978380)

Target

Alle DEFB107A Antikörper anzeigen
DEFB107A (Defensin, beta 107A (DEFB107A))

Reaktivität

Human

Wirt

  • 2
  • 1
Ziege

Klonalität

  • 3
Polyklonal

Konjugat

  • 3
Dieser DEFB107A Antikörper ist unkonjugiert

Applikation

  • 2
  • 2
  • 1
  • 1
ELISA, Immunohistochemistry (IHC), Immunohistochemistry (Paraffin-embedded Sections) (IHC (p))
  • Bindungsspezifität

    • 2
    • 1
    • 1
    AA 29-42

    Spezifität

    Human DEFB107A/B.

    Aufreinigung

    Immunoaffinity purified

    Immunogen

    Synthetic peptide HRALISKRMEGHCE from an internal region of human DEFB107A (NP_001032757.2, NP_001035795.1). Percent identity by BLAST analysis: Human, Chimpanzee (100%), Gorilla, Orangutan, Gibbon, Monkey (93%), Marmoset (86%).

    Type of Immunogen: Synthetic peptide
  • Applikationshinweise

    Approved: IHC, IHC-P (5 μg/mL), Peptide-ELISA (1:32000)

    Usage: Peptide ELISA: antibody detection limit dilution 1:32000. Western blot: Not tested.

    Kommentare

    Target Species of Antibody: Human

    Beschränkungen

    Nur für Forschungszwecke einsetzbar
  • Format

    Liquid

    Konzentration

    Lot specific

    Buffer

    Tris-buffered saline,  pH 7.3, 0.5 % BSA, 0.02 % sodium azide

    Konservierungsmittel

    Sodium azide

    Vorsichtsmaßnahmen

    This product contains Sodium azide: a POISONOUS AND HAZARDOUS SUBSTANCE which should be handled by trained staff only.

    Lagerung

    -20 °C

    Informationen zur Lagerung

    Store at -20°C. Avoid freeze-thaw cycles.
  • Target

    DEFB107A (Defensin, beta 107A (DEFB107A))

    Andere Bezeichnung

    DEFB107A

    Hintergrund

    Name/Gene ID: DEFB107A

    Synonyms: DEFB107A, Beta-defensin 7, BD-7, DEFB-7, Defensin, beta 107A, Defensin, beta 7, DEFB107, DEFB7, Beta-defensin 107, Defensin, beta 107

    Gen-ID

    245910

    NCBI Accession

    NP_001032757, NP_001035795
Sie sind hier:
Chat with us!