Telefon:
+49 (0)241 95 163 153
Fax:
+49 (0)241 95 163 155
E-Mail:
orders@antikoerper-online.de

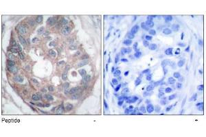
DAB1 Antikörper (Tyr232)

Der Kaninchen Polyklonal anti-DAB1 Antikörper (ABIN197508) detektiert spezifisch DAB1 in IHC (p). Dieser Antikörper reagiert spezifisch mit Proben aus Human, Ratte und Maus.
Produktnummer ABIN197508
606,15 €
Zzgl. Versandkosten 20,00 € und MwSt
Lieferung nach: Deutschland
Lieferung in 16 Werktagen

Kurzübersicht für DAB1 Antikörper (Tyr232) (ABIN197508)

Target

Alle DAB1 Antikörper anzeigen
DAB1 (Disabled Homolog 1 (Drosophila) (DAB1))

Reaktivität

  • 62
  • 60
  • 59
  • 4
  • 4
  • 3
  • 3
  • 3
  • 3
  • 2
  • 2
  • 1
Human, Ratte, Maus

Wirt

  • 95
  • 3
  • 3
Kaninchen

Klonalität

  • 100
  • 1
Polyklonal

Konjugat

  • 46
  • 5
  • 5
  • 4
  • 3
  • 3
  • 3
  • 3
  • 3
  • 3
  • 3
  • 3
  • 3
  • 3
  • 3
  • 1
  • 1
  • 1
  • 1
  • 1
  • 1
  • 1
  • 1
Dieser DAB1 Antikörper ist unkonjugiert

Applikation

  • 74
  • 41
  • 41
  • 34
  • 21
  • 18
  • 11
  • 11
  • 7
  • 6
  • 2
  • 2
  • 1
Immunohistochemistry (Paraffin-embedded Sections) (IHC (p))
  • Bindungsspezifität

    • 16
    • 15
    • 15
    • 7
    • 5
    • 3
    • 3
    • 3
    • 2
    • 2
    • 2
    • 2
    • 2
    • 2
    • 1
    • 1
    • 1
    • 1
    • 1
    • 1
    • 1
    • 1
    • 1
    • 1
    • 1
    Tyr232

    Spezifität

    Dab1 antibody detects endogenous levels of total Dab1 protein.

    Aufreinigung

    The antibody was affinity-purified from rabbit antiserum by affinity-chromatography using epitope-specific immunogen

    Immunogen

    The antiserum was produced against synthesized non-phosphopeptide derived from human Dab1around the phosphorylation site of tyrosine 232 (G-V-YP-D-V).
  • Applikationshinweise

    Immunohistochemistry: 1: 50-1: 100.
    Other applications not tested.
    Optimal dilutions are dependent on conditions and should be determined by the user.

    Beschränkungen

    Nur für Forschungszwecke einsetzbar
  • Konzentration

    1.0 mg/mL

    Buffer

    PBS (without Mg2+ and Ca2+), pH 7.4 containing 150 mM NaCl, 0.02 % sodium azide and 50 % glycerol

    Konservierungsmittel

    Sodium azide

    Vorsichtsmaßnahmen

    This product contains sodium azide: a POISONOUS AND HAZARDOUS SUBSTANCE which should be handled by trained staff only.

    Handhabung

    Avoid repeated freezing and thawing.

    Lagerung

    -20 °C
  • Target

    DAB1 (Disabled Homolog 1 (Drosophila) (DAB1))

    Andere Bezeichnung

    DAB1

    Hintergrund

    Disruption of DAB 1 (Disable 1) results in aberrant migration of neurons during development and disorganization of laminar structures throughout the brain. Dab1 is thought to function as an adaptor molecule in signal transduction processes. It contains a protein protein interaction (PI) similar to the phosphotyrosine binding domain of the Shc oncoprotein, it is phosphorylated by the Src protein tyrosine kinase, and it binds to SH2 binding domains in a phosphotyrosine dependent manner. DAB1 acts downstream of reelin in a signalling pathway.Synonyms: Disabled homolog 1

    Gen-ID

    1600

    NCBI Accession

    NP_066566

    UniProt

    O75553
Sie sind hier:
Chat with us!