Telefon:
+49 (0)241 95 163 153
Fax:
+49 (0)241 95 163 155
E-Mail:
orders@antikoerper-online.de

Estrogen Receptor alpha Antikörper (Ser106)

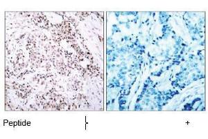
Der Kaninchen Polyklonal anti-Estrogen Receptor alpha Antikörper wird verwendet zum Nachweis von Estrogen Receptor alpha in Proben von Human und Maus. Er wurde validiert für WB und IHC (p).
Produktnummer ABIN197216
606,15 €
Zzgl. Versandkosten 20,00 € und MwSt
Lieferung nach: Deutschland
Lieferung in 16 Werktagen

Kurzübersicht für Estrogen Receptor alpha Antikörper (Ser106) (ABIN197216)

Target

Alle Estrogen Receptor alpha (ESR1) Antikörper anzeigen
Estrogen Receptor alpha (ESR1) (Estrogen Receptor 1 (ESR1))

Reaktivität

  • 571
  • 186
  • 175
  • 19
  • 18
  • 14
  • 10
  • 7
  • 7
  • 4
  • 3
  • 3
  • 2
  • 2
  • 1
Human, Maus

Wirt

  • 417
  • 163
  • 1
Kaninchen

Klonalität

  • 359
  • 223
  • 1
Polyklonal

Konjugat

  • 238
  • 41
  • 21
  • 18
  • 15
  • 12
  • 12
  • 12
  • 12
  • 12
  • 12
  • 11
  • 11
  • 11
  • 11
  • 11
  • 11
  • 10
  • 8
  • 8
  • 8
  • 8
  • 8
  • 8
  • 8
  • 8
  • 8
  • 8
  • 8
  • 7
  • 3
  • 3
  • 1
Dieser Estrogen Receptor alpha Antikörper ist unkonjugiert

Applikation

  • 403
  • 203
  • 180
  • 161
  • 121
  • 94
  • 80
  • 56
  • 55
  • 53
  • 33
  • 28
  • 22
  • 15
  • 7
  • 7
  • 4
  • 3
  • 2
  • 2
  • 2
  • 1
  • 1
  • 1
  • 1
  • 1
  • 1
  • 1
  • 1
Western Blotting (WB), Immunohistochemistry (Paraffin-embedded Sections) (IHC (p))
  • Bindungsspezifität

    • 34
    • 33
    • 32
    • 30
    • 30
    • 29
    • 28
    • 16
    • 16
    • 16
    • 16
    • 16
    • 15
    • 15
    • 13
    • 11
    • 11
    • 9
    • 9
    • 9
    • 8
    • 7
    • 7
    • 7
    • 4
    • 4
    • 4
    • 3
    • 3
    • 3
    • 3
    • 3
    • 2
    • 2
    • 2
    • 2
    • 2
    • 2
    • 2
    • 2
    • 2
    • 2
    • 2
    • 2
    • 2
    • 2
    • 2
    • 2
    • 2
    • 2
    Ser106

    Spezifität

    Estrogen Receptor-α antibody detects endogenous levels of total Estrogen Receptor-α protein.

    Aufreinigung

    Affinity-chromatography using epitope-specific immunogen

    Immunogen

    The antiserum was produced against synthesized non-phosphopeptide derived from human Estrogen Receptor-alpha around the phosphorylation site of serine 106 (S-P- SP-P-L).
  • Applikationshinweise

    Western Blot: 1: 500approx. 1: 1000. Immunohistochemistry: 1: 50approx. 1: 100.
    Other applications not tested.
    Optimal dilutions are dependent on conditions and should be determined by the user.

    Beschränkungen

    Nur für Forschungszwecke einsetzbar
  • Konzentration

    1.0 mg/mL

    Buffer

    PBS(without Mg2+ and Ca2+), pH 7.4 containing 150 mM NaCl, 0.02 % sodium azide and 50 % glycerol

    Konservierungsmittel

    Sodium azide

    Vorsichtsmaßnahmen

    This product contains sodium azide: a POISONOUS AND HAZARDOUS SUBSTANCE which should be handled by trained staff only.

    Handhabung

    Avoid repeated freezing and thawing.

    Lagerung

    -20 °C
  • Target

    Estrogen Receptor alpha (ESR1) (Estrogen Receptor 1 (ESR1))

    Andere Bezeichnung

    Estrogen Receptor alpha

    Hintergrund

    Estrogen Receptor alpha is a 65 kDa protein and a member of the steroid family of nuclear receptors. Estrogen Receptor alpha is a ligand-activated transcription factor that, when bound to estrogen, induces a conformational change that allows dimerization and binding to estrogen response element sequences. When bound to DNA, Estrogen Receptor alpha can positively or negatively regulate gene transcription. Like other steroid hormone receptors, Estrogen Receptors are intracellular proteins. Estrogen Receptors play an important role in regulating mammary gland growth and differentiation. Breast tumors that are ER positive may also show a more favorable response to anti-estrogen therapies.Synonyms: ER alpha, ESR, ESR1, Estradiol receptor, NR3A1, Nuclear receptor subfamily 3 group A member 1

    Gen-ID

    2099

    NCBI Accession

    NP_000116

    UniProt

    P03372

    Pathways

    Nuclear Receptor Transcription Pathway, EGFR Signaling Pathway, Retinoic Acid Receptor Signaling Pathway, Intracellular Steroid Hormone Receptor Signaling Pathway, Steroid Hormone Mediated Signaling Pathway, Ribonucleoprotein Complex Subunit Organization, Ribosome Assembly
Sie sind hier:
Chat with us!