Telefon:
+49 (0)241 95 163 153
Fax:
+49 (0)241 95 163 155
E-Mail:
orders@antikoerper-online.de

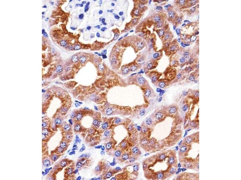
Phenylalanine Hydroxylase Antikörper (AA 127-161)

Dieser Maus Monoklonal Antikörper detektiert spezifisch Phenylalanine Hydroxylase in WB und IHC (p). Es zeigt Reaktivität gegenüber Proben von Human, Maus und Ratte. Es wurde in 4+ Publikationen zitiert.
Produktnummer ABIN1944892
434,77 €
Zzgl. Versandkosten 20,00 € und MwSt
Lieferung nach: Deutschland
Lieferung in 14 bis 17 Werktagen

Kurzübersicht für Phenylalanine Hydroxylase Antikörper (AA 127-161) (ABIN1944892)

Target

Alle Phenylalanine Hydroxylase Antikörper anzeigen
Phenylalanine Hydroxylase

Reaktivität

Human, Maus, Ratte

Wirt

  • 61
  • 7
  • 1
Maus

Klonalität

  • 51
  • 18
Monoklonal

Konjugat

  • 37
  • 9
  • 4
  • 3
  • 2
  • 2
  • 2
  • 2
  • 2
  • 2
  • 1
  • 1
  • 1
  • 1
Dieser Phenylalanine Hydroxylase Antikörper ist unkonjugiert

Applikation

  • 55
  • 33
  • 24
  • 18
  • 18
  • 11
  • 6
  • 4
  • 3
  • 1
Western Blotting (WB), Immunohistochemistry (Paraffin-embedded Sections) (IHC (p))

Klon

717CT21-1-1
  • Bindungsspezifität

    • 7
    • 6
    • 5
    • 5
    • 4
    • 4
    • 4
    • 3
    • 3
    • 1
    • 1
    • 1
    • 1
    • 1
    • 1
    • 1
    AA 127-161

    Homologie

    B

    Aufreinigung

    This antibody is purified through a protein G column, followed by dialysis against PBS.

    Immunogen

    This PAH antibody is generated from a mouse immunized with a KLH conjugated synthetic peptide between 127-161 amino acids from the Central region of human PAH.

    Isotyp

    IgG1 kappa
  • Applikationshinweise

    WB: 1:1000. IHC-P: 1:25. IHC-P: 1:25. IHC-P: 1:25

    Beschränkungen

    Nur für Forschungszwecke einsetzbar
  • Format

    Liquid

    Buffer

    Purified monoclonal antibody supplied in PBS with 0.09 % (W/V) sodium azide.

    Konservierungsmittel

    Sodium azide

    Vorsichtsmaßnahmen

    This product contains Sodium azide: a POISONOUS AND HAZARDOUS SUBSTANCE which should be handled by trained staff only.

    Lagerung

    4 °C,-20 °C

    Haltbarkeit

    6 months
  • Siltberg-Liberles, Steen, Svebak, Martinez: "The phylogeny of the aromatic amino acid hydroxylases revisited by characterizing phenylalanine hydroxylase from Dictyostelium discoideum." in: Gene, Vol. 427, Issue 1-2, pp. 86-92, (2008) (PubMed).

    Miranda, Teigen, Thórólfsson, Svebak, Knappskog, Flatmark, Martínez: "Phosphorylation and mutations of Ser(16) in human phenylalanine hydroxylase. Kinetic and structural effects." in: The Journal of biological chemistry, Vol. 277, Issue 43, pp. 40937-43, (2002) (PubMed).

    Cotton, McAdam, Jennings, Morgan: "A monoclonal antibody to aromatic amino acid hydroxylases. Identification of the epitope." in: The Biochemical journal, Vol. 255, Issue 1, pp. 193-6, (1989) (PubMed).

    Kwok, Ledley, DiLella, Robson, Woo: "Nucleotide sequence of a full-length complementary DNA clone and amino acid sequence of human phenylalanine hydroxylase." in: Biochemistry, Vol. 24, Issue 3, pp. 556-61, (1985) (PubMed).

  • Target

    Phenylalanine Hydroxylase

    Andere Bezeichnung

    PAH

    Substanzklasse

    Chemical

    Molekulargewicht

    51862

    Gen-ID

    5053

    UniProt

    P00439
Sie sind hier:
Chat with us!