Telefon:
+49 (0)241 95 163 153
Fax:
+49 (0)241 95 163 155
E-Mail:
orders@antikoerper-online.de

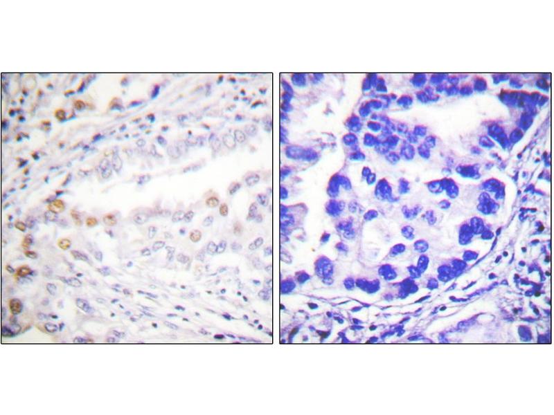
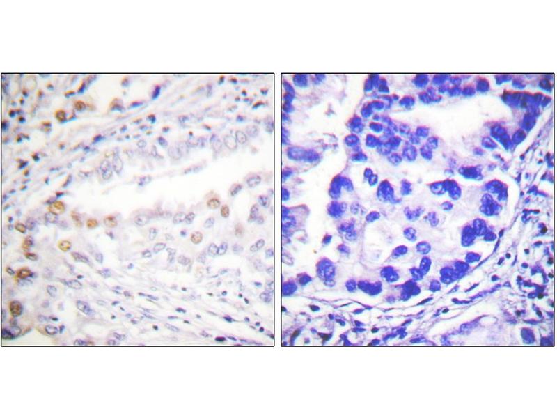
UBA2 Antikörper

Dieser Kaninchen Polyklonal Antikörper detektiert spezifisch UBA2 in WB und IHC. Es zeigt Reaktivität gegenüber Proben von Human. Es wurde in 3+ Publikationen zitiert.
Produktnummer ABIN1944808
434,77 €
Zzgl. Versandkosten 20,00 € und MwSt
100 μg
Lieferung nach: Deutschland
Lieferung in 14 bis 17 Werktagen

Kurzübersicht für UBA2 Antikörper (ABIN1944808)

Target

Alle UBA2 Antikörper anzeigen
UBA2 (SUMO1 Activating Enzyme Subunit 2 (UBA2))

Reaktivität

  • 61
  • 28
  • 23
  • 3
  • 2
  • 1
  • 1
  • 1
Human

Wirt

  • 53
  • 7
  • 1
Kaninchen

Klonalität

  • 36
  • 25
Polyklonal

Konjugat

  • 33
  • 4
  • 3
  • 3
  • 3
  • 3
  • 3
  • 3
  • 1
  • 1
  • 1
  • 1
  • 1
  • 1
Dieser UBA2 Antikörper ist unkonjugiert

Applikation

  • 47
  • 31
  • 25
  • 17
  • 16
  • 15
  • 6
  • 3
  • 2
  • 1
  • 1
  • 1
Western Blotting (WB), Immunohistochemistry (IHC)
  • Isotyp

    IgG1
  • Applikationshinweise

    WB: 1:1000. IHC: 1:50-1:100

    Beschränkungen

    Nur für Forschungszwecke einsetzbar
  • Format

    Liquid

    Buffer

    Rabbit IgG in phosphate buffered saline (without Mg2+ and Ca2+), pH 7.4, 150mM NaCl, 0.02 % sodium azide and 50 % glycerol.

    Konservierungsmittel

    Sodium azide

    Vorsichtsmaßnahmen

    WARNING: Reagents contain sodium azide. Sodium azide is very toxic if ingested or inhaled. Avoid contact with skin, eyes, or clothing. Wear eye or face protection when handling. If skin or eye contact occurs, wash with copious amounts of water. If ingested or inhaled, contact a physician immediately. Sodium azide yields toxic hydrazoic acid under acidic conditions. Dilute azide-containing compounds in running water before discarding to avoid accumulation of potentially explosive deposits in lead or copper plumbing.

    Lagerung

    4 °C,-20 °C
  • Wiemann, Weil, Wellenreuther, Gassenhuber, Glassl, Ansorge, Böcher, Blöcker, Bauersachs, Blum, Lauber, Düsterhöft, Beyer, Köhrer, Strack, Mewes, Ottenwälder, Obermaier, Tampe, Heubner, Wambutt, Korn et al.: "Toward a catalog of human genes and proteins: sequencing and analysis of 500 novel complete protein coding human cDNAs. ..." in: Genome research, Vol. 11, Issue 3, pp. 422-35, (2001) (PubMed).

    Okuma, Honda, Ichikawa, Tsumagari, Yasuda: "In vitro SUMO-1 modification requires two enzymatic steps, E1 and E2." in: Biochemical and biophysical research communications, Vol. 254, Issue 3, pp. 693-8, (1999) (PubMed).

    Gong, Li, Millas, Yeh: "Molecular cloning and characterization of human AOS1 and UBA2, components of the sentrin-activating enzyme complex." in: FEBS letters, Vol. 448, Issue 1, pp. 185-9, (1999) (PubMed).

  • Target

    UBA2 (SUMO1 Activating Enzyme Subunit 2 (UBA2))

    Andere Bezeichnung

    Uba2

    Hintergrund

    The heterodimer acts as a E1 ligase for SUMO1, SUMO2, SUMO3, and probably SUMO4. It mediates ATP-dependent activation of SUMO proteins followed by formation of a thioester bond between a SUMO protein and a conserved active site cysteine residue on UBA2/SAE2.

    Molekulargewicht

    71224 Da

    Gen-ID

    10054

    UniProt

    Q9UBT2
Sie sind hier:
Chat with us!