Telefon:
+49 (0)241 95 163 153
Fax:
+49 (0)241 95 163 155
E-Mail:
orders@antikoerper-online.de

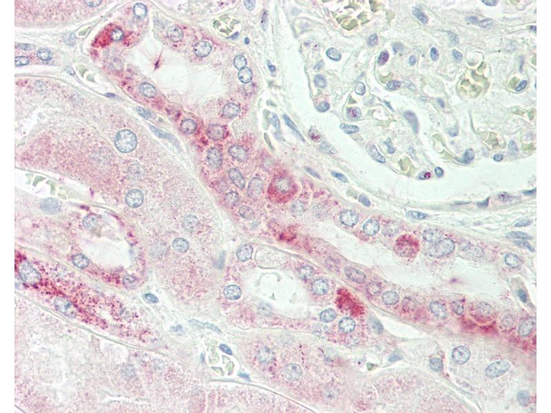
TMEM214 Antikörper (AA 38-66)

Der Kaninchen Polyklonal anti-TMEM214 Antikörper (ABIN1942578) detektiert spezifisch TMEM214 in WB, FACS, IHC und IHC (p). Dieser Antikörper reagiert spezifisch mit Proben aus Human.
Produktnummer ABIN1942578
512,07 €
Zzgl. Versandkosten 20,00 € und MwSt
200 μL
Lieferung nach: Deutschland
Lieferung in 15 bis 20 Werktagen

Kurzübersicht für TMEM214 Antikörper (AA 38-66) (ABIN1942578)

Target

TMEM214 (Transmembrane Protein 214 (TMEM214))

Reaktivität

  • 19
  • 3
  • 3
Human

Wirt

  • 19
Kaninchen

Klonalität

  • 19
Polyklonal

Konjugat

  • 11
  • 2
  • 2
  • 2
  • 1
  • 1
Dieser TMEM214 Antikörper ist unkonjugiert

Applikation

  • 15
  • 13
  • 9
  • 8
  • 3
  • 3
  • 1
  • 1
  • 1
  • 1
Western Blotting (WB), Flow Cytometry (FACS), Immunohistochemistry (IHC), Immunohistochemistry (Paraffin-embedded Sections) (IHC (p))
  • Bindungsspezifität

    • 7
    • 6
    • 4
    • 1
    • 1
    • 1
    • 1
    • 1
    AA 38-66

    Spezifität

    This TMEM214 antibody is generated from rabbits immunized with a KLH conjugated synthetic peptide between 38-66 amino acids from the N-terminal region of human TMEM214.

    Aufreinigung

    Protein A purified
  • Applikationshinweise

    Approved: Flo (1:10 - 1:50), IHC, IHC-P (1:50 - 1:100), WB (1:1000)

    Kommentare

    Target Species of Antibody: Human

    Beschränkungen

    Nur für Forschungszwecke einsetzbar
  • Format

    Liquid

    Konzentration

    Lot specific

    Buffer

    PBS, 0.09 % sodium azide

    Konservierungsmittel

    Sodium azide

    Vorsichtsmaßnahmen

    This product contains Sodium azide: a POISONOUS AND HAZARDOUS SUBSTANCE which should be handled by trained staff only.

    Lagerung

    4 °C,-20 °C

    Informationen zur Lagerung

    Maintain refrigerated at 2-8°C for up to 6 months. For long term storage store at -20°C.

    Haltbarkeit

    6 months
  • Target

    TMEM214 (Transmembrane Protein 214 (TMEM214))

    Hintergrund

    Name/Gene ID: TMEM214

    Synonyms: TMEM214, FLJ20254, Transmembrane protein 214

    Gen-ID

    54867
Sie sind hier:
Chat with us!