SGPP1 Antikörper (AA 13-42)
Kurzübersicht für SGPP1 Antikörper (AA 13-42) (ABIN1934434)
Target
Alle SGPP1 Antikörper anzeigenReaktivität
Wirt
Klonalität
Konjugat
Applikation
-
-
Bindungsspezifität
- AA 13-42
-
Spezifität
- This SGPP1 antibody is generated from rabbits immunized with a KLH conjugated synthetic peptide between 13-42 amino acids from the N-terminal region of human SGPP1.
-
Aufreinigung
- Protein A purified
-
-
-
-
Applikationshinweise
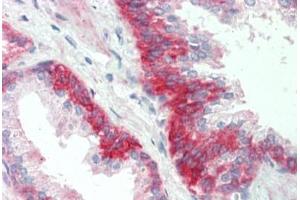
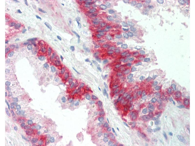
- Approved: IHC, IHC-P (1:10 - 1:100), WB (1:1000)
-
Kommentare
-
Target Species of Antibody: Human
-
Beschränkungen
- Nur für Forschungszwecke einsetzbar
-
-
-
Format
- Liquid
-
Konzentration
- Lot specific
-
Buffer
- PBS, 0.09 % sodium azide
-
Konservierungsmittel
- Sodium azide
-
Vorsichtsmaßnahmen
- This product contains Sodium azide: a POISONOUS AND HAZARDOUS SUBSTANCE which should be handled by trained staff only.
-
Lagerung
- 4 °C,-20 °C
-
Informationen zur Lagerung
- Maintain refrigerated at 2-8°C for up to 6 months. For long term storage store at -20°C.
-
Haltbarkeit
- 6 months
-
-
- SGPP1 (Sphingosine-1-Phosphate Phosphatase 1 (SGPP1))
-
Andere Bezeichnung
- SGPP1
-
Hintergrund
-
Name/Gene ID: SGPP1
Family: Non-protein Phosphatase
Synonyms: SGPP1, HSPPase1, HSPP1, Sphingosine-1-phosphatase 1, SPPase1 -
Gen-ID
- 81537
Target
-