INPP5K Antikörper (AA 183-430)
Kurzübersicht für INPP5K Antikörper (AA 183-430) (ABIN1905386)
Target
Alle INPP5K Antikörper anzeigenReaktivität
Wirt
Klonalität
Konjugat
Applikation
-
-
Bindungsspezifität
- AA 183-430
-
Spezifität
- Human INPP5K / SKIP.
-
Aufreinigung
- Affinity purified
-
Immunogen
-
A recombinant human INPP5K protein 183-430aa (BC004362).
Type of Immunogen: Recombinant protein
-
-
-
-
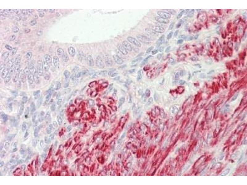
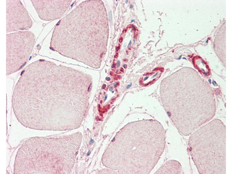
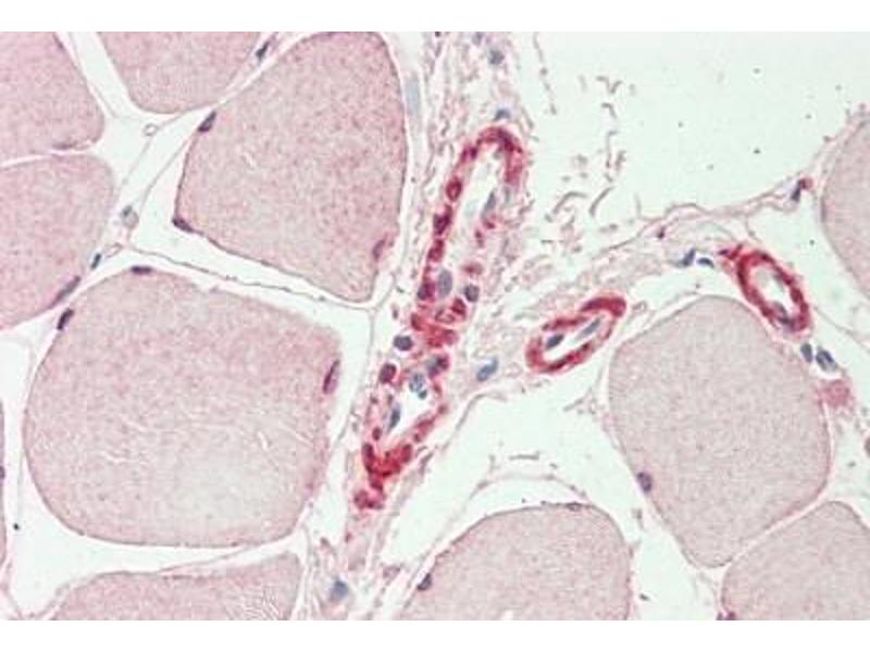
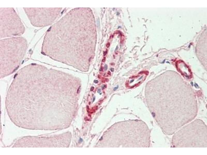
Applikationshinweise
- Approved: ELISA (1:20000 - 1:80000), IHC, IHC-P (10 μg/mL), WB (1:500 - 1:1000)
-
Kommentare
-
Target Species of Antibody: Human
-
Beschränkungen
- Nur für Forschungszwecke einsetzbar
-
-
-
Format
- Liquid
-
Konzentration
- Lot specific
-
Buffer
- PBS, pH 7.4, 0.02 % sodium azide
-
Konservierungsmittel
- Sodium azide
-
Vorsichtsmaßnahmen
- This product contains Sodium azide: a POISONOUS AND HAZARDOUS SUBSTANCE which should be handled by trained staff only.
-
Lagerung
- -20 °C
-
Informationen zur Lagerung
- Store at -20°C for up to 1 year.
-
Haltbarkeit
- 12 months
-
-
- INPP5K (Inositol Polyphosphate-5-Phosphatase K (INPP5K))
-
Andere Bezeichnung
- INPP5K / SKIP
-
Hintergrund
-
Name/Gene ID: INPP5K
Family: Inositol phosphatase
Synonyms: INPP5K, SKIP, PPS -
Gen-ID
- 51763
-
Pathways
- Carbohydrate Homeostasis, Regulation of Carbohydrate Metabolic Process
Target
-