Telefon:
+49 (0)241 95 163 153
Fax:
+49 (0)241 95 163 155
E-Mail:
orders@antikoerper-online.de

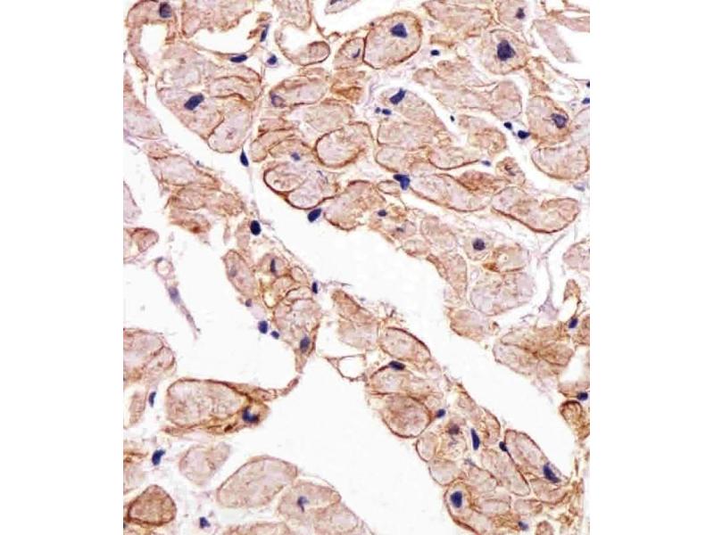
SGCG Antikörper (AA 145-172)

Dieser Kaninchen Polyklonal Antikörper detektiert spezifisch SGCG in WB und IHC (p). Es zeigt Reaktivität gegenüber Proben von Human. Es wurde in 5+ Publikationen zitiert.
Produktnummer ABIN1881799
434,77 €
Zzgl. Versandkosten 20,00 € und MwSt
Lieferung nach: Deutschland
Lieferung in 14 bis 17 Werktagen

Kurzübersicht für SGCG Antikörper (AA 145-172) (ABIN1881799)

Target

Alle SGCG Antikörper anzeigen
SGCG (Sarcoglycan, gamma (35kDa Dystrophin-Associated Glycoprotein) (SGCG))

Reaktivität

  • 45
  • 13
  • 6
  • 4
  • 2
  • 2
  • 2
  • 2
  • 2
  • 1
  • 1
  • 1
  • 1
Human

Wirt

  • 40
  • 4
  • 1
Kaninchen

Klonalität

  • 24
  • 21
Polyklonal

Konjugat

  • 20
  • 3
  • 3
  • 3
  • 3
  • 3
  • 3
  • 3
  • 1
  • 1
  • 1
  • 1
Dieser SGCG Antikörper ist unkonjugiert

Applikation

  • 25
  • 17
  • 14
  • 9
  • 2
  • 2
  • 1
  • 1
Western Blotting (WB), Immunohistochemistry (Paraffin-embedded Sections) (IHC (p))
  • Bindungsspezifität

    • 4
    • 3
    • 1
    • 1
    • 1
    • 1
    • 1
    • 1
    • 1
    • 1
    AA 145-172

    Homologie

    B

    Aufreinigung

    This antibody is purified through a protein A column, followed by peptide affinity purification.

    Immunogen

    This SGCG antibody is generated from rabbits immunized with a KLH conjugated synthetic peptide between 145-172 amino acids from the Central region of human SGCG.

    Isotyp

    Ig Fraction
  • Applikationshinweise

    WB: 1:1000. IHC-P: 1:25

    Beschränkungen

    Nur für Forschungszwecke einsetzbar
  • Format

    Liquid

    Buffer

    Purified polyclonal antibody supplied in PBS with 0.09 % (W/V) sodium azide.

    Konservierungsmittel

    Sodium azide

    Vorsichtsmaßnahmen

    This product contains Sodium azide: a POISONOUS AND HAZARDOUS SUBSTANCE which should be handled by trained staff only.

    Lagerung

    4 °C,-20 °C

    Haltbarkeit

    6 months
  • Dunham, Matthews, Burton, Ashurst, Howe, Ashcroft, Beare, Burford, Hunt, Griffiths-Jones, Jones, Keenan, Oliver, Scott, Ainscough, Almeida, Ambrose, Andrews, Ashwell, Babbage, Bagguley, Bailey et al.: "The DNA sequence and analysis of human chromosome 13. ..." in: Nature, Vol. 428, Issue 6982, pp. 522-8, (2004) (PubMed).

    Thompson, Chan, Hack, Brosius, Rajala, Lidov, McNally, Watkins, Kunkel: "Filamin 2 (FLN2): A muscle-specific sarcoglycan interacting protein." in: The Journal of cell biology, Vol. 148, Issue 1, pp. 115-26, (2000) (PubMed).

    Piccolo, Jeanpierre, Leturcq, Dodé, Azibi, Toutain, Merlini, Jarre, Navarro, Krishnamoorthy, Tomé, Urtizberea, Beckmann, Campbell, Kaplan: "A founder mutation in the gamma-sarcoglycan gene of gypsies possibly predating their migration out of India." in: Human molecular genetics, Vol. 5, Issue 12, pp. 2019-22, (1997) (PubMed).

    McNally, Passos-Bueno, Bönnemann, Vainzof, de Sá Moreira, Lidov, Othmane, Denton, Vance, Zatz, Kunkel: "Mild and severe muscular dystrophy caused by a single gamma-sarcoglycan mutation." in: American journal of human genetics, Vol. 59, Issue 5, pp. 1040-7, (1996) (PubMed).

    Noguchi, McNally, Ben Othmane, Hagiwara, Mizuno, Yoshida, Yamamoto, Bönnemann, Gussoni, Denton, Kyriakides, Middleton, Hentati, Ben Hamida, Nonaka, Vance, Kunkel, Ozawa: "Mutations in the dystrophin-associated protein gamma-sarcoglycan in chromosome 13 muscular dystrophy." in: Science (New York, N.Y.), Vol. 270, Issue 5237, pp. 819-22, (1995) (PubMed).

  • Target

    SGCG (Sarcoglycan, gamma (35kDa Dystrophin-Associated Glycoprotein) (SGCG))

    Andere Bezeichnung

    SGCG

    Hintergrund

    Component of the sarcoglycan complex, a subcomplex of the dystrophin-glycoprotein complex which forms a link between the F-actin cytoskeleton and the extracellular matrix.

    Molekulargewicht

    32379

    NCBI Accession

    NP_000222

    UniProt

    Q13326
Sie sind hier:
Chat with us!