Telefon:
+49 (0)241 95 163 153
Fax:
+49 (0)241 95 163 155
E-Mail:
orders@antikoerper-online.de

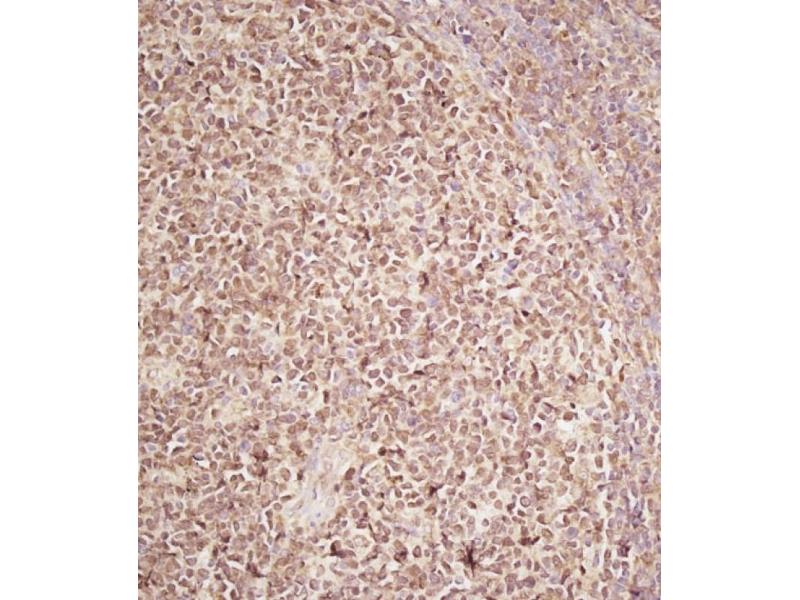
RECQL4 Antikörper (C-Term)

Der Kaninchen Polyklonal anti-RECQL4 Antikörper (Klon RB40513) (ABIN1881738) detektiert spezifisch RECQL4 in WB und IHC (p). Dieser Antikörper reagiert spezifisch mit Proben aus Human und Maus.
Produktnummer ABIN1881738
434,77 €
Zzgl. Versandkosten 20,00 € und MwSt
Lieferung nach: Deutschland
Lieferung in 14 bis 17 Werktagen

Kurzübersicht für RECQL4 Antikörper (C-Term) (ABIN1881738)

Target

Alle RECQL4 Antikörper anzeigen
RECQL4 (RecQ Protein-Like 4 (RECQL4))

Reaktivität

  • 24
  • 8
  • 2
Human, Maus

Wirt

  • 21
  • 3
Kaninchen

Klonalität

  • 22
  • 2
Polyklonal

Konjugat

  • 16
  • 2
  • 2
  • 2
  • 1
  • 1
Dieser RECQL4 Antikörper ist unkonjugiert

Applikation

  • 18
  • 18
  • 4
  • 3
  • 2
  • 1
  • 1
Western Blotting (WB), Immunohistochemistry (Paraffin-embedded Sections) (IHC (p))

Klon

RB40513
  • Bindungsspezifität

    • 7
    • 4
    • 3
    • 2
    • 2
    • 1
    • 1
    • 1
    • 1
    AA 1134-1162, C-Term

    Aufreinigung

    This antibody is purified through a protein A column, followed by peptide affinity purification.

    Immunogen

    This RECQL4 antibody is generated from rabbits immunized with a KLH conjugated synthetic peptide between 1134-1162 amino acids from the C-terminal region of human RECQL4.

    Isotyp

    Ig Fraction
  • Applikationshinweise

    WB: 1:2000. IHC-P: 1:100

    Beschränkungen

    Nur für Forschungszwecke einsetzbar
  • Format

    Liquid

    Buffer

    Purified polyclonal antibody supplied in PBS with 0.09 % (W/V) sodium azide.

    Konservierungsmittel

    Sodium azide

    Vorsichtsmaßnahmen

    This product contains Sodium azide: a POISONOUS AND HAZARDOUS SUBSTANCE which should be handled by trained staff only.

    Lagerung

    4 °C,-20 °C

    Haltbarkeit

    6 months
  • Target

    RECQL4 (RecQ Protein-Like 4 (RECQL4))

    Andere Bezeichnung

    RECQL4

    Hintergrund

    The protein encoded by this gene is a DNA helicase that belongs to the RecQ helicase family. DNA helicases unwind double-stranded DNA into single-stranded DNAs and may modulate chromosome segregation. This gene is predominantly expressed in thymus and testis. Mutations in this gene are associated with Rothmund-Thomson, RAPADILINO and Baller-Gerold syndromes. [provided by RefSeq].

    Molekulargewicht

    133067

    NCBI Accession

    NP_004251

    UniProt

    O94761

    Pathways

    Chromatin Binding
Sie sind hier:
Chat with us!