Telefon:
+49 (0)241 95 163 153
Fax:
+49 (0)241 95 163 155
E-Mail:
orders@antikoerper-online.de

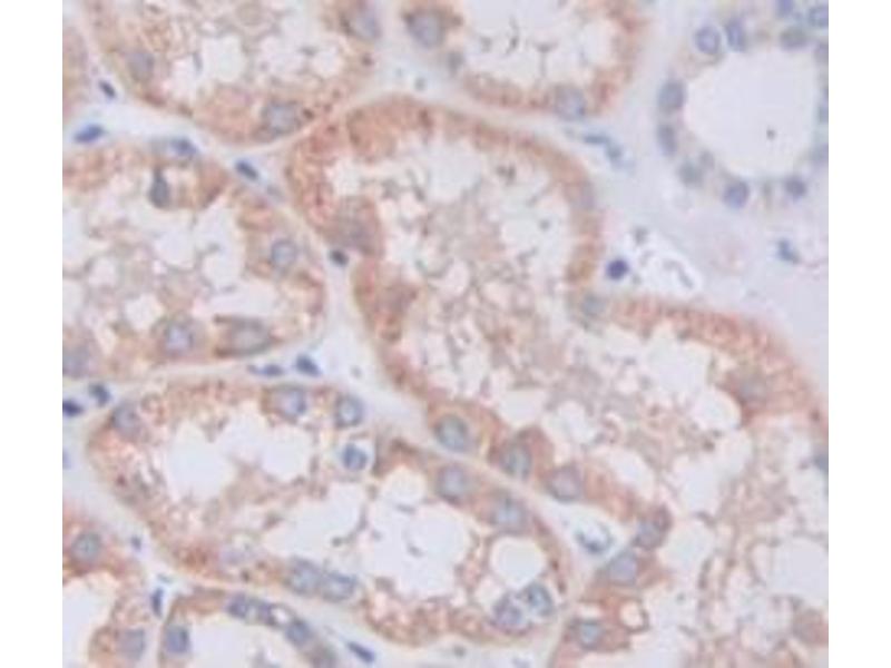
TLN2 Antikörper (AA 2240-2492)

Der Kaninchen Polyklonal anti-TLN2 Antikörper wird verwendet zum Nachweis von TLN2 in Proben von Human. Er wurde validiert für WB, IHC, IP und ICC.
Produktnummer ABIN1871627
245,00 €
Zzgl. Versandkosten 20,00 € und MwSt
Lieferung nach: Deutschland
Lieferung in 11 bis 15 Werktagen

Kurzübersicht für TLN2 Antikörper (AA 2240-2492) (ABIN1871627)

Target

Alle TLN2 Antikörper anzeigen
TLN2 (Talin 2 (TLN2))

Reaktivität

  • 18
  • 5
  • 3
Human

Wirt

  • 14
  • 3
  • 1
Kaninchen

Klonalität

  • 13
  • 5
Polyklonal

Konjugat

  • 12
  • 2
  • 2
  • 2
Dieser TLN2 Antikörper ist unkonjugiert

Applikation

  • 13
  • 7
  • 5
  • 4
  • 4
  • 3
  • 2
Western Blotting (WB), Immunohistochemistry (IHC), Immunoprecipitation (IP), Immunocytochemistry (ICC)
  • Bindungsspezifität

    • 5
    • 1
    • 1
    • 1
    • 1
    • 1
    AA 2240-2492

    Verwendungszweck

    Polyclonal Antibody to Talin 2 (TLN2)

    Spezifität

    The antibody is a rabbit polyclonal antibody raised against TLN2. It has been selected for its ability to recognize TLN2 in immunohistochemical staining and western blotting.

    Kreuzreaktivität

    Maus, Ratte

    Aufreinigung

    Antigen-specific affinity chromatography followed by Protein A affinity chromatography

    Immunogen

    RPH015Hu01Recombinant Talin 2 (TLN2)

    Isotyp

    IgG
  • Applikationshinweise

    Western blotting: 0.5-2 μg/mL,Immunohistochemistry: 5-20 μg/mL,Immunocytochemistry: 5-20 μg/mL,Optimal working dilutions must be determined by end user.

    Kommentare

    The thermal stability is described by the loss rate. The loss rate was determined by accelerated thermal degradation test, that is, incubate the protein at 37°C for 48h, and no obvious degradation and precipitation were observed. The loss rate is less than 5% within the expiration date under appropriate storage condition.

    Beschränkungen

    Nur für Forschungszwecke einsetzbar
  • Format

    Liquid

    Konzentration

    500 μg/mL

    Buffer

    0.01M PBS, pH 7.4, containing 0.05 % Proclin-300, 50 % glycerol.

    Konservierungsmittel

    ProClin

    Vorsichtsmaßnahmen

    WARNING: Reagents contain sodium azide. Sodium azide is very toxic if ingested or inhaled. Avoid contact with skin, eyes, or clothing. Wear eye or face protection when handling. If skin or eye contact occurs, wash with copious amounts of water. If ingested or inhaled, contact a physician immediately. Sodium azide yields toxic hydrazoic acid under acidic conditions. Dilute azide-containing compounds in running water before discarding to avoid accumulation of potentially explosive deposits in lead or copper plumbing.

    Handhabung

    Avoid repeated freeze-thaw cycles.

    Lagerung

    4 °C,-20 °C

    Informationen zur Lagerung

    Store at 4°C for frequent use. Stored at -20°C in a manual defrost freezer for two year without detectable loss of activity. Avoid repeated freeze-thaw cycles.

    Haltbarkeit

    12 months
  • Target

    TLN2 (Talin 2 (TLN2))

    Andere Bezeichnung

    TLN2

    Hintergrund

    ILWEQ

    Pathways

    Cell-Cell Junction Organization, Maintenance of Protein Location
Sie sind hier:
Chat with us!