Telefon:
+49 (0)241 95 163 153
Fax:
+49 (0)241 95 163 155
E-Mail:
orders@antikoerper-online.de

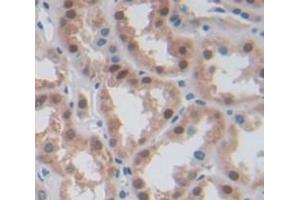
RBM38 Antikörper (AA 25-207)

Der Kaninchen Polyklonal anti-RBM38 Antikörper (ABIN1870245) detektiert spezifisch RBM38 in IHC, WB, IP und ICC. Dieser Antikörper reagiert spezifisch mit Proben aus Human.
Produktnummer ABIN1870245
245,00 €
Zzgl. Versandkosten 20,00 € und MwSt
Lieferung nach: Deutschland
Lieferung in 11 bis 15 Werktagen

Kurzübersicht für RBM38 Antikörper (AA 25-207) (ABIN1870245)

Target

Alle RBM38 Antikörper anzeigen
RBM38 (RNA Binding Motif Protein 38 (RBM38))

Reaktivität

  • 40
  • 16
  • 6
  • 6
  • 4
  • 4
  • 3
  • 2
  • 2
  • 1
  • 1
Human

Wirt

  • 38
  • 2
Kaninchen

Klonalität

  • 39
  • 1
Polyklonal

Konjugat

  • 15
  • 3
  • 3
  • 2
  • 1
  • 1
  • 1
  • 1
  • 1
  • 1
  • 1
  • 1
  • 1
  • 1
  • 1
  • 1
  • 1
  • 1
  • 1
  • 1
  • 1
Dieser RBM38 Antikörper ist unkonjugiert

Applikation

  • 13
  • 13
  • 12
  • 11
  • 10
  • 4
  • 3
  • 2
  • 1
  • 1
  • 1
Immunohistochemistry (IHC), Western Blotting (WB), Immunoprecipitation (IP), Immunocytochemistry (ICC)
  • Bindungsspezifität

    • 15
    • 6
    • 2
    • 1
    • 1
    • 1
    • 1
    AA 25-207

    Verwendungszweck

    Polyclonal Antibody to RNA Binding Motif Protein 38 (RBM38)

    Spezifität

    The antibody is a rabbit polyclonal antibody raised against RBM38. It has been selected for its ability to recognize RBM38 in immunohistochemical staining and western blotting.

    Kreuzreaktivität

    Maus

    Aufreinigung

    Antigen-specific affinity chromatography followed by Protein A affinity chromatography

    Immunogen

    RBM38 (His25-Tyr207)

    Isotyp

    IgG
  • Applikationshinweise

    Western blotting: 0.2-2 μg/mL,1:250-2500 Immunohistochemistry: 5-20 μg/mL,1:25-100 Immunocytochemistry: 5-20 μg/mL,1:25-100 Optimal working dilutions must be determined by end user.

    Kommentare

    The thermal stability is described by the loss rate. The loss rate was determined by accelerated thermal degradation test, that is, incubate the protein at 37°C for 48h, and no obvious degradation and precipitation were observed. The loss rate is less than 5% within the expiration date under appropriate storage condition.

    Beschränkungen

    Nur für Forschungszwecke einsetzbar
  • Format

    Liquid

    Konzentration

    500 μg/mL

    Buffer

    PBS, pH 7.4, containing 0.02 % Sodium azide, 50 % glycerol.

    Konservierungsmittel

    Sodium azide

    Vorsichtsmaßnahmen

    WARNING: Reagents contain sodium azide. Sodium azide is very toxic if ingested or inhaled. Avoid contact with skin, eyes, or clothing. Wear eye or face protection when handling. If skin or eye contact occurs, wash with copious amounts of water. If ingested or inhaled, contact a physician immediately. Sodium azide yields toxic hydrazoic acid under acidic conditions. Dilute azide-containing compounds in running water before discarding to avoid accumulation of potentially explosive deposits in lead or copper plumbing.

    Handhabung

    Avoid repeated freeze-thaw cycles.

    Lagerung

    4 °C,-20 °C

    Informationen zur Lagerung

    Store at 4°C for frequent use. Stored at -20°C in a manual defrost freezer for two year without detectable loss of activity. Avoid repeated freeze-thaw cycles.

    Haltbarkeit

    12 months
  • Target

    RBM38 (RNA Binding Motif Protein 38 (RBM38))

    Andere Bezeichnung

    RBM38

    Hintergrund

    HSRNASEB, SEB4D, Seb4B, RNPC1, RNA-Binding Region(RNP1,RRM)Containing 1, CLL-associated antigen KW-5, ssDNA-binding protein SEB4

    Pathways

    Regulation of Muscle Cell Differentiation, Skeletal Muscle Fiber Development
Sie sind hier:
Chat with us!