Telefon:
+49 (0)241 95 163 153
Fax:
+49 (0)241 95 163 155
E-Mail:
orders@antikoerper-online.de

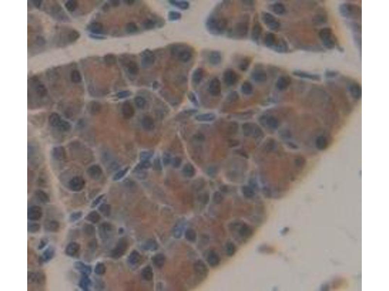
PNPLA6 Antikörper (AA 965-1137)

Der Kaninchen Polyklonal anti-PNPLA6 Antikörper (ABIN1869561) detektiert spezifisch PNPLA6 in WB, IHC, IP und ICC. Dieser Antikörper reagiert spezifisch mit Proben aus Ratte.
Produktnummer ABIN1869561
266,00 €
Zzgl. Versandkosten 20,00 € und MwSt
Lieferung nach: Deutschland
Lieferung in 11 bis 15 Werktagen

Kurzübersicht für PNPLA6 Antikörper (AA 965-1137) (ABIN1869561)

Target

Alle PNPLA6 Antikörper anzeigen
PNPLA6 (Patatin-Like phospholipase Domain Containing 6 (PNPLA6))

Reaktivität

  • 36
  • 10
  • 9
  • 6
  • 2
  • 2
  • 2
  • 2
  • 2
  • 1
  • 1
  • 1
  • 1
Ratte

Wirt

  • 41
  • 2
  • 1
Kaninchen

Klonalität

  • 42
  • 2
Polyklonal

Konjugat

  • 25
  • 3
  • 2
  • 2
  • 2
  • 2
  • 1
  • 1
  • 1
  • 1
  • 1
  • 1
  • 1
  • 1
Dieser PNPLA6 Antikörper ist unkonjugiert

Applikation

  • 28
  • 21
  • 7
  • 6
  • 6
  • 4
  • 3
  • 2
  • 1
  • 1
  • 1
Western Blotting (WB), Immunohistochemistry (IHC), Immunoprecipitation (IP), Immunocytochemistry (ICC)
  • Bindungsspezifität

    • 10
    • 8
    • 5
    • 4
    • 3
    • 2
    • 2
    • 1
    • 1
    • 1
    AA 965-1137

    Verwendungszweck

    Polyclonal Antibody to Neuropathy Target Esterase (NTE)

    Spezifität

    The antibody is a rabbit polyclonal antibody raised against NTE. It has been selected for its ability to recognize NTE in immunohistochemical staining and western blotting.

    Kreuzreaktivität

    Human, Maus

    Aufreinigung

    Antigen-specific affinity chromatography followed by Protein A affinity chromatography

    Immunogen

    RPH515Ra01Recombinant Neuropathy Target Esterase (NTE)

    Isotyp

    IgG
  • Applikationshinweise

    Western blotting: 0.5-2 μg/mL,Immunohistochemistry: 5-20 μg/mL,Immunocytochemistry: 5-20 μg/mL,Optimal working dilutions must be determined by end user.

    Kommentare

    The thermal stability is described by the loss rate. The loss rate was determined by accelerated thermal degradation test, that is, incubate the protein at 37°C for 48h, and no obvious degradation and precipitation were observed. The loss rate is less than 5% within the expiration date under appropriate storage condition.

    Beschränkungen

    Nur für Forschungszwecke einsetzbar
  • Format

    Liquid

    Konzentration

    500 μg/mL

    Buffer

    PBS, pH 7.4, containing 0.02 % Sodium azide, 50 % glycerol.

    Konservierungsmittel

    Sodium azide

    Vorsichtsmaßnahmen

    WARNING: Reagents contain sodium azide. Sodium azide is very toxic if ingested or inhaled. Avoid contact with skin, eyes, or clothing. Wear eye or face protection when handling. If skin or eye contact occurs, wash with copious amounts of water. If ingested or inhaled, contact a physician immediately. Sodium azide yields toxic hydrazoic acid under acidic conditions. Dilute azide-containing compounds in running water before discarding to avoid accumulation of potentially explosive deposits in lead or copper plumbing.

    Handhabung

    Avoid repeated freeze-thaw cycles.

    Lagerung

    4 °C,-20 °C

    Informationen zur Lagerung

    Store at 4°C for frequent use. Stored at -20°C in a manual defrost freezer for two year without detectable loss of activity. Avoid repeated freeze-thaw cycles.

    Haltbarkeit

    12 months
  • Target

    PNPLA6 (Patatin-Like phospholipase Domain Containing 6 (PNPLA6))

    Andere Bezeichnung

    Neuropathy Target Esterase

    Hintergrund

    PNPLA6, Sws, Patatin-Like Phospholipase Domain Containing 6

    Pathways

    Ribonucleoside Biosynthetic Process
Sie sind hier:
Chat with us!