Telefon:
+49 (0)241 95 163 153
Fax:
+49 (0)241 95 163 155
E-Mail:
orders@antikoerper-online.de

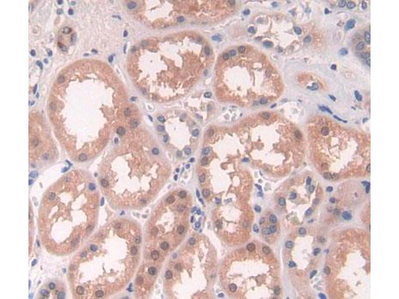
ALAD Antikörper (AA 1-330)

Der Kaninchen Polyklonal anti-ALAD Antikörper (ABIN1866615) detektiert spezifisch ALAD in WB, IHC, IP und ICC. Dieser Antikörper reagiert spezifisch mit Proben aus Human.
Produktnummer ABIN1866615
245,00 €
Zzgl. Versandkosten 20,00 € und MwSt
Lieferung nach: Deutschland
Lieferung in 11 bis 15 Werktagen

Kurzübersicht für ALAD Antikörper (AA 1-330) (ABIN1866615)

Target

Alle ALAD Antikörper anzeigen
ALAD (Aminolevulinate Dehydratase (ALAD))

Reaktivität

  • 25
  • 20
  • 7
  • 6
  • 5
  • 4
  • 4
  • 3
  • 3
  • 2
  • 2
  • 1
  • 1
Human

Wirt

  • 38
  • 5
Kaninchen

Klonalität

  • 41
  • 2
Polyklonal

Konjugat

  • 29
  • 1
  • 1
  • 1
  • 1
  • 1
  • 1
  • 1
  • 1
  • 1
  • 1
  • 1
  • 1
  • 1
  • 1
Dieser ALAD Antikörper ist unkonjugiert

Applikation

  • 40
  • 13
  • 13
  • 9
  • 6
  • 6
  • 5
  • 3
  • 3
  • 3
  • 2
  • 2
  • 1
Western Blotting (WB), Immunohistochemistry (IHC), Immunoprecipitation (IP), Immunocytochemistry (ICC)
  • Bindungsspezifität

    • 15
    • 6
    • 4
    • 3
    • 2
    • 2
    • 1
    • 1
    • 1
    • 1
    • 1
    AA 1-330

    Verwendungszweck

    Polyclonal Antibody to Aminolevulinate Delta Dehydratase (ALAD)

    Spezifität

    The antibody is a rabbit polyclonal antibody raised against ALAD. It has been selected for its ability to recognize ALAD in immunohistochemical staining and western blotting.

    Kreuzreaktivität

    Maus, Schwein, Ratte

    Aufreinigung

    Antigen-specific affinity chromatography followed by Protein A affinity chromatography

    Immunogen

    RPC292Hu01Recombinant Aminolevulinate Delta Dehydratase (ALAD)

    Isotyp

    IgG
  • Applikationshinweise

    Western blotting: 0.01-2 μg/mL,Immunohistochemistry: 5-30 μg/mL,Immunocytochemistry: 5-20 μg/mL,Optimal working dilutions must be determined by end user.

    Kommentare

    The thermal stability is described by the loss rate. The loss rate was determined by accelerated thermal degradation test, that is, incubate the protein at 37°C for 48h, and no obvious degradation and precipitation were observed. The loss rate is less than 5% within the expiration date under appropriate storage condition.

    Beschränkungen

    Nur für Forschungszwecke einsetzbar
  • Format

    Liquid

    Konzentration

    0.5 mg/mL

    Buffer

    0.01M PBS, pH 7.4, containing 0.05 % Proclin-300, 50 % glycerol.

    Konservierungsmittel

    ProClin

    Vorsichtsmaßnahmen

    WARNING: Reagents contain sodium azide. Sodium azide is very toxic if ingested or inhaled. Avoid contact with skin, eyes, or clothing. Wear eye or face protection when handling. If skin or eye contact occurs, wash with copious amounts of water. If ingested or inhaled, contact a physician immediately. Sodium azide yields toxic hydrazoic acid under acidic conditions. Dilute azide-containing compounds in running water before discarding to avoid accumulation of potentially explosive deposits in lead or copper plumbing.

    Handhabung

    Avoid repeated freeze-thaw cycles.

    Lagerung

    4 °C,-20 °C

    Informationen zur Lagerung

    Store at 4°C for frequent use. Stored at -20°C in a manual defrost freezer for two year without detectable loss of activity. Avoid repeated freeze-thaw cycles.

    Haltbarkeit

    12 months
  • Target

    ALAD (Aminolevulinate Dehydratase (ALAD))

    Andere Bezeichnung

    ALAD

    Hintergrund

    ALADH, PBGS, Delta-Aminolevulinic Acid Dehydratase, Porphobilinogen Synthase
Sie sind hier:
Chat with us!