Telefon:
+49 (0)241 95 163 153
Fax:
+49 (0)241 95 163 155
E-Mail:
orders@antikoerper-online.de

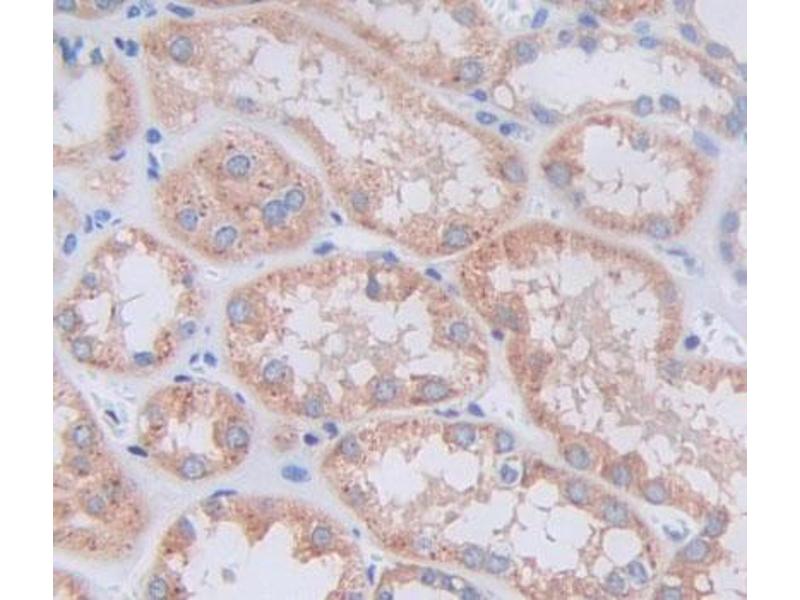
RNLS Antikörper (AA 18-180)

Der Kaninchen Polyklonal anti-RNLS Antikörper (ABIN1863108) detektiert spezifisch RNLS in WB, IHC, IP und ICC. Dieser Antikörper reagiert spezifisch mit Proben aus Human.
Produktnummer ABIN1863108
245,00 €
Zzgl. Versandkosten 20,00 € und MwSt
Lieferung nach: Deutschland
Lieferung in 11 bis 15 Werktagen

Kurzübersicht für RNLS Antikörper (AA 18-180) (ABIN1863108)

Target

Alle RNLS Antikörper anzeigen
RNLS (Renalase, FAD-Dependent Amine Oxidase (RNLS))

Reaktivität

  • 70
  • 38
  • 19
  • 2
  • 2
  • 2
  • 1
  • 1
  • 1
Human

Wirt

  • 58
  • 21
  • 1
Kaninchen

Klonalität

  • 49
  • 31
Polyklonal

Konjugat

  • 32
  • 10
  • 2
  • 2
  • 2
  • 2
  • 2
  • 2
  • 2
  • 1
  • 1
  • 1
  • 1
  • 1
  • 1
  • 1
  • 1
  • 1
  • 1
  • 1
  • 1
  • 1
  • 1
  • 1
  • 1
  • 1
  • 1
  • 1
  • 1
  • 1
  • 1
  • 1
  • 1
Dieser RNLS Antikörper ist unkonjugiert

Applikation

  • 52
  • 31
  • 13
  • 13
  • 13
  • 12
  • 9
  • 4
  • 4
  • 4
  • 3
  • 3
  • 2
  • 2
  • 2
  • 1
Western Blotting (WB), Immunohistochemistry (IHC), Immunoprecipitation (IP), Immunocytochemistry (ICC)
  • Bindungsspezifität

    • 15
    • 12
    • 9
    • 3
    • 2
    • 2
    • 1
    • 1
    • 1
    • 1
    • 1
    AA 18-180

    Verwendungszweck

    Polyclonal Antibody to Renalase (RNLS)

    Spezifität

    The antibody is a rabbit polyclonal antibody raised against RNLS. It has been selected for its ability to recognize RNLS in immunohistochemical staining and western blotting.

    Kreuzreaktivität

    Schwein

    Aufreinigung

    Antigen-specific affinity chromatography followed by Protein A affinity chromatography

    Immunogen

    RNLS (Ala18-Cys180)

    Isotyp

    IgG
  • Applikationshinweise

    Western blotting: 0.2-2 μg/mL,1:250-2500 Immunohistochemistry: 5-20 μg/mL,1:25-100 Immunocytochemistry: 5-20 μg/mL,1:25-100 Optimal working dilutions must be determined by end user.

    Kommentare

    The thermal stability is described by the loss rate. The loss rate was determined by accelerated thermal degradation test, that is, incubate the protein at 37°C for 48h, and no obvious degradation and precipitation were observed. The loss rate is less than 5% within the expiration date under appropriate storage condition.

    Beschränkungen

    Nur für Forschungszwecke einsetzbar
  • Format

    Liquid

    Konzentration

    500 μg/mL

    Buffer

    PBS, pH 7.4, containing 0.01 % SKL, 1 mM DTT, 5 % Trehalose and Proclin300.

    Konservierungsmittel

    Dithiothreitol (DTT), ProClin

    Vorsichtsmaßnahmen

    WARNING: Reagents contain sodium azide. Sodium azide is very toxic if ingested or inhaled. Avoid contact with skin, eyes, or clothing. Wear eye or face protection when handling. If skin or eye contact occurs, wash with copious amounts of water. If ingested or inhaled, contact a physician immediately. Sodium azide yields toxic hydrazoic acid under acidic conditions. Dilute azide-containing compounds in running water before discarding to avoid accumulation of potentially explosive deposits in lead or copper plumbing.

    Handhabung

    Avoid repeated freeze-thaw cycles.

    Lagerung

    4 °C,-20 °C

    Informationen zur Lagerung

    Store at 4°C for frequent use. Stored at -20°C in a manual defrost freezer for two year without detectable loss of activity. Avoid repeated freeze-thaw cycles.

    Haltbarkeit

    12 months
  • Target

    RNLS (Renalase, FAD-Dependent Amine Oxidase (RNLS))

    Andere Bezeichnung

    RNLS

    Hintergrund

    MAO-C, C10orf59, FAD-Dependent Amine Oxidase, Monoamine oxidase-C, alpha-NAD(P)H oxidase/anomerase
Sie sind hier:
Chat with us!