Telefon:
+49 (0)241 95 163 153
Fax:
+49 (0)241 95 163 155
E-Mail:
orders@antikoerper-online.de

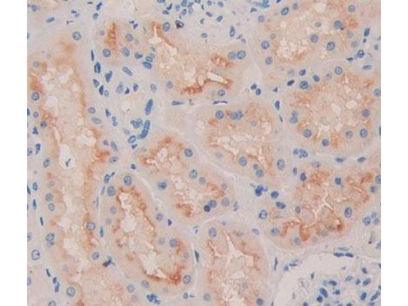
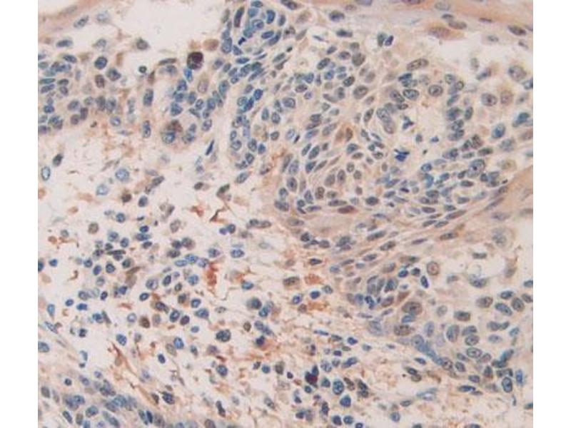
QSOX1 Antikörper (AA 394-519)

Der Kaninchen Polyklonal anti-QSOX1 Antikörper wird verwendet zum Nachweis von QSOX1 in Proben von Human. Er wurde validiert für WB, IHC, IP und ICC.
Produktnummer ABIN1860392
245,00 €
Zzgl. Versandkosten 20,00 € und MwSt
Lieferung nach: Deutschland
Lieferung in 11 bis 15 Werktagen

Kurzübersicht für QSOX1 Antikörper (AA 394-519) (ABIN1860392)

Target

Alle QSOX1 Antikörper anzeigen
QSOX1 (Quiescin Q6 Sulfhydryl Oxidase 1 (QSOX1))

Reaktivität

  • 57
  • 8
  • 7
Human

Wirt

  • 58
  • 3
Kaninchen

Klonalität

  • 48
  • 13
Polyklonal

Konjugat

  • 25
  • 5
  • 4
  • 2
  • 2
  • 2
  • 2
  • 2
  • 2
  • 2
  • 1
  • 1
  • 1
  • 1
  • 1
  • 1
  • 1
  • 1
  • 1
  • 1
  • 1
  • 1
  • 1
Dieser QSOX1 Antikörper ist unkonjugiert

Applikation

  • 34
  • 18
  • 16
  • 13
  • 13
  • 13
  • 4
  • 4
  • 3
  • 3
  • 1
  • 1
  • 1
Western Blotting (WB), Immunohistochemistry (IHC), Immunoprecipitation (IP), Immunocytochemistry (ICC)
  • Bindungsspezifität

    • 15
    • 4
    • 3
    • 3
    • 3
    • 1
    • 1
    • 1
    • 1
    • 1
    • 1
    • 1
    • 1
    AA 394-519

    Verwendungszweck

    Polyclonal Antibody to Quiescin Q6 Sulfhydryl Oxidase 1 (QSOX1)

    Spezifität

    The antibody is a rabbit polyclonal antibody raised against QSOX1. It has been selected for its ability to recognize QSOX1 in immunohistochemical staining and western blotting.

    Kreuzreaktivität

    Maus, Ratte

    Aufreinigung

    Antigen-specific affinity chromatography followed by Protein A affinity chromatography

    Immunogen

    Recombinant Quiescin Q6 Sulfhydryl Oxidase 1 (QSOX1) corresdonding to Gln394~Val519 (Accession # O00391)

    Isotyp

    IgG
  • Applikationshinweise

    Western blotting: 0.5-2 μg/mL,Immunohistochemistry: 5-20 μg/mL,Immunocytochemistry: 5-20 μg/mL,Optimal working dilutions must be determined by end user.

    Kommentare

    The thermal stability is described by the loss rate. The loss rate was determined by accelerated thermal degradation test, that is, incubate the protein at 37°C for 48h, and no obvious degradation and precipitation were observed. The loss rate is less than 5% within the expiration date under appropriate storage condition.

    Beschränkungen

    Nur für Forschungszwecke einsetzbar
  • Format

    Liquid

    Konzentration

    500 μg/mL

    Buffer

    0.01M PBS, pH 7.4, containing 0.05 % Proclin-300, 50 % glycerol.

    Konservierungsmittel

    ProClin

    Vorsichtsmaßnahmen

    WARNING: Reagents contain sodium azide. Sodium azide is very toxic if ingested or inhaled. Avoid contact with skin, eyes, or clothing. Wear eye or face protection when handling. If skin or eye contact occurs, wash with copious amounts of water. If ingested or inhaled, contact a physician immediately. Sodium azide yields toxic hydrazoic acid under acidic conditions. Dilute azide-containing compounds in running water before discarding to avoid accumulation of potentially explosive deposits in lead or copper plumbing.

    Handhabung

    Avoid repeated freeze-thaw cycles.

    Lagerung

    4 °C,-20 °C

    Informationen zur Lagerung

    Store at 4°C for frequent use. Stored at -20°C in a manual defrost freezer for two year without detectable loss of activity. Avoid repeated freeze-thaw cycles.

    Haltbarkeit

    24 months
  • Target

    QSOX1 (Quiescin Q6 Sulfhydryl Oxidase 1 (QSOX1))

    Andere Bezeichnung

    QSOX1

    Hintergrund

    Q6, QSCN6

    Pathways

    Cell RedoxHomeostasis
Sie sind hier:
Chat with us!