Telefon:
+49 (0)241 95 163 153
Fax:
+49 (0)241 95 163 155
E-Mail:
orders@antikoerper-online.de

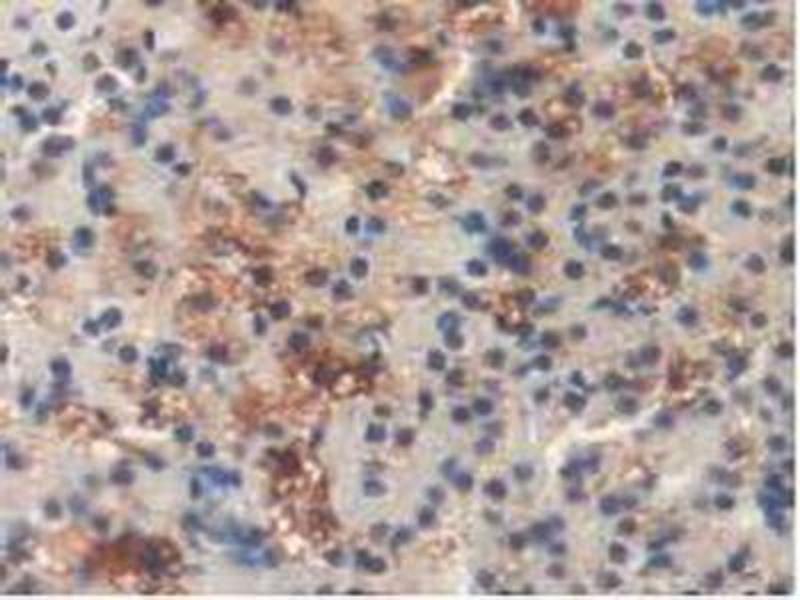
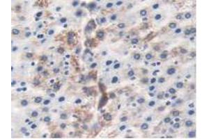
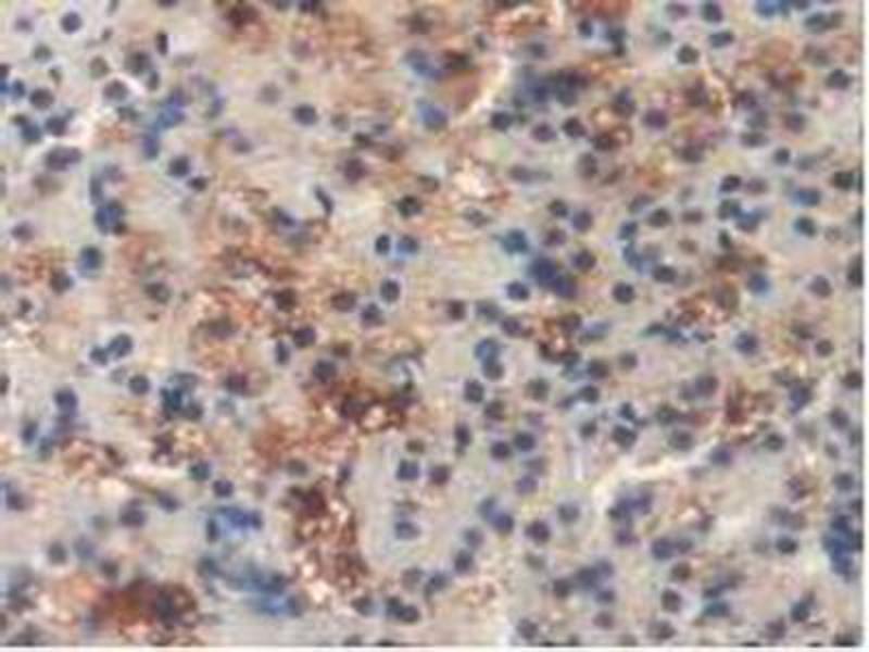
DLD Antikörper (AA 238-466)

Der Kaninchen Polyklonal anti-DLD Antikörper wird verwendet zum Nachweis von DLD in Proben von Ratte. Er wurde validiert für WB, IHC, IP und ICC.
Produktnummer ABIN1858649
239,00 €
Zzgl. Versandkosten 20,00 € und MwSt
Lieferung nach: Deutschland
Lieferung in 11 bis 15 Werktagen

Kurzübersicht für DLD Antikörper (AA 238-466) (ABIN1858649)

Target

Alle DLD Antikörper anzeigen
DLD (Dihydrolipoamide Dehydrogenase (DLD))

Reaktivität

  • 58
  • 39
  • 37
  • 7
  • 5
  • 3
  • 3
  • 3
  • 3
  • 1
  • 1
  • 1
  • 1
Ratte

Wirt

  • 65
  • 5
Kaninchen

Klonalität

  • 50
  • 20
Polyklonal

Konjugat

  • 39
  • 5
  • 4
  • 3
  • 1
  • 1
  • 1
  • 1
  • 1
  • 1
  • 1
  • 1
  • 1
  • 1
  • 1
  • 1
  • 1
  • 1
  • 1
  • 1
  • 1
  • 1
  • 1
Dieser DLD Antikörper ist unkonjugiert

Applikation

  • 64
  • 31
  • 23
  • 23
  • 20
  • 8
  • 6
  • 4
  • 4
  • 1
  • 1
  • 1
Western Blotting (WB), Immunohistochemistry (IHC), Immunoprecipitation (IP), Immunocytochemistry (ICC)
  • Bindungsspezifität

    • 6
    • 5
    • 3
    • 2
    • 2
    • 2
    • 1
    • 1
    • 1
    • 1
    • 1
    • 1
    • 1
    AA 238-466

    Verwendungszweck

    Polyclonal Antibody to Dihydrolipoyl Dehydrogenase (DLD)

    Spezifität

    The antibody is a rabbit polyclonal antibody raised against DLD. It has been selected for its ability to recognize DLD in immunohistochemical staining and western blotting.

    Kreuzreaktivität

    Maus

    Aufreinigung

    Antigen-specific affinity chromatography followed by Protein A affinity chromatography

    Immunogen

    Recombinant Dihydrolipoyl Dehydrogenase (DLD)

    Isotyp

    IgG
  • Applikationshinweise

    Western blotting: 0.5-5 μg/mL,Immunohistochemistry: 5-20 μg/mL,Immunocytochemistry: 5-20 μg/mL,Optimal working dilutions must be determined by end user.

    Kommentare

    The thermal stability is described by the loss rate. The loss rate was determined by accelerated thermal degradation test, that is, incubate the protein at 37°C for 48h, and no obvious degradation and precipitation were observed. The loss rate is less than 5% within the expiration date under appropriate storage condition.

    Beschränkungen

    Nur für Forschungszwecke einsetzbar
  • Format

    Liquid

    Konzentration

    500 μg/mL

    Buffer

    0.01M PBS, pH 7.4, containing 0.05 % Proclin-300, 50 % glycerol.

    Konservierungsmittel

    ProClin

    Vorsichtsmaßnahmen

    WARNING: Reagents contain sodium azide. Sodium azide is very toxic if ingested or inhaled. Avoid contact with skin, eyes, or clothing. Wear eye or face protection when handling. If skin or eye contact occurs, wash with copious amounts of water. If ingested or inhaled, contact a physician immediately. Sodium azide yields toxic hydrazoic acid under acidic conditions. Dilute azide-containing compounds in running water before discarding to avoid accumulation of potentially explosive deposits in lead or copper plumbing.

    Handhabung

    Avoid repeated freeze-thaw cycles.

    Lagerung

    4 °C,-20 °C

    Informationen zur Lagerung

    Store at 4°C for frequent use. Stored at -20°C in a manual defrost freezer for two year without detectable loss of activity. Avoid repeated freeze-thaw cycles.

    Haltbarkeit

    24 months
  • Target

    DLD (Dihydrolipoamide Dehydrogenase (DLD))

    Andere Bezeichnung

    Dihydrolipoyl Dehydrogenase

    Hintergrund

    LAD, GCSL, Dihydrolipoamide Dehydrogenase, E3 Component Of Pyruvate Dehydrogenase Complex, 2-Oxo-Glutarate Complex, Branched Chain Keto Acid Dehydrogenase Complex

    Pathways

    Ribonucleoside Biosynthetic Process, Cell RedoxHomeostasis
Sie sind hier:
Chat with us!