Telefon:
+49 (0)241 95 163 153
Fax:
+49 (0)241 95 163 155
E-Mail:
orders@antikoerper-online.de

ICAM5 Antikörper (C-Term)

Der Ziege Polyklonal anti-ICAM5 Antikörper (ABIN185736) detektiert spezifisch ICAM5 in ELISA und IHC. Dieser Antikörper reagiert spezifisch mit Proben aus Human.
Produktnummer ABIN185736
488,25 €
Zzgl. Versandkosten 20,00 € und MwSt
100 μg
Lieferung nach: Deutschland
Lieferung in 5 bis 8 Werktagen

Kurzübersicht für ICAM5 Antikörper (C-Term) (ABIN185736)

Target

Alle ICAM5 Antikörper anzeigen
ICAM5 (Intercellular Adhesion Molecule 5 (ICAM5))

Reaktivität

  • 22
  • 19
  • 7
  • 2
  • 2
  • 2
  • 2
  • 2
  • 1
  • 1
  • 1
Human

Wirt

  • 24
  • 1
  • 1
Ziege

Klonalität

  • 24
  • 2
Polyklonal

Konjugat

  • 19
  • 1
  • 1
  • 1
  • 1
  • 1
  • 1
  • 1
Dieser ICAM5 Antikörper ist unkonjugiert

Applikation

  • 17
  • 8
  • 8
  • 4
  • 3
  • 1
  • 1
  • 1
ELISA, Immunohistochemistry (IHC)

Güteklasse

Verified
  • Bindungsspezifität

    • 2
    • 2
    • 2
    • 2
    • 1
    • 1
    • 1
    • 1
    C-Term

    Verwendungszweck

    ICAM5 precursor

    Sequenz

    ESPAEGEVFA IQ

    Kreuzreaktivität

    Rind (Kuh), Human, Maus, Schwein, Ratte

    Aufreinigung

    Purified from goat serum by ammonium sulphate precipitation followed by antigen affinity chromatography using the immunizing peptide.

    Immunogen

    Peptide with sequence C-ESPAEGEVFAIQ, from the C Terminus of the protein sequence according to NP_003250.3.

    Isotyp

    IgG
  • Applikationshinweise

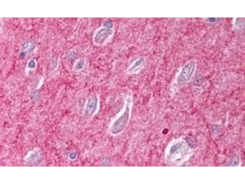
    Immunohistochemistry: In paraffin embedded Human Brain (Cerebral Cortex) shows axon/dendrite staining leaving cell bodies relatively unstained. Recommended concentration, 2-4 μg/mL.

    Western Blot: Preliminary experiments gave an approx 200-250 kDa band in lysates of Human Brain (Frontal Cortex and Hippocampus) and Mouse Brain after 0.05 μg/mL antibody staining. Please note that currently we cannot find an explanation in the literature

    Peptide ELISA: antibody detection limit dilution 1:128000.

    Beschränkungen

    Nur für Forschungszwecke einsetzbar
  • Format

    Liquid

    Konzentration

    0.5 mg/mL

    Buffer

    Supplied at 0.5 mg/mL in Tris saline, 0.02 % sodium azide, pH 7.3 with 0.5 % bovine serum albumin.

    Konservierungsmittel

    Sodium azide

    Vorsichtsmaßnahmen

    This product contains Sodium azide: a POISONOUS AND HAZARDOUS SUBSTANCE which should be handled by trained staff only.

    Handhabung

    Minimize freezing and thawing.

    Lagerung

    -20 °C

    Informationen zur Lagerung

    Aliquot and store at -20°C, with minimal freeze/thawing. A working aliquot may be refrigerated at 4°C for a few weeks and still remain viable.
  • Target

    ICAM5 (Intercellular Adhesion Molecule 5 (ICAM5))

    Andere Bezeichnung

    ICAM5

    Hintergrund

    ICAM5, intercellular adhesion molecule 5, telencephalin , TLCN, TLN , intercellular adhesion molecule 5, telencephalin

    Gen-ID

    7087, 15898, 313785

    NCBI Accession

    NP_003250

    Pathways

    Cell-Cell Junction Organization, ER-Nucleus Signaling, Maintenance of Protein Location
Sie sind hier:
Chat with us!