Telefon:
+49 (0)241 95 163 153
Fax:
+49 (0)241 95 163 155
E-Mail:
orders@antikoerper-online.de

ALOX5AP Antikörper (Internal Region)

Der Ziege Polyklonal anti-ALOX5AP Antikörper wird verwendet zum Nachweis von ALOX5AP in Proben von Human. Er wurde validiert für WB, ELISA und IHC.
Produktnummer ABIN185717
488,25 €
Zzgl. Versandkosten 20,00 € und MwSt
100 μg
Lieferung nach: Deutschland
Lieferung in 5 bis 8 Werktagen

Kurzübersicht für ALOX5AP Antikörper (Internal Region) (ABIN185717)

Target

Alle ALOX5AP Antikörper anzeigen
ALOX5AP (Arachidonate 5-Lipoxygenase-Activating Protein (ALOX5AP))

Reaktivität

  • 10
  • 2
  • 1
Human

Wirt

  • 9
  • 2
Ziege

Klonalität

  • 9
  • 2
Polyklonal

Konjugat

  • 10
  • 1
Dieser ALOX5AP Antikörper ist unkonjugiert

Applikation

  • 10
  • 4
  • 4
  • 4
  • 3
  • 2
  • 1
  • 1
  • 1
  • 1
  • 1
Western Blotting (WB), ELISA, Immunohistochemistry (IHC)

Güteklasse

Verified
  • Bindungsspezifität

    • 2
    • 1
    • 1
    • 1
    • 1
    • 1
    Internal Region

    Verwendungszweck

    FLAP / ALOX5AP (internal)

    Sequenz

    HKVEHESRTQ NGR

    Spezifität

    This antibody is expected to recognize both reported isoforms (NP_001620.2, NP_001191335.1).

    Kreuzreaktivität

    Hund, Human

    Aufreinigung

    Purified from goat serum by ammonium sulphate precipitation followed by antigen affinity chromatography using the immunizing peptide.

    Immunogen

    Peptide with sequence C-HKVEHESRTQNGR, from the internal region of the protein sequence according to NP_001620.2.

    Isotyp

    IgG
  • Applikationshinweise

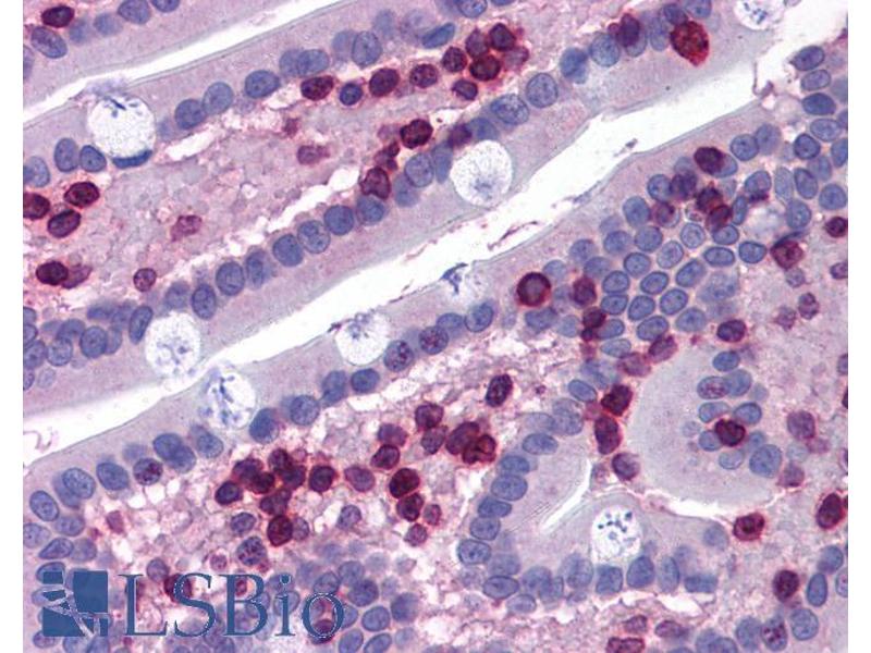
    Immunohistochemistry: In paraffin embedded Human Spleen shows staining of select splenocytes. Paraffin embedded Human Lung and Small Intestine. Recommended concentration: 3.75 μg/mL.

    Western Blot: Approx 16 kDa band observed in lysates of U937 and of Peripheral Blood Mononucleocytes (calculated MW of 18.2 kDa according to NP_001620.2). Recommended concentration: 0.1-0.3 μg/mL. Primary incubation was 1 hour.

    Peptide ELISA: antibody detection limit dilution 1:128000.

    Beschränkungen

    Nur für Forschungszwecke einsetzbar
  • Format

    Liquid

    Konzentration

    0.5 mg/mL

    Buffer

    Supplied at 0.5 mg/mL in Tris saline, 0.02 % sodium azide, pH 7.3 with 0.5 % bovine serum albumin.

    Konservierungsmittel

    Sodium azide

    Vorsichtsmaßnahmen

    This product contains Sodium azide: a POISONOUS AND HAZARDOUS SUBSTANCE which should be handled by trained staff only.

    Handhabung

    Minimize freezing and thawing.

    Lagerung

    -20 °C

    Informationen zur Lagerung

    Aliquot and store at -20°C, with minimal freeze/thawing. A working aliquot may be refrigerated at 4°C for a few weeks and still remain viable.
  • Target

    ALOX5AP (Arachidonate 5-Lipoxygenase-Activating Protein (ALOX5AP))

    Andere Bezeichnung

    ALOX5AP

    Hintergrund

    ALOX5AP, FLAP, arachidonate 5-lipoxygenase-activating protein, MK-886-binding protein, five-lipoxygenase activating protein

    Gen-ID

    241

    NCBI Accession

    NP_001620, NP_001191335
Sie sind hier:
Chat with us!