Telefon:
+49 (0)241 95 163 153
Fax:
+49 (0)241 95 163 155
E-Mail:
orders@antikoerper-online.de

UNC13D Antikörper (Internal Region)

Dieser Ziege Polyklonal Antikörper detektiert spezifisch UNC13D in WB, ELISA und IHC. Es zeigt Reaktivität gegenüber Proben von Human und Maus.
Produktnummer ABIN185677
488,25 €
Zzgl. Versandkosten 20,00 € und MwSt
100 μg
Lieferung nach: Deutschland
Lieferung in 5 bis 8 Werktagen

Kurzübersicht für UNC13D Antikörper (Internal Region) (ABIN185677)

Target

Alle UNC13D Antikörper anzeigen
UNC13D (Unc-13 Homolog D (UNC13D))

Reaktivität

  • 26
  • 5
  • 3
  • 2
  • 1
  • 1
  • 1
  • 1
  • 1
Human, Maus

Wirt

  • 23
  • 3
  • 1
Ziege

Klonalität

  • 25
  • 2
Polyklonal

Konjugat

  • 23
  • 2
  • 1
  • 1
Dieser UNC13D Antikörper ist unkonjugiert

Applikation

  • 21
  • 10
  • 7
  • 3
  • 3
  • 2
  • 2
Western Blotting (WB), ELISA, Immunohistochemistry (IHC)

Güteklasse

Verified
  • Bindungsspezifität

    • 5
    • 5
    • 3
    • 3
    • 2
    • 1
    • 1
    • 1
    Internal Region

    Verwendungszweck

    Munc13-4 / UNC13D (Internal)

    Sequenz

    ETQKHKKDLH PLFD

    Kreuzreaktivität

    Rind (Kuh), Hund, Human, Maus, Schwein, Ratte

    Aufreinigung

    Purified from goat serum by ammonium sulphate precipitation followed by antigen affinity chromatography using the immunizing peptide.

    Immunogen

    C-ETQKHKKDLHPLFD

    Isotyp

    IgG
  • Applikationshinweise

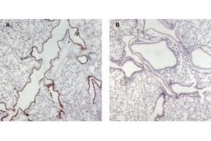
    Immunohistochemistry: In paraffin embedded Human Thymus shows cytoplasm staining in select areas. Recommended concentration: 2.5 μg/mL. In paraffin embedded Mouse Lung shows staining of the resperatory epithelium in wildtype but not in the knock-out. Data

    Western Blot: Approx. 105 kDa band observed in Human T-lymphocyte and HeLa lysates (calculated MW of 123 kDa according to NP_954712.1). Recommended concentration: 1-3 μg/mL. Primary incubation was 1 hour.

    Peptide ELISA: antibody detection limit dilution 1:128000.

    Beschränkungen

    Nur für Forschungszwecke einsetzbar
  • Format

    Liquid

    Konzentration

    0.5 mg/mL

    Buffer

    Supplied at 0.5 mg/mL in Tris saline, 0.02 % sodium azide, pH 7.3 with 0.5 % bovine serum albumin.

    Konservierungsmittel

    Sodium azide

    Vorsichtsmaßnahmen

    This product contains Sodium azide: a POISONOUS AND HAZARDOUS SUBSTANCE which should be handled by trained staff only.

    Handhabung

    Minimize freezing and thawing.

    Lagerung

    -20 °C

    Informationen zur Lagerung

    Aliquot and store at -20°C, with minimal freeze/thawing. A working aliquot may be refrigerated at 4°C for a few weeks and still remain viable.
  • Target

    UNC13D (Unc-13 Homolog D (UNC13D))

    Andere Bezeichnung

    UNC13D

    Hintergrund

    UNC13D, Munc13-4, unc-13 homolog D (C. elegans) , FHL3, HLH3, HPLH3, unc-13 homolog D

    Gen-ID

    201294, 70450, 192177

    NCBI Accession

    NP_954712

    Pathways

    Regulation of Leukocyte Mediated Immunity, Positive Regulation of Immune Effector Process
Sie sind hier:
Chat with us!