Telefon:
+49 (0)241 95 163 153
Fax:
+49 (0)241 95 163 155
E-Mail:
orders@antikoerper-online.de

Serotonin Receptor 3A Antikörper (Internal Region)

Zitiert in 1 Publikation. Der Ziege Polyklonal anti-Serotonin Receptor 3A Antikörper (ABIN185673) detektiert spezifisch Serotonin Receptor 3A in ELISA, IHC, ICC und FACS. Dieser Antikörper reagiert spezifisch mit Proben aus Human und Ratte.
Produktnummer ABIN185673
488,25 €
Zzgl. Versandkosten 20,00 € und MwSt
100 μg
Lieferung nach: Deutschland
Lieferung in 5 bis 8 Werktagen

Kurzübersicht für Serotonin Receptor 3A Antikörper (Internal Region) (ABIN185673)

Target

Alle Serotonin Receptor 3A (HTR3A) Antikörper anzeigen
Serotonin Receptor 3A (HTR3A)

Reaktivität

  • 60
  • 17
  • 12
  • 4
  • 2
  • 2
  • 1
  • 1
  • 1
  • 1
  • 1
  • 1
  • 1
Human, Ratte

Wirt

  • 61
  • 2
  • 1
  • 1
Ziege

Klonalität

  • 62
  • 3
Polyklonal

Konjugat

  • 28
  • 4
  • 4
  • 3
  • 2
  • 2
  • 2
  • 2
  • 2
  • 2
  • 2
  • 1
  • 1
  • 1
  • 1
  • 1
  • 1
  • 1
  • 1
  • 1
  • 1
  • 1
  • 1
Dieser Serotonin Receptor 3A Antikörper ist unkonjugiert

Applikation

  • 30
  • 22
  • 14
  • 14
  • 10
  • 5
  • 4
  • 4
  • 2
  • 1
  • 1
  • 1
  • 1
ELISA, Immunohistochemistry (IHC), Immunocytochemistry (ICC), Flow Cytometry (FACS)

Güteklasse

Verified
  • Bindungsspezifität

    • 15
    • 8
    • 6
    • 5
    • 2
    • 1
    • 1
    • 1
    • 1
    • 1
    • 1
    • 1
    • 1
    • 1
    • 1
    • 1
    • 1
    • 1
    • 1
    Internal Region

    Verwendungszweck

    Serotonin receptor 3A / HTR3A

    Sequenz

    GPQDFEKSPR DR

    Spezifität

    This antibody is expected to recognise all three reported isoforms

    Kreuzreaktivität

    Human

    Aufreinigung

    Purified from goat serum by ammonium sulphate precipitation followed by antigen affinity chromatography using the immunizing peptide.

    Immunogen

    Peptide with sequence C-GPQDFEKSPRDR, from the internal region of the protein sequence according to NP_998786.2, NP_000860.2, NP_001155244.1.

    Isotyp

    IgG
  • Applikationshinweise

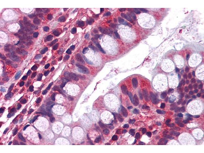
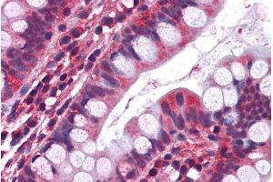
    Immunohistochemistry: Paraffin embedded Human Small Intestine. Recommended concentration: 3.75 μg/mL.

    Peptide ELISA: antibody detection limit dilution 1:128000.

    Kommentare

    Immunocytochemistry:This product has been successfully used in ICC on Rat: Lu CL et al, Gastroenterology. 2009 Sep,137(3):1040-50. PMID: 19344720.

    Flow Cytometry: Flow cytometric analysis of HeLa cells. Recommended co

    Beschränkungen

    Nur für Forschungszwecke einsetzbar
  • Format

    Liquid

    Konzentration

    0.5 mg/mL

    Buffer

    Supplied at 0.5 mg/mL in Tris saline, 0.02 % sodium azide, pH 7.3 with 0.5 % bovine serum albumin.

    Konservierungsmittel

    Sodium azide

    Vorsichtsmaßnahmen

    This product contains Sodium azide: a POISONOUS AND HAZARDOUS SUBSTANCE which should be handled by trained staff only.

    Handhabung

    Minimize freezing and thawing.

    Lagerung

    -20 °C

    Informationen zur Lagerung

    Aliquot and store at -20°C, with minimal freeze/thawing. A working aliquot may be refrigerated at 4°C for a few weeks and still remain viable.
  • Lu, Hsieh, Dun, Oprea, Wang, Luo, Lin, Chang, Lee: "Estrogen rapidly modulates 5-hydroxytrytophan-induced visceral hypersensitivity via GPR30 in rats." in: Gastroenterology, Vol. 137, Issue 3, pp. 1040-50, (2009) (PubMed).

  • Target

    Serotonin Receptor 3A (HTR3A)

    Andere Bezeichnung

    HTR3A

    Hintergrund

    HTR3A, serotonin receptor, 5-hydroxytryptamine (serotonin) receptor 3A, 5-HT-3, 5-HT3A, 5-HT3R, 5HT3R, HTR3, 5-hydroxytryptamine (serotonin) receptor-3, 5HT3 serotonin receptor, Serotonin-gated ion channel receptor, truncated receptor, containing only 3 t

    Gen-ID

    3359

    NCBI Accession

    NP_998786, NP_000860, NP_001155244

    Pathways

    Synaptic Membrane
Sie sind hier:
Chat with us!