Eukaryotic Translation Initiation Factor 3, Subunit M (EIF3M) (C-Term) Antikörper
Kurzübersicht für Eukaryotic Translation Initiation Factor 3, Subunit M (EIF3M) (C-Term) Antikörper (ABIN185490)
Target
Alle Eukaryotic Translation Initiation Factor 3, Subunit M (EIF3M) Antikörper anzeigenReaktivität
Wirt
Klonalität
Konjugat
Applikation
Güteklasse
-
-
Bindungsspezifität
- C-Term
-
Verwendungszweck
- B5 Receptor / PCID1 / EIF3M
-
Sequenz
- NAWKQNLNKV KN
-
Kreuzreaktivität
- Rind (Kuh), Hund, Human, Maus, Ratte
-
Aufreinigung
- Purified from goat serum by ammonium sulphate precipitation followed by antigen affinity chromatography using the immunizing peptide.
-
Immunogen
- Peptide with sequence C-NAWKQNLNKVKN, from the C Terminus of the protein sequence according to NP_006351.2.
-
Isotyp
- IgG
-
-
-
-
Applikationshinweise
-
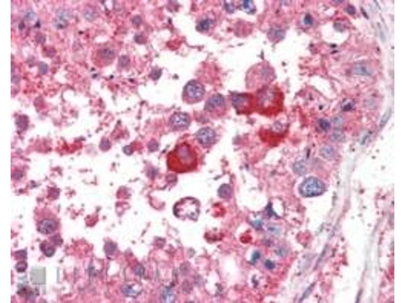
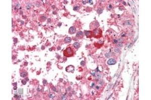
Immunohistochemistry: In paraffin embedded Human Testis shows strong staining of cytoplasm in select spermatocytes. Recommended concentration, 5-10 μg/mL.
Peptide ELISA: antibody detection limit dilution 1:32000.
-
Beschränkungen
- Nur für Forschungszwecke einsetzbar
-
-
-
Format
- Liquid
-
Konzentration
- 0.5 mg/mL
-
Buffer
- Supplied at 0.5 mg/mL in Tris saline, 0.02 % sodium azide, pH 7.3 with 0.5 % bovine serum albumin.
-
Konservierungsmittel
- Sodium azide
-
Vorsichtsmaßnahmen
- This product contains Sodium azide: a POISONOUS AND HAZARDOUS SUBSTANCE which should be handled by trained staff only.
-
Handhabung
- Minimize freezing and thawing.
-
Lagerung
- -20 °C
-
Informationen zur Lagerung
- Aliquot and store at -20°C, with minimal freeze/thawing. A working aliquot may be refrigerated at 4°C for a few weeks and still remain viable.
-
-
- Eukaryotic Translation Initiation Factor 3, Subunit M (EIF3M)
-
Andere Bezeichnung
- EIF3M
-
Hintergrund
- EIF3M, B5 receptor, PCID1, PCI domain containing 1 (herpesvirus entry mediator), FLJ29030, GA17, hfl-B5, dendritic cell protein, fetal lung protein B5, eukaryotic translation initiation factor 3, subunit M, B5, PCID1
-
Gen-ID
- 10480, 98221, 295975
-
NCBI Accession
- NP_006351
-
Pathways
- Ribonucleoprotein Complex Subunit Organization
Target
-