Telefon:
+49 (0)241 95 163 153
Fax:
+49 (0)241 95 163 155
E-Mail:
orders@antikoerper-online.de

FNBP1 Antikörper (Internal Region)

Der Ziege Polyklonal anti-FNBP1 Antikörper (ABIN185286) detektiert spezifisch FNBP1 in WB, IHC und ELISA. Dieser Antikörper reagiert spezifisch mit Proben aus Human.
Produktnummer ABIN185286
488,25 €
Zzgl. Versandkosten 20,00 € und MwSt
100 μg
Lieferung nach: Deutschland
Lieferung in 5 bis 8 Werktagen

Kurzübersicht für FNBP1 Antikörper (Internal Region) (ABIN185286)

Target

Alle FNBP1 Antikörper anzeigen
FNBP1 (Formin Binding Protein 1 (FNBP1))

Reaktivität

  • 15
  • 15
  • 11
  • 5
  • 4
  • 3
  • 2
  • 2
  • 1
  • 1
  • 1
  • 1
  • 1
  • 1
Human

Wirt

  • 25
  • 1
Ziege

Klonalität

  • 25
  • 1
Polyklonal

Konjugat

  • 12
  • 1
  • 1
  • 1
  • 1
  • 1
  • 1
  • 1
  • 1
  • 1
  • 1
  • 1
  • 1
  • 1
  • 1
Dieser FNBP1 Antikörper ist unkonjugiert

Applikation

  • 25
  • 13
  • 13
  • 6
  • 4
  • 3
  • 3
  • 3
  • 3
  • 1
Western Blotting (WB), Immunohistochemistry (IHC), ELISA

Güteklasse

Verified
  • Bindungsspezifität

    • 15
    • 3
    • 2
    • 1
    • 1
    Internal Region

    Verwendungszweck

    FBP17 / FNBP1

    Sequenz

    KQLESSKRRF ERDC

    Kreuzreaktivität

    Rind (Kuh), Hund, Human, Maus, Schwein, Ratte

    Aufreinigung

    Purified from goat serum by ammonium sulphate precipitation followed by antigen affinity chromatography using the immunizing peptide.

    Immunogen

    Peptide with sequence KQLESSKRRFERDC, from the internal region of the protein sequence according to NP_055848.1.

    Isotyp

    IgG
  • Applikationshinweise

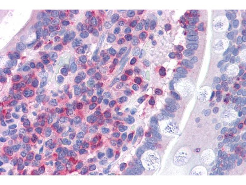
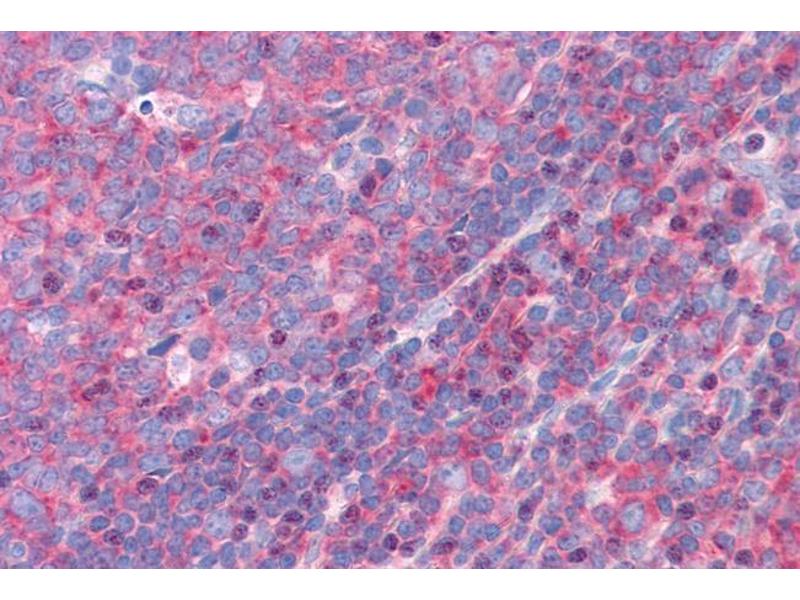
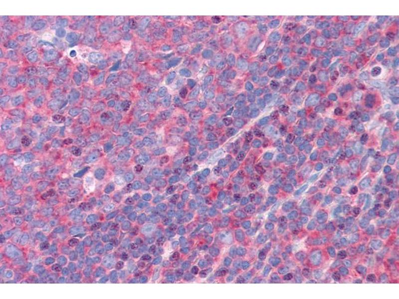
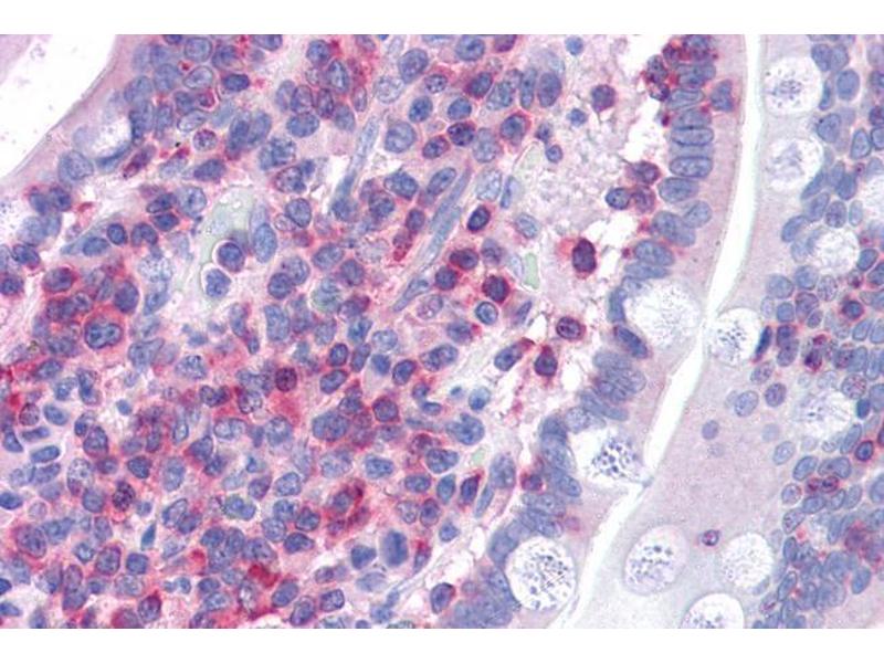
    Immunohistochemistry: Paraffin embedded Human Tonsil and Small Intestine. Recommended concentration: 3.75 μg/mL.

    Western Blot: Approx 70 kDa band observed in Human Testis lysates (calculated MW of 71.3 kDa according to NP_055848.1). Recommended concentration: 0.25-2 μg/mL.

    Peptide ELISA: antibody detection limit dilution 1:32000.

    Beschränkungen

    Nur für Forschungszwecke einsetzbar
  • Format

    Liquid

    Konzentration

    0.5 mg/mL

    Buffer

    Supplied at 0.5 mg/mL in Tris saline, 0.02 % sodium azide, pH 7.3 with 0.5 % bovine serum albumin.

    Konservierungsmittel

    Sodium azide

    Vorsichtsmaßnahmen

    This product contains Sodium azide: a POISONOUS AND HAZARDOUS SUBSTANCE which should be handled by trained staff only.

    Handhabung

    Minimize freezing and thawing.

    Lagerung

    -20 °C

    Informationen zur Lagerung

    Aliquot and store at -20°C, with minimal freeze/thawing. A working aliquot may be refrigerated at 4°C for a few weeks and still remain viable.
  • Target

    FNBP1 (Formin Binding Protein 1 (FNBP1))

    Andere Bezeichnung

    FNBP1

    Hintergrund

    FNBP1, FBP17, KIAA0554, formin binding protein 1, formin-binding protein 17, MGC126804

    Gen-ID

    23048

    NCBI Accession

    NP_055848
Sie sind hier:
Chat with us!