Telefon:
+49 (0)241 95 163 153
Fax:
+49 (0)241 95 163 155
E-Mail:
orders@antikoerper-online.de

RASIP1 Antikörper (C-Term)

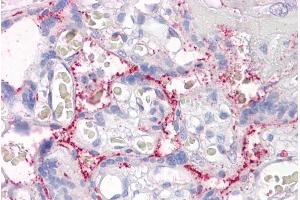
Der Ziege Polyklonal anti-RASIP1 Antikörper (ABIN185259) detektiert spezifisch RASIP1 in ELISA und IHC. Dieser Antikörper reagiert spezifisch mit Proben aus Human.
Produktnummer ABIN185259
488,25 €
Zzgl. Versandkosten 20,00 € und MwSt
100 μg
Lieferung nach: Deutschland
Lieferung in 5 bis 8 Werktagen

Kurzübersicht für RASIP1 Antikörper (C-Term) (ABIN185259)

Target

Alle RASIP1 Antikörper anzeigen
RASIP1 (Ras Interacting Protein 1 (RASIP1))

Reaktivität

  • 9
  • 1
  • 1
Human

Wirt

  • 7
  • 2
Ziege

Klonalität

  • 9
Polyklonal

Konjugat

  • 9
Dieser RASIP1 Antikörper ist unkonjugiert

Applikation

  • 9
  • 3
  • 2
  • 2
  • 2
  • 1
  • 1
ELISA, Immunohistochemistry (IHC)

Güteklasse

Verified
  • Bindungsspezifität

    • 2
    • 2
    • 1
    • 1
    C-Term

    Verwendungszweck

    RASIP1 / RAIN

    Sequenz

    CANYRHGPPV ATSP

    Kreuzreaktivität

    Human

    Aufreinigung

    Purified from goat serum by ammonium sulphate precipitation followed by antigen affinity chromatography using the immunizing peptide.

    Immunogen

    CANYRHGPPVATSP

    Isotyp

    IgG
  • Applikationshinweise

    Immunohistochemistry: Paraffin embedded Human Placenta. Recommended concentration: 3.75 μg/mL.

    Western Blot: Experiments gave bands at approx 95 kDa, 75 kDa and 45 kDa in A549 Lung Carcinoma lysate after 0.3 μg/mL antibody staining. Please note that currently we cannot find an explanation in the literature for the additional bands we observe given th

    Peptide ELISA: antibody detection limit dilution 1:8000.

    Beschränkungen

    Nur für Forschungszwecke einsetzbar
  • Format

    Liquid

    Konzentration

    0.5 mg/mL

    Buffer

    Supplied at 0.5 mg/mL in Tris saline, 0.02 % sodium azide, pH 7.3 with 0.5 % bovine serum albumin.

    Konservierungsmittel

    Sodium azide

    Vorsichtsmaßnahmen

    This product contains Sodium azide: a POISONOUS AND HAZARDOUS SUBSTANCE which should be handled by trained staff only.

    Handhabung

    Minimize freezing and thawing.

    Lagerung

    -20 °C

    Informationen zur Lagerung

    Aliquot and store at -20°C, with minimal freeze/thawing. A working aliquot may be refrigerated at 4°C for a few weeks and still remain viable.
  • Target

    RASIP1 (Ras Interacting Protein 1 (RASIP1))

    Andere Bezeichnung

    RASIP1

    Hintergrund

    RASIP1, Ras-interacting protein 1, RAIN, FLJ20401, Ras interacting protein 1

    Gen-ID

    54922

    NCBI Accession

    NP_060275
Sie sind hier:
Chat with us!