PIK3C2A Antikörper (C-Term)
Kurzübersicht für PIK3C2A Antikörper (C-Term) (ABIN185194)
Target
Alle PIK3C2A Antikörper anzeigenReaktivität
Wirt
Klonalität
Konjugat
Applikation
Güteklasse
-
-
Bindungsspezifität
- C-Term
-
Verwendungszweck
- PIK3C2A
-
Sequenz
- TVKWYQLTAA TYL
-
Kreuzreaktivität
- Hund, Human, Maus
-
Aufreinigung
- Purified from goat serum by ammonium sulphate precipitation followed by antigen affinity chromatography using the immunizing peptide.
-
Immunogen
- Peptide with sequence C-TVKWYQLTAATYL, from the C Terminus of the protein sequence according to NP_002636.2.
-
Isotyp
- IgG
-
-
-
-
Applikationshinweise
-
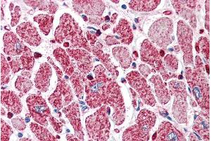
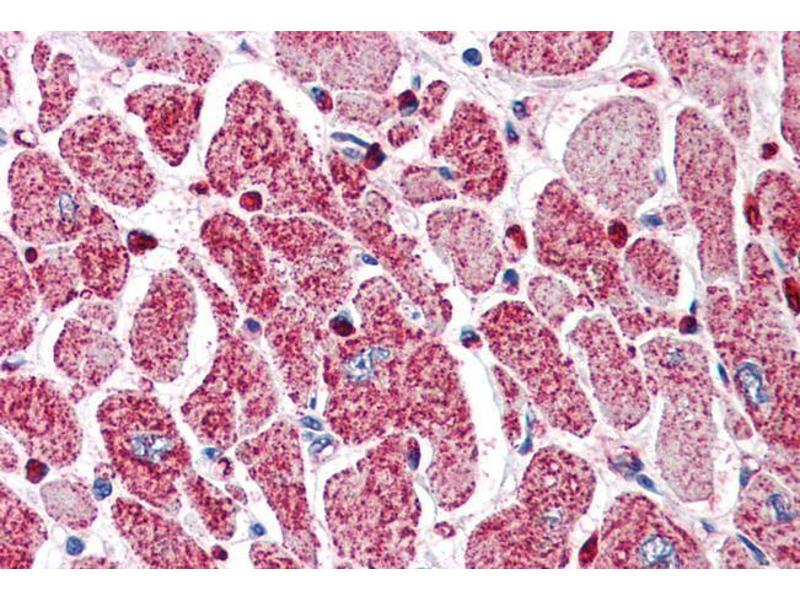
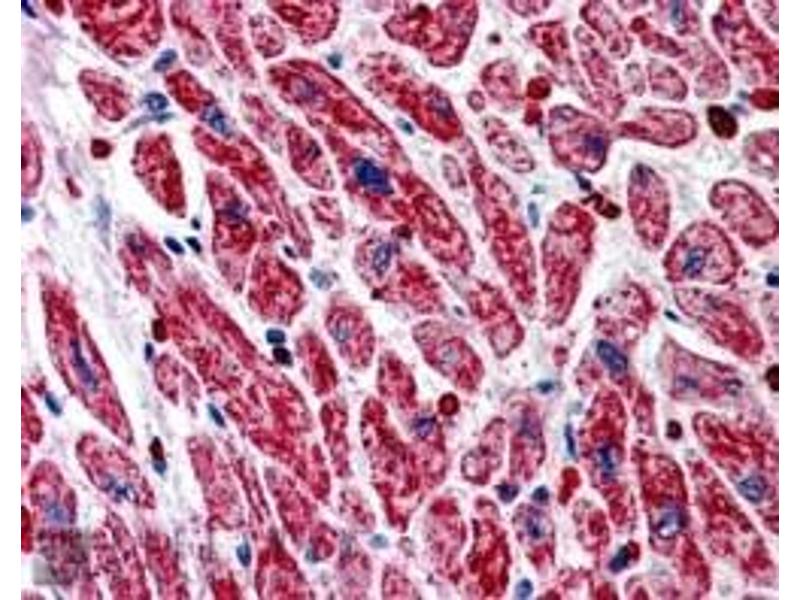
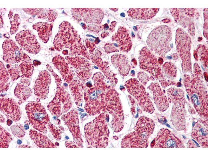
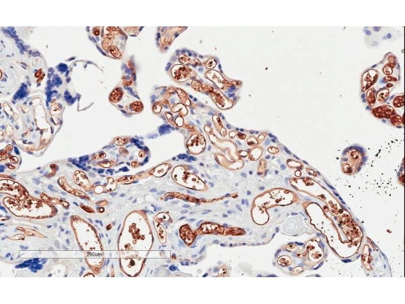
Immunohistochemistry: In paraffin embedded Human Placenta shows cytoplasm staining of cytotrophoblasts and mesenchymal cells. Recommended concentration: 2-4 μg/mL. Paraffin embedded Human Heart. Recommended concentration: 5 μg/mL.
Western Blot: Preliminary experiments gave no signal but low background in Human Testis and Molt-4 lysates at up to 1 μg/mL.
Peptide ELISA: antibody detection limit dilution 1:32000.
-
Beschränkungen
- Nur für Forschungszwecke einsetzbar
-
-
-
Format
- Liquid
-
Konzentration
- 0.5 mg/mL
-
Buffer
- Supplied at 0.5 mg/mL in Tris saline, 0.02 % sodium azide, pH 7.3 with 0.5 % bovine serum albumin.
-
Konservierungsmittel
- Sodium azide
-
Vorsichtsmaßnahmen
- This product contains Sodium azide: a POISONOUS AND HAZARDOUS SUBSTANCE which should be handled by trained staff only.
-
Handhabung
- Minimize freezing and thawing.
-
Lagerung
- -20 °C
-
Informationen zur Lagerung
- Aliquot and store at -20°C, with minimal freeze/thawing. A working aliquot may be refrigerated at 4°C for a few weeks and still remain viable.
-
-
- PIK3C2A (Phosphoinositide-3-Kinase, Class 2, alpha Polypeptide (PIK3C2A))
-
Andere Bezeichnung
- PIK3C2A
-
Hintergrund
- PIK3C2A, CPK, PI3-K-C2A, PI3K-C2alpha, PI3-K-C2(ALPHA), phosphoinositide-3-kinase, class 2, alpha polypeptide, C2-containing phosphatidylinositol kinase, DKFZp686L193, MGC142218,
-
Gen-ID
- 5286, 18704
-
NCBI Accession
- NP_002636
-
Pathways
- EGFR Signaling Pathway, Inositol Metabolic Process, Platelet-derived growth Factor Receptor Signaling
Target
-