Telefon:
+49 (0)241 95 163 153
Fax:
+49 (0)241 95 163 155
E-Mail:
orders@antikoerper-online.de

VPS28 Antikörper (C-Term)

Der Ziege Polyklonal anti-VPS28 Antikörper (ABIN185184) detektiert spezifisch VPS28 in WB, IHC und ELISA. Dieser Antikörper reagiert spezifisch mit Proben aus Human.
Produktnummer ABIN185184
488,25 €
Zzgl. Versandkosten 20,00 € und MwSt
100 μg
Lieferung nach: Deutschland
Lieferung in 5 bis 8 Werktagen

Kurzübersicht für VPS28 Antikörper (C-Term) (ABIN185184)

Target

Alle VPS28 Antikörper anzeigen
VPS28 (Vacuolar Protein Sorting 28 (VPS28))

Reaktivität

  • 37
  • 17
  • 17
  • 3
  • 2
  • 2
  • 2
  • 2
  • 2
  • 2
  • 1
  • 1
  • 1
Human

Wirt

  • 35
  • 1
  • 1
Ziege

Klonalität

  • 24
  • 13
Polyklonal

Konjugat

  • 14
  • 3
  • 2
  • 2
  • 2
  • 2
  • 2
  • 2
  • 2
  • 1
  • 1
  • 1
  • 1
  • 1
  • 1
Dieser VPS28 Antikörper ist unkonjugiert

Applikation

  • 21
  • 18
  • 16
  • 15
  • 14
  • 5
  • 2
  • 2
  • 2
  • 1
  • 1
Western Blotting (WB), Immunohistochemistry (IHC), ELISA

Güteklasse

Verified
  • Bindungsspezifität

    • 12
    • 2
    • 1
    C-Term

    Verwendungszweck

    VPS28

    Sequenz

    ESAYNAFNRF LHA

    Spezifität

    This antibody is expected to recognize isoform 1 (NP_057292.1) only.

    Kreuzreaktivität

    Hund, Human, Maus, Schwein, Ratte

    Aufreinigung

    Purified from goat serum by ammonium sulphate precipitation followed by antigen affinity chromatography using the immunizing peptide.

    Immunogen

    Peptide with sequence C-ESAYNAFNRFLHA, from the C Terminus of the protein sequence according to NP_057292.1.

    Isotyp

    IgG
  • Applikationshinweise

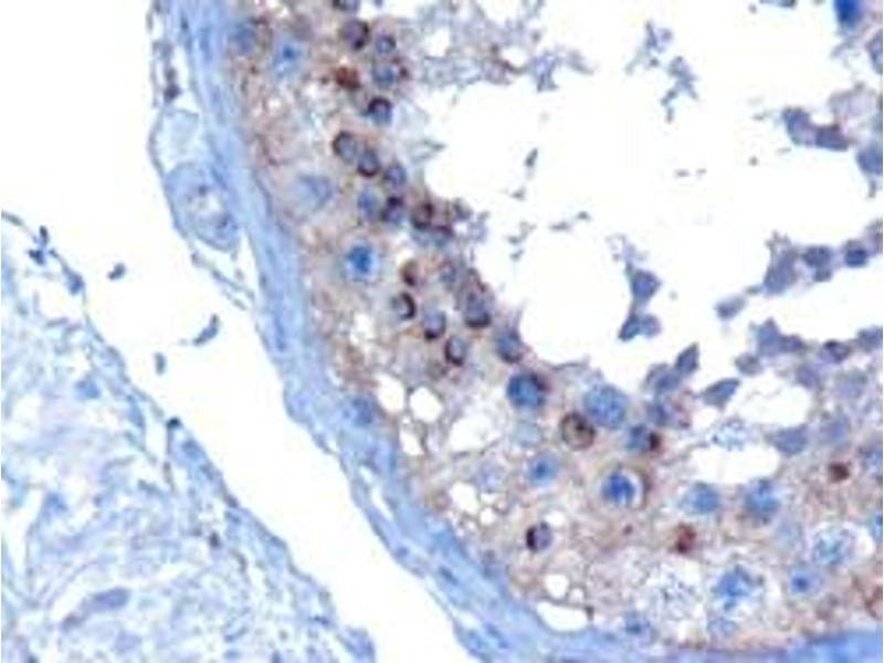
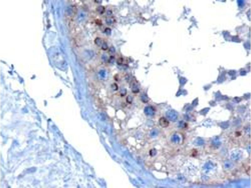
    Immunohistochemistry: In paraffin embedded Human Testis, stains acrosomal head caps in round spermatids. Recommended concentration: 10 μg/mL.

    Western Blot: Approx 24 kDa band observed in H460, Human Testis and Brain lysates (predicted MW of 25 kDa according to NP_057292.1). Recommended for use at 1-3 μg/mL.

    Peptide ELISA: antibody detection limit dilution 1:1000.

    Beschränkungen

    Nur für Forschungszwecke einsetzbar
  • Format

    Liquid

    Konzentration

    0.5 mg/mL

    Buffer

    Supplied at 0.5 mg/mL in Tris saline, 0.02 % sodium azide, pH 7.3 with 0.5 % bovine serum albumin.

    Konservierungsmittel

    Sodium azide

    Vorsichtsmaßnahmen

    This product contains Sodium azide: a POISONOUS AND HAZARDOUS SUBSTANCE which should be handled by trained staff only.

    Handhabung

    Minimize freezing and thawing.

    Lagerung

    -20 °C

    Informationen zur Lagerung

    Aliquot and store at -20°C, with minimal freeze/thawing. A working aliquot may be refrigerated at 4°C for a few weeks and still remain viable.
  • Target

    VPS28 (Vacuolar Protein Sorting 28 (VPS28))

    Andere Bezeichnung

    VPS28

    Hintergrund

    VPS28, vacuolar protein sorting 28 (yeast), vacuolar protein sorting 28 homolog (S. cerevisiae), MGC60323, vacuolar protein sorting 28, yeast class E protein Vps28p homolog

    Gen-ID

    51160, 66914

    NCBI Accession

    NP_057292
Sie sind hier:
Chat with us!