Telefon:
+49 (0)241 95 163 153
Fax:
+49 (0)241 95 163 155
E-Mail:
orders@antikoerper-online.de

Exportin 7 Antikörper (C-Term)

Dieser Ziege Polyklonal Antikörper detektiert spezifisch Exportin 7 in WB, ELISA und IHC. Es zeigt Reaktivität gegenüber Proben von Human.
Produktnummer ABIN185164
488,25 €
Zzgl. Versandkosten 20,00 € und MwSt
100 μg
Lieferung nach: Deutschland
Lieferung in 5 bis 8 Werktagen

Kurzübersicht für Exportin 7 Antikörper (C-Term) (ABIN185164)

Target

Alle Exportin 7 (XPO7) Antikörper anzeigen
Exportin 7 (XPO7)

Reaktivität

  • 12
  • 8
  • 5
  • 2
  • 2
  • 2
  • 2
  • 2
  • 2
  • 1
  • 1
  • 1
  • 1
  • 1
  • 1
Human

Wirt

  • 13
Ziege

Klonalität

  • 13
Polyklonal

Konjugat

  • 13
Dieser Exportin 7 Antikörper ist unkonjugiert

Applikation

  • 12
  • 4
  • 2
  • 1
  • 1
  • 1
  • 1
Western Blotting (WB), ELISA, Immunohistochemistry (IHC)

Güteklasse

Verified
  • Bindungsspezifität

    • 3
    • 1
    • 1
    • 1
    • 1
    C-Term

    Verwendungszweck

    RANBP16 / Exportin 7

    Sequenz

    NSTYGVNSND MMS

    Spezifität

    This antibody is expected to recognise all the reported isoforms (NP_001093631.1, NP_055839, NP_001093632.1).

    Kreuzreaktivität

    Rind (Kuh), Hund, Human, Maus, Schwein

    Aufreinigung

    Purified from goat serum by ammonium sulphate precipitation followed by antigen affinity chromatography using the immunizing peptide.

    Immunogen

    Peptide with sequence C-NSTYGVNSNDMMS, from the C Terminus of the protein sequence according to NP_001093631.1, NP_055839, NP_001093632.1.

    Isotyp

    IgG
  • Applikationshinweise

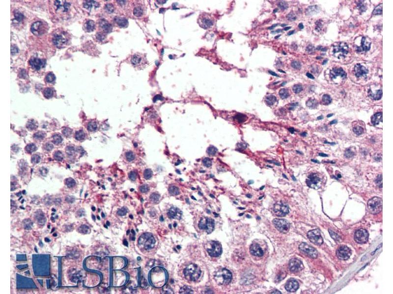
    Immunohistochemistry: Paraffin embedded Human Testis. Recommended concentration: 5 μg/mL.

    Western Blot: Approx 110 kDa band observed in Hela lysates (predicted size of approx. 124 kDa according to NP_055839). Recommended concentration: 0.5-1 μg/mL

    Peptide ELISA: antibody detection limit dilution 1:32000.

    Beschränkungen

    Nur für Forschungszwecke einsetzbar
  • Format

    Liquid

    Konzentration

    0.5 mg/mL

    Buffer

    Supplied at 0.5 mg/mL in Tris saline, 0.02 % sodium azide, pH 7.3 with 0.5 % bovine serum albumin.

    Konservierungsmittel

    Sodium azide

    Vorsichtsmaßnahmen

    This product contains Sodium azide: a POISONOUS AND HAZARDOUS SUBSTANCE which should be handled by trained staff only.

    Handhabung

    Minimize freezing and thawing.

    Lagerung

    -20 °C

    Informationen zur Lagerung

    Aliquot and store at -20°C, with minimal freeze/thawing. A working aliquot may be refrigerated at 4°C for a few weeks and still remain viable.
  • Target

    Exportin 7 (XPO7)

    Andere Bezeichnung

    XPO7

    Hintergrund

    XPO7, Exportin 7, RANBP16, KIAA0745, RAN binding protein 16

    Gen-ID

    23039, 65246

    NCBI Accession

    NP_001093631, NP_055839, NP_001093632
Sie sind hier:
Chat with us!