Telefon:
+49 (0)241 95 163 153
Fax:
+49 (0)241 95 163 155
E-Mail:
orders@antikoerper-online.de

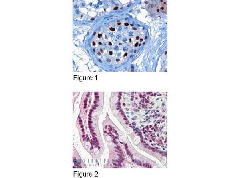
KPNA4 Antikörper (C-Term)

Zitiert in 1 Publikation. Der Ziege Polyklonal anti-KPNA4 Antikörper (ABIN185160) detektiert spezifisch KPNA4 in WB und ELISA. Dieser Antikörper reagiert spezifisch mit Proben aus Human, Maus und Ratte.
Produktnummer ABIN185160
488,25 €
Zzgl. Versandkosten 20,00 € und MwSt
100 μg
Lieferung nach: Deutschland
Lieferung in 5 bis 8 Werktagen

Kurzübersicht für KPNA4 Antikörper (C-Term) (ABIN185160)

Target

Alle KPNA4 Antikörper anzeigen
KPNA4 (Karyopherin (Importin) alpha 4 (KPNA4))

Reaktivität

  • 41
  • 36
  • 14
  • 5
  • 4
  • 4
  • 4
  • 4
  • 1
  • 1
  • 1
Human, Maus, Ratte

Wirt

  • 51
  • 1
Ziege

Klonalität

  • 51
  • 1
Polyklonal

Konjugat

  • 22
  • 4
  • 4
  • 3
  • 1
  • 1
  • 1
  • 1
  • 1
  • 1
  • 1
  • 1
  • 1
  • 1
  • 1
  • 1
  • 1
  • 1
  • 1
  • 1
  • 1
  • 1
  • 1
Dieser KPNA4 Antikörper ist unkonjugiert

Applikation

  • 39
  • 19
  • 14
  • 13
  • 11
  • 9
  • 7
  • 4
  • 3
  • 2
  • 2
  • 1
  • 1
  • 1
Western Blotting (WB), ELISA

Güteklasse

Verified
  • Bindungsspezifität

    • 15
    • 7
    • 6
    • 6
    • 4
    • 2
    • 1
    • 1
    • 1
    • 1
    • 1
    • 1
    C-Term

    Verwendungszweck

    KPNA4 / IPOA3

    Sequenz

    NSSANVPTEG FQF

    Kreuzreaktivität

    Rind (Kuh), Hund, Human, Maus, Ratte

    Aufreinigung

    Purified from goat serum by ammonium sulphate precipitation followed by antigen affinity chromatography using the immunizing peptide.

    Immunogen

    Peptide with sequence C-NSSANVPTEGFQF, from the C Terminus of the protein sequence according to NP_002259.1.

    Isotyp

    IgG
  • Applikationshinweise

    Western Blot: Approx 55 kDa band observed in Human and Mouse Ovary and in Mouse Testis lysates, and approx 60 kDa in Rat Testis lysates (calculated MW of 57.9 kDa according to Human NP_002259.1, Mouse NP_032493.1 and Rat NP_001014793.1). Recommended conce

    Peptide ELISA: antibody detection limit dilution 1:128000.

    Beschränkungen

    Nur für Forschungszwecke einsetzbar
  • Format

    Liquid

    Konzentration

    0.5 mg/mL

    Buffer

    Supplied at 0.5 mg/mL in Tris saline, 0.02 % sodium azide, pH 7.3 with 0.5 % bovine serum albumin.

    Konservierungsmittel

    Sodium azide

    Vorsichtsmaßnahmen

    This product contains Sodium azide: a POISONOUS AND HAZARDOUS SUBSTANCE which should be handled by trained staff only.

    Handhabung

    Minimize freezing and thawing.

    Lagerung

    -20 °C

    Informationen zur Lagerung

    Aliquot and store at -20°C, with minimal freeze/thawing. A working aliquot may be refrigerated at 4°C for a few weeks and still remain viable.
  • Huenniger, Krämer, Soom, Chang, Köhler, Depping, Kehlenbach, Kaether: "Notch1 signaling is mediated by importins alpha 3, 4, and 7." in: Cellular and molecular life sciences : CMLS, Vol. 67, Issue 18, pp. 3187-96, (2010) (PubMed).

  • Target

    KPNA4 (Karyopherin (Importin) alpha 4 (KPNA4))

    Andere Bezeichnung

    KPNA4

    Hintergrund

    KPNA4, IPOA3, QIP1, SRP3, MGC12217, MGC26703, karyopherin alpha 4 (importin alpha 3), importin alpha 3, importin-alpha-Q1, karyopherin alpha 4

    Gen-ID

    3840

    NCBI Accession

    NP_002259

    Pathways

    Protein targeting to Nucleus
Sie sind hier:
Chat with us!