Telefon:
+49 (0)241 95 163 153
Fax:
+49 (0)241 95 163 155
E-Mail:
orders@antikoerper-online.de

CCDC102B Antikörper (Internal Region)

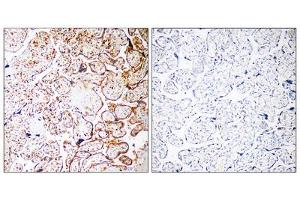
Dieser Kaninchen Polyklonal Antikörper detektiert spezifisch CCDC102B in WB, IHC und ELISA. Es zeigt Reaktivität gegenüber Proben von Human.
Produktnummer ABIN1851142
453,66 €
Zzgl. Versandkosten 20,00 € und MwSt
Lieferung nach: Deutschland
Lieferung in 7 bis 13 Werktagen

Kurzübersicht für CCDC102B Antikörper (Internal Region) (ABIN1851142)

Target

Alle CCDC102B Antikörper anzeigen
CCDC102B (Coiled-Coil Domain Containing 102B (CCDC102B))

Reaktivität

  • 19
  • 3
  • 2
  • 2
  • 2
  • 2
  • 2
  • 2
  • 1
  • 1
  • 1
Human

Wirt

  • 19
Kaninchen

Klonalität

  • 19
Polyklonal

Konjugat

  • 12
  • 1
  • 1
  • 1
  • 1
  • 1
  • 1
  • 1
Dieser CCDC102B Antikörper ist unkonjugiert

Applikation

  • 12
  • 7
  • 7
  • 1
  • 1
  • 1
Western Blotting (WB), Immunohistochemistry (IHC), ELISA
Sie sind hier:
Chat with us!