×
Aktivieren Sie Javascript in Ihrem Browser, um unsere Webseite optimal zu nutzen.
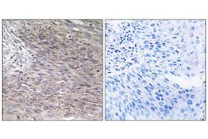
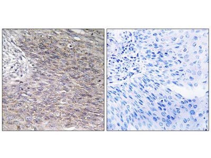
CHPF Antikörper (C-Term)
Der Kaninchen Polyklonal anti-CHPF Antikörper (ABIN1851108) detektiert spezifisch CHPF in WB, IHC, ELISA und IF/ICC.
Dieser Antikörper reagiert spezifisch mit Proben aus Human, Maus und Ratte.
Produktnummer ABIN1851108
453,66 €
Zzgl. Versandkosten 20,00 € und MwSt
1 mL ABIN5977530
100 μL ABIN1851108
200 μL ABIN1851109
300 μL ABIN6300431
1 mL ABIN5977530
100 μL ABIN1851108
200 μL ABIN1851109
300 μL ABIN6300431
Lieferung in 7 bis 13 Werktagen
Kurzübersicht für CHPF Antikörper (C-Term) (ABIN1851108)
Target
Alle CHPF Antikörper anzeigen
CHPF
(Chondroitin Polymerizing Factor (CHPF))
Reaktivität
Alle Reaktivitäten für CHPF Antikörper
Human, Maus, Ratte
Wirt
Alle Wirte für CHPF Antikörper
Kaninchen
Klonalität
Alle Klonalitäten für CHPF Antikörper
Polyklonal
Konjugat
Alle Konjugate für CHPF Antikörper
Dieser CHPF Antikörper ist unkonjugiert
Applikation
Alle Applikationen für CHPF Antikörper
Western Blotting (WB), Immunohistochemistry (IHC), ELISA, Immunofluorescence (fixed cells) (IF/ICC)
Produktdetails anti-CHPF Antikörper
(ausblenden)
Bindungsspezifität
Alle Epitope für CHPF Antikörper
C-Term
Spezifität
Rabbit polyclonal antibody against CHSY2 protein.
Aufreinigung
The antibody was affinity-purified from rabbit antiserum by affinity-chromatography using epitope-specific immunogen
Immunogen
The antiserum was produced against synthesized peptide derived from C-terminal of human CHSS2.
Alternativen
(anzeigen)
Anwendungsinformationen
(ausblenden)
Beschränkungen
Nur für Forschungszwecke einsetzbar
Handhabung
(ausblenden)
Lagerung
-20 °C
Informationen zur Lagerung
Aliquot and store at -20 °C. Avoid repeated freeze/thaw cycles.
Details zu CHPF
(ausblenden)
Target
CHPF
(Chondroitin Polymerizing Factor (CHPF))
Andere Bezeichnung
CHSY2
UniProt
Q8IZ52
Pathways
Glycosaminoglycan Metabolic Process , SARS-CoV-2 Protein Interaktom
Zuletzt angesehen
(ausblenden)
Sie sind hier:
Startseite
anti-CHPF Antikörper (C-Term) (ABIN1851108)
Chat with us , powered by LiveChat