×
Aktivieren Sie Javascript in Ihrem Browser, um unsere Webseite optimal zu nutzen.
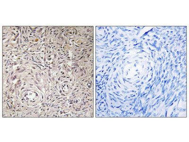
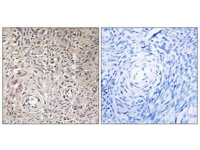
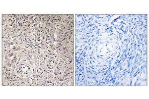
GCNT7 Antikörper (C-Term)
Der Kaninchen Polyklonal anti-GCNT7 Antikörper wird verwendet zum Nachweis von GCNT7 in Proben von Human. Er wurde validiert für WB, ELISA, IHC und IF/ICC.
Produktnummer ABIN1850894
453,66 €
Zzgl. Versandkosten 20,00 € und MwSt
1 mL ABIN5977432
100 μL ABIN1850894
200 μL ABIN1850895
300 μL ABIN6300332
1 mL ABIN5977432
100 μL ABIN1850894
200 μL ABIN1850895
300 μL ABIN6300332
Lieferung in 7 bis 13 Werktagen
Kurzübersicht für GCNT7 Antikörper (C-Term) (ABIN1850894)
Target
Alle GCNT7 Antikörper anzeigen
GCNT7
(Glucosaminyl (N-Acetyl) Transferase Family Member 7 (GCNT7))
Reaktivität
Alle Reaktivitäten für GCNT7 Antikörper
Human
Wirt
Alle Wirte für GCNT7 Antikörper
Kaninchen
Klonalität
Alle Klonalitäten für GCNT7 Antikörper
Polyklonal
Konjugat
Alle Konjugate für GCNT7 Antikörper
Dieser GCNT7 Antikörper ist unkonjugiert
Applikation
Alle Applikationen für GCNT7 Antikörper
Western Blotting (WB), ELISA, Immunohistochemistry (IHC), Immunofluorescence (fixed cells) (IF/ICC)
Produktdetails anti-GCNT7 Antikörper
(ausblenden)
Bindungsspezifität
Alle Epitope für GCNT7 Antikörper
C-Term
Spezifität
Rabbit polyclonal antibody against GCNT7 protein.
Aufreinigung
The antibody was affinity-purified from rabbit antiserum by affinity-chromatography using epitope-specific immunogen
Immunogen
The antiserum was produced against synthesized peptide derived from C-terminal of human GCNT7.
Alternativen
(anzeigen)
Anwendungsinformationen
(ausblenden)
Beschränkungen
Nur für Forschungszwecke einsetzbar
Handhabung
(ausblenden)
Lagerung
-20 °C
Informationen zur Lagerung
Aliquot and store at -20 °C. Avoid repeated freeze/thaw cycles.
Details zu GCNT7
(ausblenden)
Target
GCNT7
(Glucosaminyl (N-Acetyl) Transferase Family Member 7 (GCNT7))
Andere Bezeichnung
GCNT7
UniProt
Q6ZNI0
Zuletzt angesehen
(ausblenden)
Sie sind hier:
Startseite
anti-GCNT7 Antikörper (C-Term) (ABIN1850894)
Chat with us , powered by LiveChat