Telefon:
+49 (0)241 95 163 153
Fax:
+49 (0)241 95 163 155
E-Mail:
orders@antikoerper-online.de

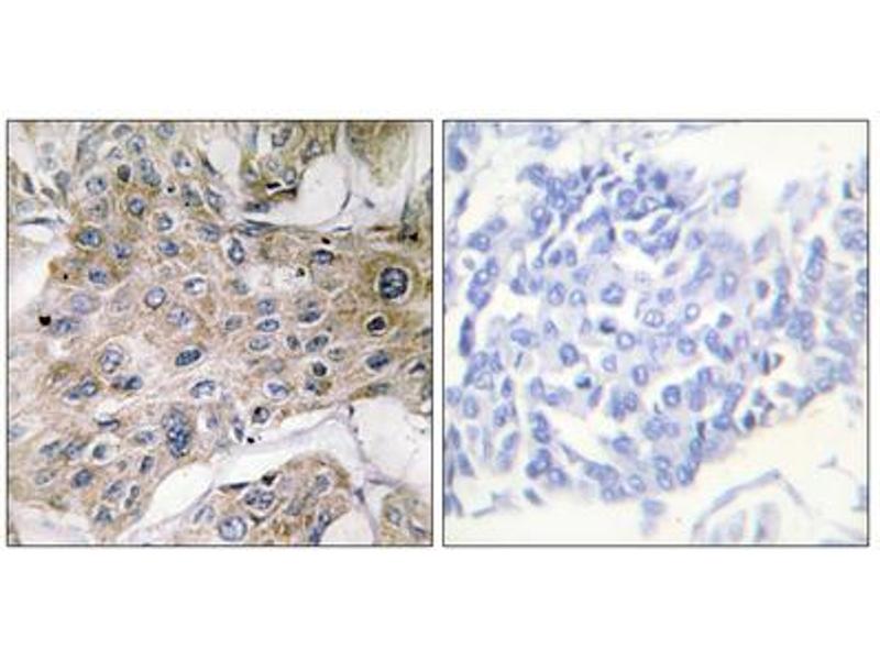
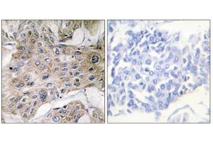
COX7S/A2 (N-Term) Antikörper

Der Kaninchen Polyklonal anti-COX7S/A2 Antikörper wird verwendet zum Nachweis von COX7S/A2 in Proben von Human, Maus und Ratte. Er wurde validiert für IHC, ELISA und WB.
Produktnummer ABIN1850330
453,66 €
Zzgl. Versandkosten 20,00 € und MwSt
Lieferung nach: Deutschland
Lieferung in 7 bis 13 Werktagen

Kurzübersicht für COX7S/A2 (N-Term) Antikörper (ABIN1850330)

Target

COX7S/A2

Reaktivität

Human, Maus, Ratte

Wirt

  • 8
Kaninchen

Klonalität

  • 8
Polyklonal

Konjugat

  • 1
  • 1
  • 1
  • 1
  • 1
  • 1
  • 1
  • 1
Unkonjugiert

Applikation

Immunohistochemistry (IHC), ELISA, Western Blotting (WB)
  • Bindungsspezifität

    N-Term

    Spezifität

    Rabbit polyclonal antibody against COX7S/A2 protein.

    Aufreinigung

    The antibody was affinity-purified from rabbit antiserum by affinity-chromatography using epitope-specific immunogen

    Immunogen

    The antiserum was produced against synthesized peptide derived from N-terminal of human COX7S/A2.
  • Beschränkungen

    Nur für Forschungszwecke einsetzbar
  • Lagerung

    -20 °C

    Informationen zur Lagerung

    Aliquot and store at -20 °C. Avoid repeated freeze/thaw cycles.
  • Target

    COX7S/A2

    UniProt

    O60397, P14406
Sie sind hier:
Chat with us!