×
Aktivieren Sie Javascript in Ihrem Browser, um unsere Webseite optimal zu nutzen.
HCCS Antikörper (Internal Region)
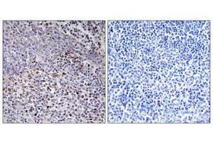
Der Kaninchen Polyklonal anti-HCCS Antikörper (ABIN1850244) detektiert spezifisch HCCS in WB, IHC, ELISA und IF/ICC.
Dieser Antikörper reagiert spezifisch mit Proben aus Human und Maus.
Produktnummer ABIN1850244
453,66 €
Zzgl. Versandkosten 20,00 € und MwSt
1 mL ABIN5977175
100 μL ABIN1850244
200 μL ABIN1850245
300 μL ABIN6300069
1 mL ABIN5977175
100 μL ABIN1850244
200 μL ABIN1850245
300 μL ABIN6300069
Lieferung in 7 bis 13 Werktagen
Kurzübersicht für HCCS Antikörper (Internal Region) (ABIN1850244)
Target
Alle HCCS Antikörper anzeigen
HCCS
(Holocytochrome C Synthase (HCCS))
Reaktivität
Alle Reaktivitäten für HCCS Antikörper
Human, Maus
Wirt
Alle Wirte für HCCS Antikörper
Kaninchen
Klonalität
Alle Klonalitäten für HCCS Antikörper
Polyklonal
Konjugat
Alle Konjugate für HCCS Antikörper
Dieser HCCS Antikörper ist unkonjugiert
Applikation
Alle Applikationen für HCCS Antikörper
Western Blotting (WB), Immunohistochemistry (IHC), ELISA, Immunofluorescence (fixed cells) (IF/ICC)
Produktdetails anti-HCCS Antikörper
(ausblenden)
Bindungsspezifität
Alle Epitope für HCCS Antikörper
Internal Region
Spezifität
Rabbit polyclonal antibody against Cytochrome c-type Heme Lyase protein.
Aufreinigung
The antibody was affinity-purified from rabbit antiserum by affinity-chromatography using epitope-specific immunogen
Immunogen
The antiserum was produced against synthesized peptide derived from internal of human CCHL.
Alternativen
(anzeigen)
Anwendungsinformationen
(ausblenden)
Beschränkungen
Nur für Forschungszwecke einsetzbar
Handhabung
(ausblenden)
Lagerung
-20 °C
Informationen zur Lagerung
Aliquot and store at -20 °C. Avoid repeated freeze/thaw cycles.
Details zu HCCS
(ausblenden)
Target
HCCS
(Holocytochrome C Synthase (HCCS))
Andere Bezeichnung
Cytochrome c-type Heme Lyase
UniProt
P53701
Zuletzt angesehen
(ausblenden)
Sie sind hier:
Startseite
anti-HCCS Antikörper (Internal Region) (ABIN1850244)
Chat with us , powered by LiveChat