Telefon:
+49 (0)241 95 163 153
Fax:
+49 (0)241 95 163 155
E-Mail:
orders@antikoerper-online.de

TRIM2 Antikörper (C-Term)

Der Ziege Polyklonal anti-TRIM2 Antikörper (ABIN184974) detektiert spezifisch TRIM2 in WB, ELISA, FACS und IHC. Dieser Antikörper reagiert spezifisch mit Proben aus Human und Ratte.
Produktnummer ABIN184974
488,25 €
Zzgl. Versandkosten 20,00 € und MwSt
100 μg
Lieferung nach: Deutschland
Lieferung in 5 bis 8 Werktagen

Kurzübersicht für TRIM2 Antikörper (C-Term) (ABIN184974)

Target

Alle TRIM2 Antikörper anzeigen
TRIM2 (Tripartite Motif Containing 2 (TRIM2))

Reaktivität

  • 25
  • 4
  • 4
Human, Ratte

Wirt

  • 18
  • 7
  • 1
Ziege

Klonalität

  • 19
  • 7
Polyklonal

Konjugat

  • 18
  • 2
  • 2
  • 2
  • 1
  • 1
Dieser TRIM2 Antikörper ist unkonjugiert

Applikation

  • 22
  • 15
  • 5
  • 3
  • 2
Western Blotting (WB), ELISA, Flow Cytometry (FACS), Immunohistochemistry (IHC)

Güteklasse

Verified
  • Bindungsspezifität

    • 8
    • 7
    • 4
    • 3
    • 3
    • 1
    • 1
    • 1
    • 1
    • 1
    C-Term

    Verwendungszweck

    TRIM2

    Sequenz

    DSGNHCFKVY RYLQ

    Spezifität

    Cross-reactivity with TRIM3 has been demonstrated in Mouse.

    Kreuzreaktivität

    Rind (Kuh), Hund, Human, Maus, Ratte

    Aufreinigung

    Purified from goat serum by ammonium sulphate precipitation followed by antigen affinity chromatography using the immunizing peptide.

    Immunogen

    Peptide with sequence DSGNHCFKVYRYLQ, from the C Terminus of the protein sequence according to NP_056086.2, NP_001123539.1.

    Isotyp

    IgG
  • Applikationshinweise

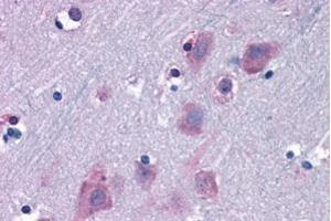
    Immunohistochemistry: In paraffin embedded Human Brain (Cortex) shows cytoplasm stainning in neuronal cell bodies. Recommended concentration: 6-12 μg/mL.

    Western Blot: Approx 75-85 kDa band observed in Rat Brain lysates (calculated MW of 83.3 according to Rat NP_001102022.1). An additional band of unknown identity was also consistently observed at 30 kDa. This band was successfully blocked by incubation wi

    Peptide ELISA: antibody detection limit dilution 1:16000.

    Kommentare

    Flow Cytometry: Flow cytometric analysis of Jurkat cells. Recommended concentration: 10ug/ml.

    Beschränkungen

    Nur für Forschungszwecke einsetzbar
  • Format

    Liquid

    Konzentration

    0.5 mg/mL

    Buffer

    Supplied at 0.5 mg/mL in Tris saline, 0.02 % sodium azide, pH 7.3 with 0.5 % bovine serum albumin.

    Konservierungsmittel

    Sodium azide

    Vorsichtsmaßnahmen

    This product contains Sodium azide: a POISONOUS AND HAZARDOUS SUBSTANCE which should be handled by trained staff only.

    Handhabung

    Minimize freezing and thawing.

    Lagerung

    -20 °C

    Informationen zur Lagerung

    Aliquot and store at -20°C, with minimal freeze/thawing. A working aliquot may be refrigerated at 4°C for a few weeks and still remain viable.
  • Target

    TRIM2 (Tripartite Motif Containing 2 (TRIM2))

    Andere Bezeichnung

    TRIM2

    Hintergrund

    TRIM2, tripartite motif-containing 2, KIAA0517, tripartite motif protein 2, tripartite motif protein TRIM2, RNF86, tripartite motif protein TRIM2

    Gen-ID

    23321, 80890

    NCBI Accession

    NP_056086, NP_001123539, NP_001337983, NP_001337984, NP_001337986
Sie sind hier:
Chat with us!