Telefon:
+49 (0)241 95 163 153
Fax:
+49 (0)241 95 163 155
E-Mail:
orders@antikoerper-online.de

HMG20A Antikörper (C-Term)

Zitiert in 1 Publikation. Der Ziege Polyklonal anti-HMG20A Antikörper (ABIN184818) detektiert spezifisch HMG20A in WB, IHC und ELISA. Dieser Antikörper reagiert spezifisch mit Proben aus Human und Ratte.
Produktnummer ABIN184818
488,25 €
Zzgl. Versandkosten 20,00 € und MwSt
100 μg
Lieferung nach: Deutschland
Lieferung in 5 bis 8 Werktagen

Kurzübersicht für HMG20A Antikörper (C-Term) (ABIN184818)

Target

Alle HMG20A Antikörper anzeigen
HMG20A (High-Mobility Group 20A (HMG20A))

Reaktivität

  • 22
  • 11
  • 10
  • 7
  • 7
  • 6
  • 5
  • 5
  • 4
  • 3
  • 2
  • 2
Human, Ratte

Wirt

  • 16
  • 6
Ziege

Klonalität

  • 17
  • 5
Polyklonal

Konjugat

  • 22
Dieser HMG20A Antikörper ist unkonjugiert

Applikation

  • 20
  • 7
  • 7
  • 5
  • 4
  • 1
Western Blotting (WB), Immunohistochemistry (IHC), ELISA

Güteklasse

Verified
  • Bindungsspezifität

    • 4
    • 3
    • 2
    • 1
    • 1
    • 1
    • 1
    • 1
    C-Term

    Verwendungszweck

    HMG20A

    Sequenz

    ATVREVVNRL DR

    Kreuzreaktivität

    Rind (Kuh), Hund, Human, Maus, Schwein, Ratte

    Aufreinigung

    Purified from goat serum by ammonium sulphate precipitation followed by antigen affinity chromatography using the immunizing peptide.

    Immunogen

    Peptide with sequence C-ATVREVVNRLDR, from the C Terminus of the protein sequence according to NP_060670.1.

    Isotyp

    IgG
  • Applikationshinweise

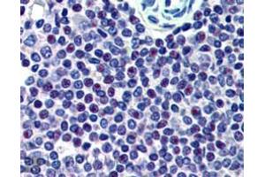
    Immunohistochemistry: In paraffin embedded Human Spleen shows staining of nucleoli. Recommended concentration: 1-2 μg/mL.

    Western Blot: This antibody has been successfully used in Rat Brain as described in the following paper: Artegiani et al, J Biol Chem. 2010 Aug 6,285(32):24740-50., PMID: 20530487.

    Peptide ELISA: antibody detection limit dilution 1:32000.

    Kommentare

    Additional validation: This antibody has been successfully used in the following paper: Sikorski et al. (2018) PMID: 30377371.

    Beschränkungen

    Nur für Forschungszwecke einsetzbar
  • Format

    Liquid

    Konzentration

    0.5 mg/mL

    Buffer

    Supplied at 0.5 mg/mL in Tris saline, 0.02 % sodium azide, pH 7.3 with 0.5 % bovine serum albumin.

    Konservierungsmittel

    Sodium azide

    Vorsichtsmaßnahmen

    This product contains Sodium azide: a POISONOUS AND HAZARDOUS SUBSTANCE which should be handled by trained staff only.

    Handhabung

    Minimize freezing and thawing.

    Lagerung

    -20 °C

    Informationen zur Lagerung

    Aliquot and store at -20°C, with minimal freeze/thawing. A working aliquot may be refrigerated at 4°C for a few weeks and still remain viable.
  • Artegiani, Labbaye, Sferra, Quaranta, Torreri, Macchia, Ceccarini, Petrucci, Macioce: "The interaction with HMG20a/b proteins suggests a potential role for beta-dystrobrevin in neuronal differentiation." in: The Journal of biological chemistry, Vol. 285, Issue 32, pp. 24740-50, (2010) (PubMed).

  • Target

    HMG20A (High-Mobility Group 20A (HMG20A))

    Andere Bezeichnung

    HMG20A

    Hintergrund

    HMG20A, high-mobility group 20A, FLJ10739, HMGX1, HMGXB1, HMG box domain containing 1

    Gen-ID

    10363, 66867

    NCBI Accession

    NP_060670
Sie sind hier:
Chat with us!