Telefon:
+49 (0)241 95 163 153
Fax:
+49 (0)241 95 163 155
E-Mail:
orders@antikoerper-online.de

DCXR Antikörper (C-Term)

Dieser Ziege Polyklonal Antikörper detektiert spezifisch DCXR in WB, IHC und ELISA. Es zeigt Reaktivität gegenüber Proben von Human.
Produktnummer ABIN184786
488,25 €
Zzgl. Versandkosten 20,00 € und MwSt
100 μg
Lieferung nach: Deutschland
Lieferung in 5 bis 8 Werktagen

Kurzübersicht für DCXR Antikörper (C-Term) (ABIN184786)

Target

Alle DCXR Antikörper anzeigen
DCXR (Dicarbonyl/L-Xylulose Reductase (DCXR))

Reaktivität

  • 30
  • 15
  • 4
  • 2
  • 2
  • 2
  • 2
  • 1
  • 1
  • 1
Human

Wirt

  • 22
  • 8
Ziege

Klonalität

  • 24
  • 6
Polyklonal

Konjugat

  • 23
  • 1
  • 1
  • 1
  • 1
  • 1
  • 1
  • 1
Dieser DCXR Antikörper ist unkonjugiert

Applikation

  • 23
  • 11
  • 7
  • 7
  • 5
  • 2
  • 1
  • 1
  • 1
Western Blotting (WB), Immunohistochemistry (IHC), ELISA

Güteklasse

Verified
  • Bindungsspezifität

    • 5
    • 3
    • 2
    • 2
    • 1
    • 1
    • 1
    • 1
    • 1
    C-Term

    Verwendungszweck

    Dicarbonyl Reductase

    Sequenz

    GSTLPVEGGF WAC

    Kreuzreaktivität

    Human

    Aufreinigung

    Purified from goat serum by ammonium sulphate precipitation followed by antigen affinity chromatography using the immunizing peptide.

    Immunogen

    GSTLPVEGGFWAC

    Isotyp

    IgG
  • Applikationshinweise

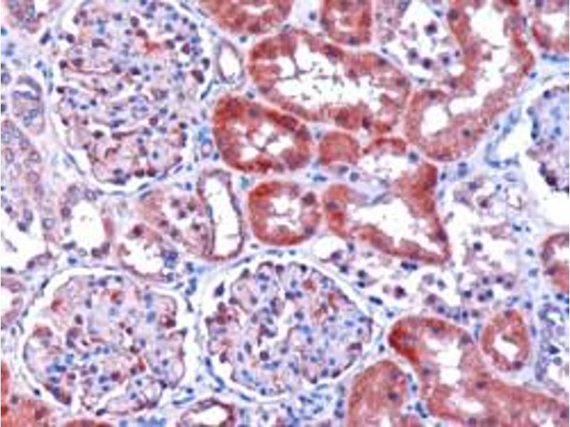
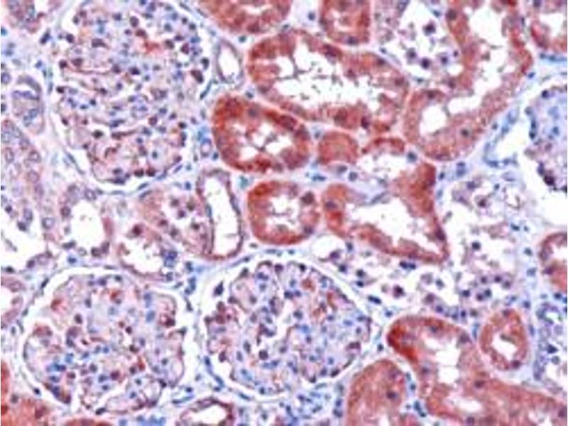
    Immunohistochemistry: In paraffin embedded human kidney, stains membrane / cytoplasm in epithelial cells of renal glomeruli and tubules. Recommended concentration, 1-2 μg/mL.

    Western Blot: Approx 26 kDa band observed in human kidney, liver and testes lysates (calculated MW of 25.9 kDa according to NP_057370.1). Recommended for use at 0.1-0.3 μg/mL.

    Peptide ELISA: antibody detection limit dilution 1:32000.

    Beschränkungen

    Nur für Forschungszwecke einsetzbar
  • Format

    Liquid

    Konzentration

    0.5 mg/mL

    Buffer

    Supplied at 0.5 mg/mL in Tris saline, 0.02 % sodium azide, pH 7.3 with 0.5 % bovine serum albumin.

    Konservierungsmittel

    Sodium azide

    Vorsichtsmaßnahmen

    This product contains Sodium azide: a POISONOUS AND HAZARDOUS SUBSTANCE which should be handled by trained staff only.

    Handhabung

    Minimize freezing and thawing.

    Lagerung

    -20 °C

    Informationen zur Lagerung

    Aliquot and store at -20°C, with minimal freeze/thawing. A working aliquot may be refrigerated at 4°C for a few weeks and still remain viable.
  • Target

    DCXR (Dicarbonyl/L-Xylulose Reductase (DCXR))

    Andere Bezeichnung

    DCXR

    Hintergrund

    DCXR, dicarbonyl/L-xylulose reductase, DCR, HCRII, KIDCR, P34H, carbonyl reductase, carbonyl reductase II, kidney dicarbonyl reductase, HCR2, SDR20C1, human carbonyl reductase 2, kidney dicarbonyl reductase, short chain dehydrogenase/reductase family 20C

    Gen-ID

    51181

    NCBI Accession

    NP_057370

    Pathways

    Glycosaminoglycan Metabolic Process, Monocarboxylic Acid Catabolic Process
Sie sind hier:
Chat with us!