Telefon:
+49 (0)241 95 163 153
Fax:
+49 (0)241 95 163 155
E-Mail:
orders@antikoerper-online.de

DAP3 Antikörper (C-Term)

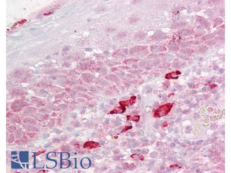
Der Ziege Polyklonal anti-DAP3 Antikörper (ABIN184743) detektiert spezifisch DAP3 in WB, ELISA, IHC und IF. Dieser Antikörper reagiert spezifisch mit Proben aus Human.
Produktnummer ABIN184743
488,25 €
Zzgl. Versandkosten 20,00 € und MwSt
100 μg
Lieferung nach: Deutschland
Lieferung in 5 bis 8 Werktagen

Kurzübersicht für DAP3 Antikörper (C-Term) (ABIN184743)

Target

Alle DAP3 Antikörper anzeigen
DAP3 (Death-Associated Protein 3 (DAP3))

Reaktivität

  • 37
  • 9
  • 5
  • 2
  • 1
  • 1
  • 1
  • 1
  • 1
Human

Wirt

  • 35
  • 4
Ziege

Klonalität

  • 34
  • 4
Polyklonal

Konjugat

  • 18
  • 1
  • 1
  • 1
  • 1
  • 1
  • 1
  • 1
  • 1
  • 1
  • 1
  • 1
  • 1
  • 1
  • 1
  • 1
  • 1
  • 1
  • 1
  • 1
  • 1
  • 1
Dieser DAP3 Antikörper ist unkonjugiert

Applikation

  • 33
  • 13
  • 13
  • 8
  • 6
  • 6
  • 3
  • 2
  • 1
Western Blotting (WB), ELISA, Immunohistochemistry (IHC), Immunofluorescence (IF)

Güteklasse

Verified
  • Bindungsspezifität

    • 15
    • 3
    • 2
    • 2
    • 1
    • 1
    • 1
    • 1
    • 1
    • 1
    • 1
    C-Term

    Verwendungszweck

    DAP3

    Sequenz

    NPSLLERHCA YL

    Spezifität

    This antibody is expected to recognise isoform 1 (NP_387506.1), isoform 2 (NP_001186779.1) and isoform 3 (NP_001186780.1). Reported variants represent identical protein (NP_387506.1, NP_004623.1, NP_001186778.1).

    Kreuzreaktivität

    Human

    Aufreinigung

    Purified from goat serum by ammonium sulphate precipitation followed by antigen affinity chromatography using the immunizing peptide.

    Immunogen

    Peptide with sequence NPSLLERHCAYL, from the C Terminus of the protein sequence according to NP_387506.1, NP_001186779.1, NP_001186780.1.

    Isotyp

    IgG
  • Applikationshinweise

    Immunohistochemistry: Paraffin embedded Human Kidney. Recommended concentration: 5 μg/mL.

    Western Blot: Approx 40 kDa band observed in lysates of cell lines HeLa and HepG2 and in Human Kidney lysates (calculated MW of 41 kDa according to NP_001186779.1 and NP_001186780). Recommended concentration: 0.1-1 μg/mL. Primary incubated 1 hour at room

    Peptide ELISA: antibody detection limit dilution 1:64000.

    Kommentare

    Immunofluorescence: Strong expression of the protein seen in the nuclei of MCF7 cells. Recommended concentration: 10μg/ml.

    Beschränkungen

    Nur für Forschungszwecke einsetzbar
  • Format

    Liquid

    Konzentration

    0.5 mg/mL

    Buffer

    Supplied at 0.5 mg/mL in Tris saline, 0.02 % sodium azide, pH 7.3 with 0.5 % bovine serum albumin.

    Konservierungsmittel

    Sodium azide

    Vorsichtsmaßnahmen

    This product contains Sodium azide: a POISONOUS AND HAZARDOUS SUBSTANCE which should be handled by trained staff only.

    Handhabung

    Minimize freezing and thawing.

    Lagerung

    -20 °C

    Informationen zur Lagerung

    Aliquot and store at -20°C, with minimal freeze/thawing. A working aliquot may be refrigerated at 4°C for a few weeks and still remain viable.
  • Target

    DAP3 (Death-Associated Protein 3 (DAP3))

    Andere Bezeichnung

    DAP3

    Hintergrund

    DAP3, death associated protein 3, DAP-3, DKFZp686G12159, MGC126058, MGC126059, MRP-S29, MRPS29, bMRP-10, death-associated protein 3, mitochondrial 28S ribosomal protein S29

    Gen-ID

    7818

    NCBI Accession

    NP_387506, NP_001186779, NP_001186780
Sie sind hier:
Chat with us!