Telefon:
+49 (0)241 95 163 153
Fax:
+49 (0)241 95 163 155
E-Mail:
orders@antikoerper-online.de

WRNIP1 Antikörper (C-Term)

Der Ziege Polyklonal anti-WRNIP1 Antikörper wird verwendet zum Nachweis von WRNIP1 in Proben von Human. Er wurde validiert für WB, ELISA und IHC.
Produktnummer ABIN184613
488,25 €
Zzgl. Versandkosten 20,00 € und MwSt
100 μg
Lieferung nach: Deutschland
Lieferung in 5 bis 8 Werktagen

Kurzübersicht für WRNIP1 Antikörper (C-Term) (ABIN184613)

Target

Alle WRNIP1 Antikörper anzeigen
WRNIP1 (Werner Helicase Interacting Protein 1 (WRNIP1))

Reaktivität

  • 21
  • 8
  • 7
  • 2
  • 2
  • 1
  • 1
  • 1
  • 1
  • 1
  • 1
  • 1
Human

Wirt

  • 21
Ziege

Klonalität

  • 21
Polyklonal

Konjugat

  • 16
  • 1
  • 1
  • 1
  • 1
  • 1
Dieser WRNIP1 Antikörper ist unkonjugiert

Applikation

  • 19
  • 10
  • 5
  • 2
  • 2
  • 1
  • 1
  • 1
Western Blotting (WB), ELISA, Immunohistochemistry (IHC)

Güteklasse

Verified
  • Bindungsspezifität

    • 9
    • 4
    • 3
    • 1
    • 1
    • 1
    • 1
    C-Term

    Verwendungszweck

    WHIP / WRNIP1

    Sequenz

    EELRGVDFFK QRRC

    Spezifität

    This antibody is expected to recognise isoform 1 (NP_064520.2) and isoform 2 (NP_569079.1).

    Kreuzreaktivität

    Rind (Kuh), Hund, Human, Maus, Ratte

    Aufreinigung

    Purified from goat serum by ammonium sulphate precipitation followed by antigen affinity chromatography using the immunizing peptide.

    Immunogen

    Peptide with sequence EELRGVDFFKQRRC, from the C Terminus of the protein sequence according to NP_064520.2, NP_569079.1.

    Isotyp

    IgG
  • Applikationshinweise

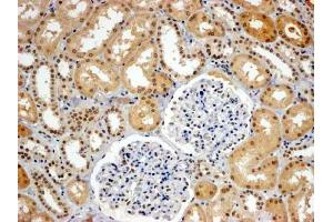
    Immunohistochemistry: In paraffin embedded Human Kidney shows nuclear staining, stronger in DCT compared to PCT. Recommended concentration, 4-6 μg/mL.

    Western Blot: Approx 90 kDa band observed in lysates of cell line Jurkat (calculated MW of 72.1 kDa according to NP_064520.2). The observed molecular weight corresponds to earlier findings in literature with different antibodies (Bish RA, Myers MP., J Biol

    Peptide ELISA: antibody detection limit dilution 1:32000.

    Beschränkungen

    Nur für Forschungszwecke einsetzbar
  • Format

    Liquid

    Konzentration

    0.5 mg/mL

    Buffer

    Supplied at 0.5 mg/mL in Tris saline, 0.02 % sodium azide, pH 7.3 with 0.5 % bovine serum albumin.

    Konservierungsmittel

    Sodium azide

    Vorsichtsmaßnahmen

    This product contains Sodium azide: a POISONOUS AND HAZARDOUS SUBSTANCE which should be handled by trained staff only.

    Handhabung

    Minimize freezing and thawing.

    Lagerung

    -20 °C

    Informationen zur Lagerung

    Aliquot and store at -20°C, with minimal freeze/thawing. A working aliquot may be refrigerated at 4°C for a few weeks and still remain viable.
  • Target

    WRNIP1 (Werner Helicase Interacting Protein 1 (WRNIP1))

    Andere Bezeichnung

    WRNIP1

    Hintergrund

    WHIP, Werner helicase interacting protein, FLJ22526, putative helicase RUVBL, Werner helicase interacting protein 1, RP11-420G6.2, bA420G6.2,

    Gen-ID

    56897

    NCBI Accession

    NP_064520, NP_569079
Sie sind hier:
Chat with us!