Telefon:
+49 (0)241 95 163 153
Fax:
+49 (0)241 95 163 155
E-Mail:
orders@antikoerper-online.de

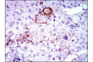
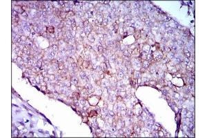
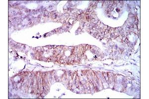
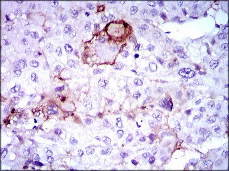
Lp(a) Antikörper (AA 4330-4521)

Der Maus Monoklonal anti-Lp(a) Antikörper (ABIN1845714) detektiert spezifisch Lp(a) in ELISA, WB, IHC und IF/ICC. Dieser Antikörper reagiert spezifisch mit Proben aus Human.
Produktnummer ABIN1845714
620,49 €
Zzgl. Versandkosten 20,00 € und MwSt
100 μL
Lieferung nach: Deutschland
Lieferung in 7 bis 13 Werktagen

Kurzübersicht für Lp(a) Antikörper (AA 4330-4521) (ABIN1845714)

Target

Lp(a) (Lipoprotein (Lp(a)))

Reaktivität

  • 28
  • 1
Human

Wirt

  • 15
  • 10
  • 3
Maus

Klonalität

  • 17
  • 11
Monoklonal

Konjugat

  • 12
  • 3
  • 2
  • 2
  • 1
  • 1
  • 1
  • 1
  • 1
  • 1
  • 1
  • 1
  • 1
Dieser Lp(a) Antikörper ist unkonjugiert

Applikation

  • 8
  • 8
  • 7
  • 5
  • 4
  • 4
  • 1
  • 1
  • 1
  • 1
ELISA, Western Blotting (WB), Immunohistochemistry (IHC), Immunofluorescence (fixed cells) (IF/ICC)
  • Bindungsspezifität

    • 5
    • 1
    • 1
    • 1
    • 1
    • 1
    • 1
    AA 4330-4521

    Aufreinigung

    Purified antibody

    Immunogen

    Purified recombinant fragment of human LPA (AA: 4330-4521) expressed in E. coli.

    Isotyp

    IgG1
  • Applikationshinweise

    Optimal working dilution should be determined by the investigator.

    Beschränkungen

    Nur für Forschungszwecke einsetzbar
  • Format

    Liquid

    Konzentration

    1.0 mg/mL

    Buffer

    PBS with 0.05 % sodium azide and 0.5 % protein stabilizer.

    Konservierungsmittel

    Sodium azide

    Vorsichtsmaßnahmen

    This product contains Sodium azide: a POISONOUS AND HAZARDOUS SUBSTANCE which should be handled by trained staff only.

    Lagerung

    -20 °C

    Informationen zur Lagerung

    Aliquot and store at -20 °C. Avoid repeated freeze/thaw cycles.
  • Target

    Lp(a) (Lipoprotein (Lp(a)))

    Andere Bezeichnung

    LPA

    Hintergrund

    The protein encoded by this gene is a serine proteinase that inhibits the activity of tissue-type plasminogen activator I.The encoded protein constitutes a substantial portion of lipoprotein (a) and is proteolytically cleaved, resulting in fragments that attach to atherosclerotic lesions and promote thrombogenesis.Elevated plasma levels of this protein are linked to atherosclerosis.Depending on the individual, the encoded protein contains 2-43 copies of kringle-type domains.The allele represented here contains 15 copies of the kringle-type repeats and corresponds to that found in the reference genome sequence.

    Molekulargewicht

    501 kDa

    Gen-ID

    4018

    UniProt

    P08519
Sie sind hier:
Chat with us!